Добавить в корзинуПозвонить
Найти в Дзене
MY ORT

Сделали ALL-ON-4 на нижнюю челюсть за 293 000 рублей

Представьте себе ситуацию, когда даже самый обычный прием пищи может вызывать неприятные ощущения и дискомфорт. Сложно, правда? А если к этому добавить разрушенный ряд зубов, старые коронки и воспаленные десна? Теперь представить можно. Сегодня, я, Колодяжный Александр Владимирович, врач-стоматолог ортопед наглядно покажу случай, где действительно, каждый прием пищи был испытанием. Как я и мой пациент исправили эту ситуацию, какой получился результат, читайте далее. Пациент обратился ко мне с жалобами на эстетику нижней челюсти и болезненность принятия пищи. Причинами болей оказались ранее установленные коронки. В результате осмотра полости рта мне удалось выявить, что зубы под коронками также были разрушены - это вызывало дискомфорт у пациента. По итогу осмотра стало понятно, что зубы не подлежат сохранению. Так же мы провели рентгенологический анализ, который подтвердил невозможность сохранения остаточных зубов, что и стало основанием для формирования плана комплексного лечения. Ран
Оглавление

Представьте себе ситуацию, когда даже самый обычный прием пищи может вызывать неприятные ощущения и дискомфорт. Сложно, правда? А если к этому добавить разрушенный ряд зубов, старые коронки и воспаленные десна? Теперь представить можно.

Сегодня, я, Колодяжный Александр Владимирович, врач-стоматолог ортопед наглядно покажу случай, где действительно, каждый прием пищи был испытанием. Как я и мой пациент исправили эту ситуацию, какой получился результат, читайте далее.

Жалобы пациента и диагностика

Пациент обратился ко мне с жалобами на эстетику нижней челюсти и болезненность принятия пищи.

В чем заключался дискомфорт при употреблении еды?

Причинами болей оказались ранее установленные коронки.

В результате осмотра полости рта мне удалось выявить, что зубы под коронками также были разрушены - это вызывало дискомфорт у пациента. По итогу осмотра стало понятно, что зубы не подлежат сохранению.

Так же мы провели рентгенологический анализ, который подтвердил невозможность сохранения остаточных зубов, что и стало основанием для формирования плана комплексного лечения.

