Добавить в корзинуПозвонить
Найти в Дзене
Алиса Попова

РАЗБОР КЕЙСА

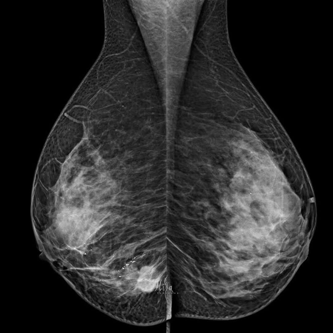
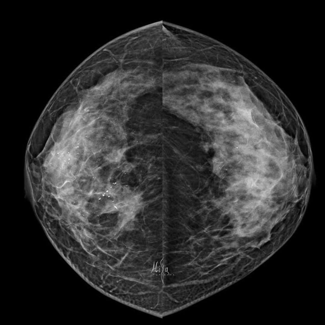
Женщина 1987гр 35 лет Или вроде ко мне вернулось оно…вдохновение. Частая история, когда привела маму на чек-ап и сама решила провериться. Странно, что раньше не замечала. Распространенный, конечно, процесс. Узлов несколько, кальцинаты на любой вкус. Ну и лу уже совсем бесструктурный. Люминальный В her2+++ Стандарт, томо, узи. Все как я люблю. #маммография #маммографияекб #привеламамуподумайосебе #маммографияспасаетжизни #диагностика #узи #томосинтез #мультимодальность #ракмолочнойжелезы

Женщина 1987гр 35 лет

Или вроде ко мне вернулось оно…вдохновение.

Частая история, когда привела маму на чек-ап и сама решила провериться.

Странно, что раньше не замечала.

-2

Распространенный, конечно, процесс. Узлов несколько, кальцинаты на любой вкус.

-3

-4

Ну и лу уже совсем бесструктурный.

Люминальный В her2+++

-5

-6

Стандарт, томо, узи. Все как я люблю. #маммография #маммографияекб #привеламамуподумайосебе #маммографияспасаетжизни #диагностика #узи #томосинтез #мультимодальность #ракмолочнойжелезы