Добавить в корзинуПозвонить
Найти в Дзене
MY ORT

Как я вылечила дисфункцию ВНЧС

Ко мне, как к врачу-ортодонту и гнатологу, часто приходят пациенты с жалобами на боль в нижнечелюстых суставах, щелчках, головную боль, напряжение в мышцах челюстей. Как это лечить? К кому бежать? Сегодня я хочу поделиться историей комплексного лечения дисфункции ВНЧС у пациента. Читайте в статье как мы выявили проблемы с суставом и что делали, чтобы добиться полного выздоровления. Пациент обратился ко мне с жалобами на щелчки при открывании рта и ощущение напряжения в области жевательных мышц с обеих сторон. Так же отмечались головные боли в правой височной и затылочной областях. Подобные симптомы указывали на возможную дисфункцию височно-нижнечелюстного сустава (ВНЧС) и нарушения окклюзии. Если Вы обнаружили у себя похожие симптомы, следует обратиться к специалисту - гнатологу и сделать снимок КТ. После проведения диагностики на снимках КТ мною были выявлены следующие нарушения у пациента: - окклюзионное соотношение II класса, глубокое резцовое перекрытие - скученность зубов в пере
Оглавление

Ко мне, как к врачу-ортодонту и гнатологу, часто приходят пациенты с жалобами на боль в нижнечелюстых суставах, щелчках, головную боль, напряжение в мышцах челюстей. Как это лечить? К кому бежать?

Сегодня я хочу поделиться историей комплексного лечения дисфункции ВНЧС у пациента. Читайте в статье как мы выявили проблемы с суставом и что делали, чтобы добиться полного выздоровления.

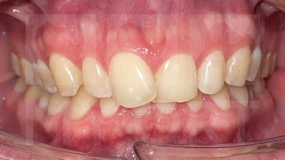
Улыбка пациента ДО лечения

Улыбка пациента ДО лечения
Улыбка пациента ДО лечения

Жалобы пациента и первичная консультация

Пациент обратился ко мне с жалобами на щелчки при открывании рта и ощущение напряжения в области жевательных мышц с обеих сторон. Так же отмечались головные боли в правой височной и затылочной областях. Подобные симптомы указывали на возможную дисфункцию височно-нижнечелюстного сустава (ВНЧС) и нарушения окклюзии.

Если Вы обнаружили у себя похожие симптомы, следует обратиться к специалисту - гнатологу и сделать снимок КТ.

Диагностика

После проведения диагностики на снимках КТ мною были выявлены следующие нарушения у пациента:

- окклюзионное соотношение II класса, глубокое резцовое перекрытие

- скученность зубов в переднем отделе, сужение зубных рядов;

- отсутствие 37-го зуба;

- повышенная стираемость зубов;

- щелчки в области ВНЧС с обеих сторон, открывание рта сопровождается отклонением от нормальной траектории (девиацией);

- болезненность жевательных мышц при пальпации с обеих сторон.

зубы в сомкнутом состоянии
зубы в сомкнутом состоянии
верхняя челюсть
верхняя челюсть
правая челюсть
правая челюсть

Какой будет ход лечения

1 этап - лечение на сплинте

2 этап - ортодонтическое лечение с брекет-системой

После проведенной диагностики я назначила пациенту сплинт (окклюзионную шину), чтобы снизить нагрузку на сустав и жевательные мышцы.

С помощью сплинта мы уберем болевой синдром и щелчки при движении челюсти, восстановим нормальное положение суставного диска.

Следующим этапом лечения пациента станет установка брекет - системы.

Сплинт – терапия

Пациенту были изготовлены индивидуальные стабилизирующие сплинты (окклюзионная шины) на обе челюсти, которые нужно было носить ежедневно в течение 6 месяцев, соблюдая рекомендации по ношению и уходу. ​

Фото сплинта
Фото сплинта

По окончании сплинт - терапии было зафиксировано корректное положение суставных головок как с правой, так и с левой стороны. Также было замечено изменение положения нижней челюсти и уменьшение глубины резцового перекрытия.

Снимок правого ВНЧС до сплинт-терапии
Снимок правого ВНЧС до сплинт-терапии
Снимок правого ВНЧС после сплинт-терапии
Снимок правого ВНЧС после сплинт-терапии

Снимок левого ВНЧС до сплинт-терапии
Снимок левого ВНЧС до сплинт-терапии
Снимок левого ВНЧС после сплинт-терапии
Снимок левого ВНЧС после сплинт-терапии

Ортодонтическое лечение

Следующий этап нашего лечения. Пациент с помощью моих рекомендаций выбрал лигатурную металлическую брекет-систему Mini Diamond.

Такая система достаточно эстетична и отличается особым удобством в эксплуатации (поскольку она меньше стандартной), при этом небольшой размер никак не сказывается на эффективности и продолжительности ортодонтического лечения.
Фиксация брекет-системы
Фиксация брекет-системы

Так же мы установили межчелюстные эластичные тяги для стабилизации положения челюсти и коррекции контактов между зубами.

Эластичные тяги
Эластичные тяги

На нижних зубах были установлены окклюзионные накладки на зубы: 46,47,35,36, фиксирующие новое положение нижней челюсти после сплинт-терапии (таким способом мы сохраним положение на этапе ортодонтического лечения).

Накладки на зубы
Накладки на зубы

Результаты лечения

Все лечение (сплинт-терапия и ортодонтия) заняло 24 месяца.

Чего удалось достичь с помощью лечения на сплинте и брекет-системе:

1. Улучшилась эстетика зубов. Появилось правильное соотношение зубного ряда, зубы стали ровными.

2. Жалоб на височно-нижнечелюстной сустав (ВНЧС) больше нет. Щелчки исчезли, движения челюсти стали свободными и симметричными.

3. Восстановлена функциональность жевания.

4. В области отсутствующего 37 зуба был установлен имплантат.

Фотофиксация этапов лечения:

Через 6 месяцев лечения на брекет-системе
Через 6 месяцев лечения на брекет-системе
Через 6 месяцев лечения на брекет-системе
Через 6 месяцев лечения на брекет-системе

Через 12 месяцев лечения на брекет-системе
Через 12 месяцев лечения на брекет-системе
Через 12 месяцев лечения на брекет-системе
Через 12 месяцев лечения на брекет-системе
Снятие брекет-системы через 18 месяцев
Снятие брекет-системы через 18 месяцев
Снятие брекет-системы через 18 месяцев
Снятие брекет-системы через 18 месяцев

Улыбка пациента ДО/ПОСЛЕ

Улыбка пациента ДО
Улыбка пациента ДО
Улыбка пациента ПОСЛЕ
Улыбка пациента ПОСЛЕ

Заключение

Пациент остался доволен результатом. Появилась эстетика улыбки и уверенность в себе.

После завершения ортодонтического лечения я порекомендовала пациенту установку виниров на зону улыбки из-за утраченной анатомии зубов вследствие повышенной стираемости эмали, а также установку постоянных окклюзионных накладок.

Пишите в комментариях, как проходило ваше ортодонтическое лечение. Какие были результаты, довольны ли вы ими. А если вы только собираетесь пройти лечение, то задавайте интересующие вас вопросы. С удовольствием отвечу на них.

Автор статьи: Евстратова Анастасия Максимовна - врач-ортодонт, гнатолог.