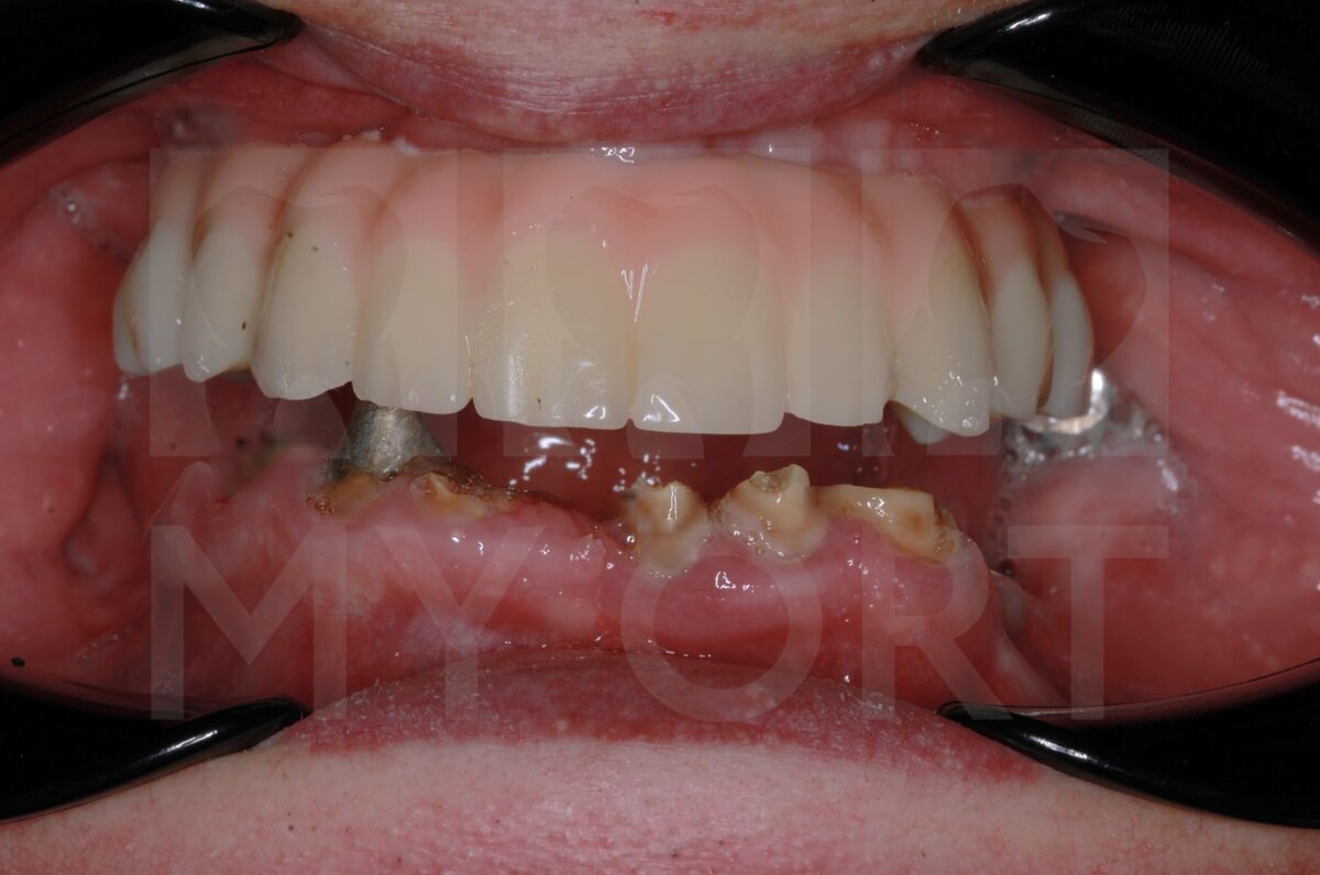
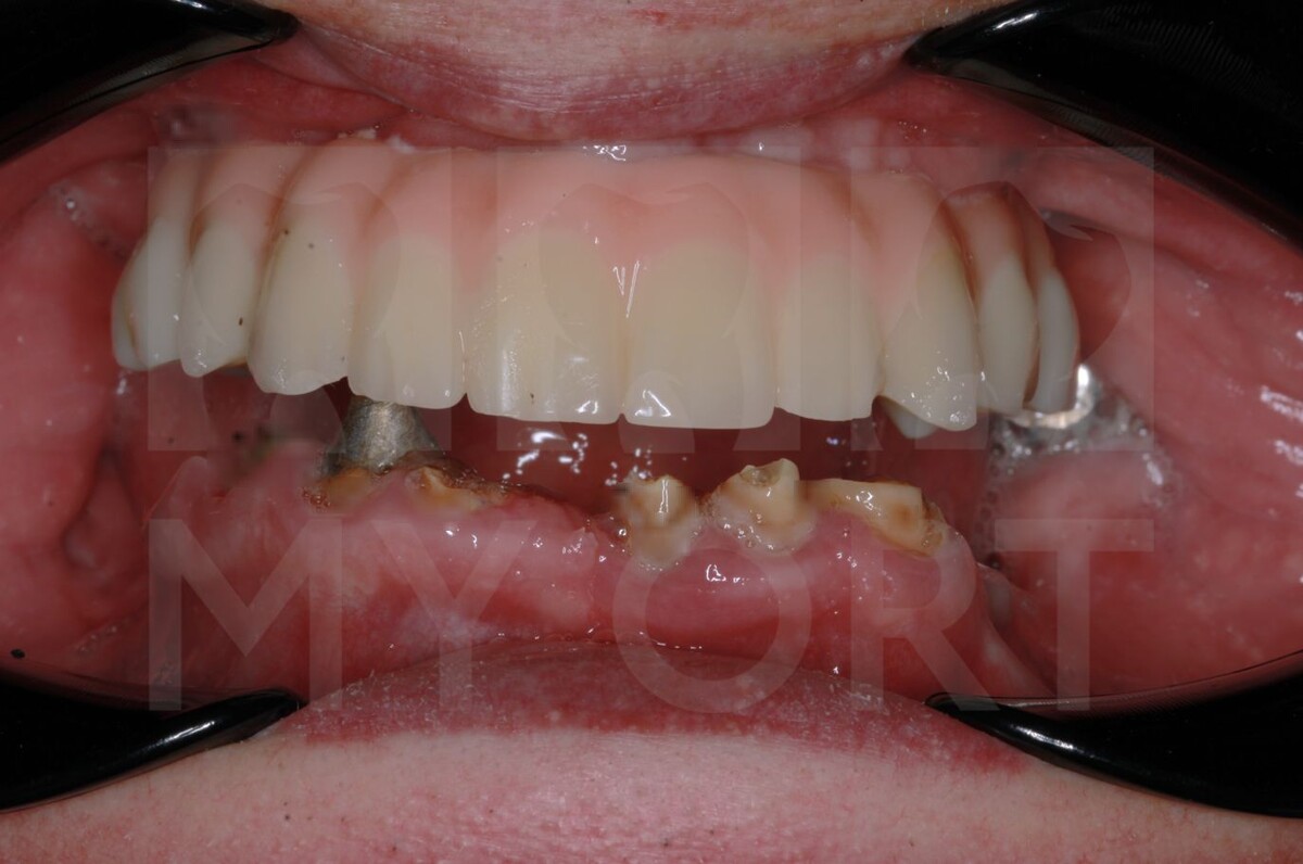
Ситуация ДО

