Добавить в корзинуПозвонить
Найти в Дзене

«Овечкин смайл»: фанаты хоккеиста обращаются в клинику, чтобы сделать себе улыбку как у кумира

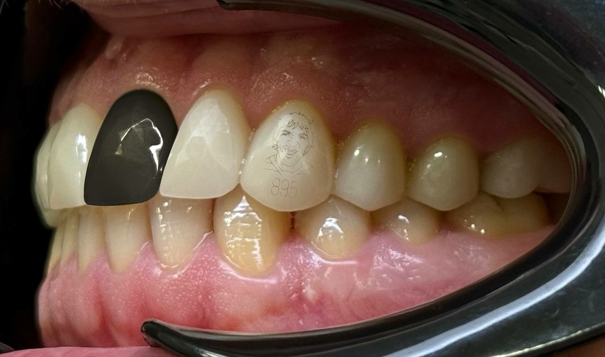
Задумывались ли вы, как иногда неожиданные просьбы могут изменить обычный рабочий день? Меня зовут Константин, и я уже не первый год помогаю людям вернуть уверенность в себе с помощью виниров, ювениров и реставраций. Но совсем недавно ко мне обратились с весьма необычным запросом — сделать точную копию легендарной "улыбки Овечкина"! Оказывается, мой пациент — большой поклонник Александра Овечкина. Парень рассказал: "Мечтаю получить такую же широкую и узнаваемую улыбку, как у кумира." Признаюсь, сначала удивился — такие запросы случаются не каждый день!  Пришлось приложить максимум внимания к деталям: найти нужные ракурсы, изучить фотографии хоккеиста, чтобы поймать особенности его фирменной улыбки — даже тот самый "черный ювенир" (временный зуб), которым когда-то отличался Овечкин, стал обязательным элементом работы. Всё получилось: мы подобрали форму, цвет, сделали примерку, пациент одобрил — и вот уже в кабинете расцветает настоящая "улыбка капитана". Честно скажу: и мне было очень

Задумывались ли вы, как иногда неожиданные просьбы могут изменить обычный рабочий день? Меня зовут Константин, и я уже не первый год помогаю людям вернуть уверенность в себе с помощью виниров, ювениров и реставраций. Но совсем недавно ко мне обратились с весьма необычным запросом — сделать точную копию легендарной "улыбки Овечкина"!

Оказывается, мой пациент — большой поклонник Александра Овечкина. Парень рассказал: "Мечтаю получить такую же широкую и узнаваемую улыбку, как у кумира." Признаюсь, сначала удивился — такие запросы случаются не каждый день! 

Пришлось приложить максимум внимания к деталям: найти нужные ракурсы, изучить фотографии хоккеиста, чтобы поймать особенности его фирменной улыбки — даже тот самый "черный ювенир" (временный зуб), которым когда-то отличался Овечкин, стал обязательным элементом работы. Всё получилось: мы подобрали форму, цвет, сделали примерку, пациент одобрил — и вот уже в кабинете расцветает настоящая "улыбка капитана".

Честно скажу: и мне было очень интересно поработать над таким проектом. Ведь стояла непростая задача — объединить эстетику и индивидуальность, создать визуально естественный, но узнаваемый образ. Радость пациента — лучший итог! Вот так из маленькой мечты рождаются большие смыслы. А за Овечкина теперь переживаю еще сильнее!

-2

Узнать больше вы можете у меня в инсте

Связаться со мной в тг, чтобы уточнить детали можно тут

#стоматология #ювениры #виниры #красотаиздоровье #томск #стоматолог #улыбка #зубы #инновации #тренды #овечкин #овечкинсмайл #ови