Добавить в корзинуПозвонить
Найти в Дзене

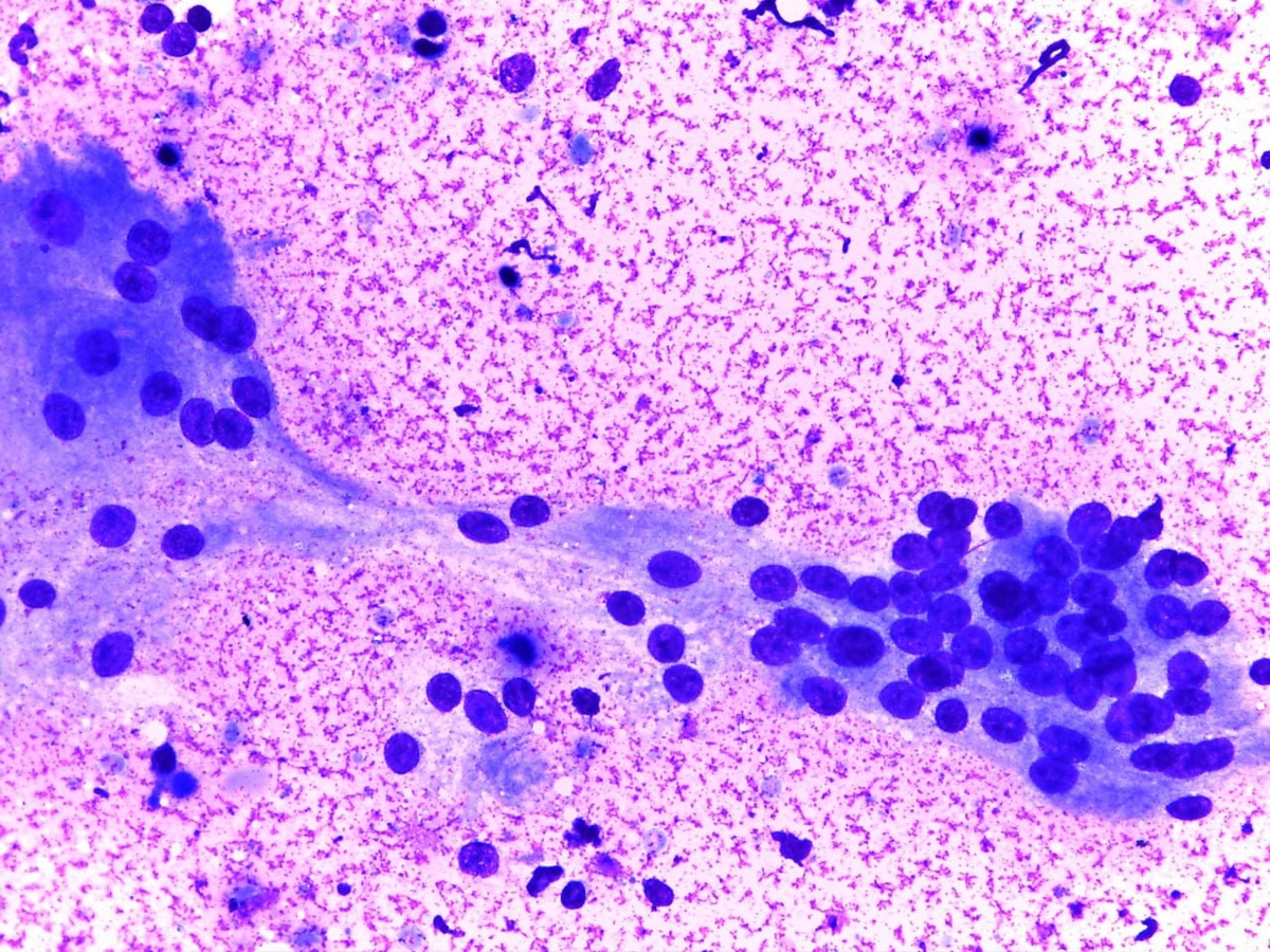
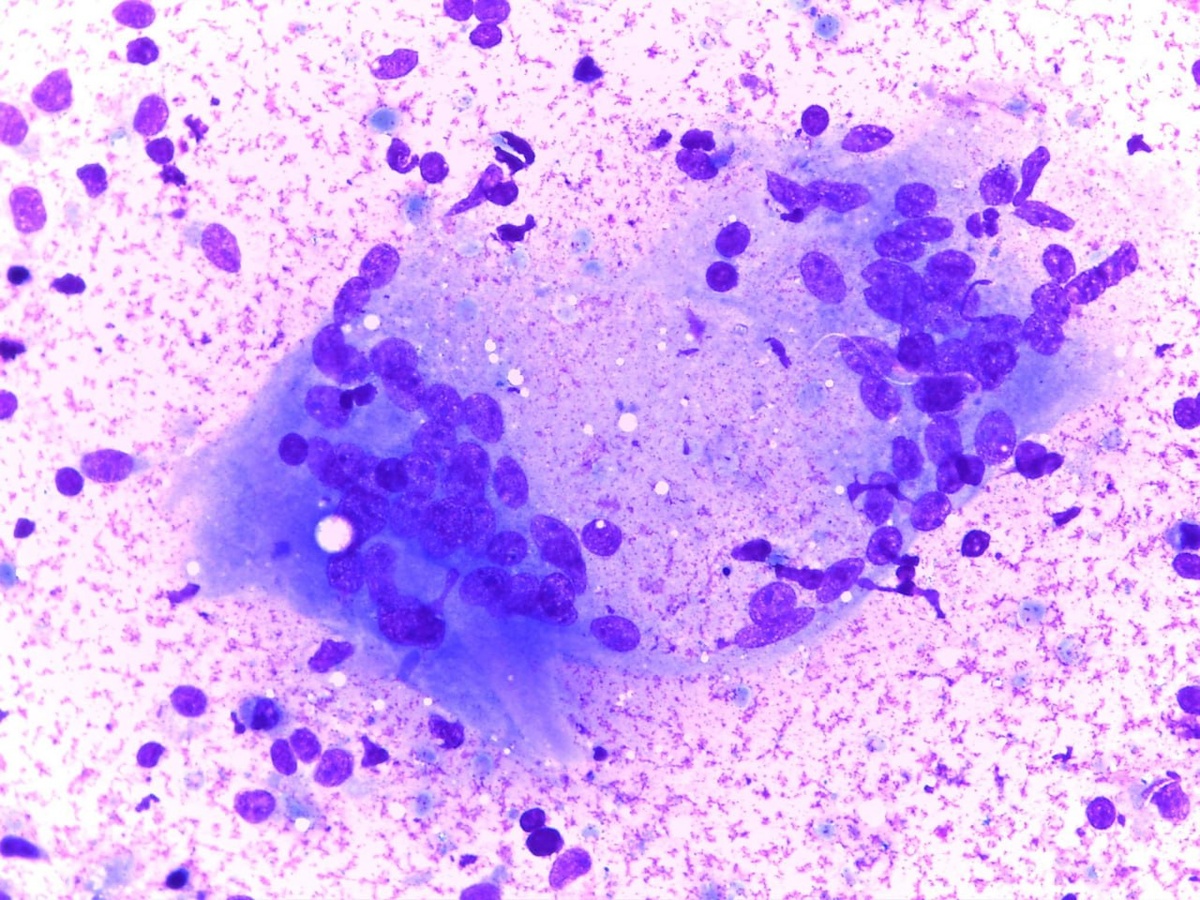
Гигантские клетки (полинуклеарные макрофаги) при гранулематозном тиреоидите (подострый тиреоидит\тиреоидит Де Кервена

Гигантские клетки (полинуклеарные макрофаги) при гранулематозном тиреоидите (подострый тиреоидит\тиреоидит Де Кервена). Материал ТАБ. #щитовиднаяжелеза #цитология #назаметку

Гигантские клетки (полинуклеарные макрофаги) при гранулематозном тиреоидите (подострый тиреоидит\тиреоидит Де Кервена). Материал ТАБ.

#щитовиднаяжелеза #цитология #назаметку

-2
-3
Биология
8125 интересуются