-2

Ранее (около восьми лет назад), в другой клинике пациенту был установлен циркониевый мост на имплантатах Nobel.

Я провел осмотр конструкции и несмотря на частичные сколы она сохраняла функциональность, а состояние мягких тканей вокруг протеза были в пределах нормы.

Учитывая удовлетворительное состояние верхней челюсти, мы с пациентом приняли решение делать только нижнюю челюсть по протоколу ALL-ON-4 (все на 4).

План лечения

На основании проведенной диагностики мной был составлен комплексный план лечения, включающий в себя хирургическую часть и ортопедическую:

  • проведение одномоментного удаления несостоятельных нижних зубов;
  • установка четырех дентальных имплантатов Neodent;
  • немедленная нагрузка несъемным временным мостовидным протезом.
-3

Лечение

Перед операцией с наркозом пациент прошёл обследования: были сданы все необходимые анализы, сделано ЭКГ, измерено артериальное давление. Все показатели были в норме, мы приступили к операции.

Хирургический этап. Удаление зубов и имплантация

Во время операции пациенту были удалены несостоятельные зубы нижней челюсти и установлены четыре дентальных импланта Neodent. Операция длилась около двух часов, проходила под общей анестезией с ИВЛ. Всё прошло хорошо без каких-либо осложнений.

Ортопедический этап. Армированный протез

Спустя 24 часа после операции я установил и зафиксировал временный мостовидный протез на нижнюю челюсть.

Армированный протез для пациента
Армированный протез для пациента
Армированный протез для пациента
Армированный протез для пациента
Зафиксированный протез
Зафиксированный протез

Пациент вернулся к привычному образу жизни с красивой улыбкой уже на следующий день.

После установки протеза мы провели фотопротокол и снимок рентгенологического контроля, которые подтвердили хорошую интеграцию имплантатов, правильное смыкание и отсутствие осложнений.

Врачебный состав

Врачебный состав на операции под наркозом:

  • стоматолог-хирург имплантолог, стоматолог-ортопед, анестезиолог, медсестра анестезиолога и ассистент.

Реабилитация

Пациент быстро адаптировался к новому протезу. Это хороший результат. Уже на следующий день после операции он отметил значительное улучшение в жевательной функции и эстетике. Имплантаты прижились, мягкие ткани адаптировались к конструкции без признаков воспаления.

Результат

Посмотрите, какой результат у нас получился.

-7
-8

Проведенное лечение позволило нам добиться стабильного функционального и эстетического результата в кратчайшие сроки. Пациент остался доволен результатом.

После завершения периода остеоинтеграции (процесс срастания имплантата с челюстной костью) будет проведена замена временной конструкции на постоянную из керамики.

Как вам результат?
Пишите в комментарии, как проходило ваше ортопедическое лечение, присылайте свои результаты, если есть вопросы - спрашивайте.

Автор статьи: Колодяжный Александр Владимирович - врач-стоматолог ортопед. Заведующий отделением ортопедической стоматологии.

Посмотрите наш новый фильм об операции на двух челюстях (протокол ALL-ON-4).