Найти в Дзене

Ретенированные зубы: что это такое и что с ними делать?

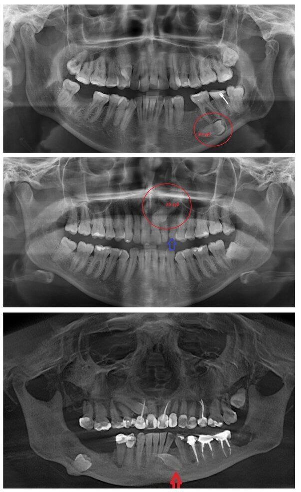
Ретенирование зубов – это задержка их прорезывания. Проще говоря, это ситуация, когда зуб остается полностью или частично «запертым» в десне или кости, не появляясь на своем месте в зубном ряду. Почему так происходит? Чаще всего проблема возникает из-за нехватки места в челюсти, неправильного положения зачатков зубов или аномалий роста. Также ретенция может быть связана с генетикой, травмами, воспалениями или нарушениями развития. Есть и другие причины: ❌ неправильный прикус, который сформировался из-за вредных миофункциональных привычек или механических травм ❌ ранняя потеря молочных зубов, из-за которой у постоянных нет ориентиров для роста ❌ «лишние» зубы – атавизм, носящий название полиодонтия; ❌ поврежденные зачатки зубов, которые были вовлечены в воспалительный процесс их временными предшественниками. Например, периодонтит молочного зуба распространился на зачаток и повредил его. Какие зубы чаще всего ретенируются? Чаще всего ретенированными оказываются: •Зубы мудрости (третьи м

Ретенирование зубов – это задержка их прорезывания. Проще говоря, это ситуация, когда зуб остается полностью или частично «запертым» в десне или кости, не появляясь на своем месте в зубном ряду.

Почему так происходит?

Чаще всего проблема возникает из-за нехватки места в челюсти, неправильного положения зачатков зубов или аномалий роста. Также ретенция может быть связана с генетикой, травмами, воспалениями или нарушениями развития.

Есть и другие причины:

❌ неправильный прикус, который сформировался из-за вредных миофункциональных привычек или механических травм

❌ ранняя потеря молочных зубов, из-за которой у постоянных нет ориентиров для роста

❌ «лишние» зубы – атавизм, носящий название полиодонтия;

❌ поврежденные зачатки зубов, которые были вовлечены в воспалительный процесс их временными предшественниками.

Например, периодонтит молочного зуба распространился на зачаток и повредил его.

Какие зубы чаще всего ретенируются?

Чаще всего ретенированными оказываются:

•Зубы мудрости (третьи моляры): им просто не хватает места.

•Клыки. Особенно верхние – из-за их позднего прорезывания.

• Премоляры и резцы.

В чем опасность ретенированных зубов?

Если ретенированный зуб остается в десне, это может привести к разным неприятным последствиям. Например, из-за них могут возникнуть:

• воспалительные процессы;

•поражение корня постоянного соседнего зуба

• появление десневых карманов, из-за которых может развиться пародонтит;

• инфекционные процессы, в худшем случае приводящие к остеомиелиту (гнойное поражение челюстей).

Если у вас есть такой зуб, но нет симптомов, то вам очень повезло. На плановом осмотре с выполнением рентгеновских снимков его можно обнаружить и принять меры.

Как узнать, есть ли ретенированные зубы?

Основной метод диагностики – это плоскостной рентгеновский снимок (ОПТГ) или КТ. Иногда такой зуб можно "увидеть" на осмотре по косвенным признакам , но чаще всего они "спрятаны" в десне и обнаруживаются при проведении дополнительных методов обследования.

Что делать, если у вас есть такой зуб?

Тактика лечения зависит от ситуации.

1. Наблюдение. Если зуб не вызывает дискомфорта и не угрожает соседним структурам, стоматолог может предложить просто наблюдать за ним.

2. Ортодонтическое лечение. В случае, если зуб можно «вывести» в зубной ряд, используем брекеты или другие системы.

3. Удаление. Если зуб причиняет проблемы (боль, воспаление, повреждает другие зубы), его удаляют. Но не всегда! Сначала консультация ортодонта☝️

Когда точно нужно обращаться?

Если у вас есть подозрение на ретенцию зуба или вы чувствуете боль и дискомфорт в области десны, то это red flag 🚩 Если вам выполнили снимок и обнаружили ретенированный зуб, приходите на консультацию, решим что с ним делать!

Чем раньше будет проведена диагностика и составлен грамотный план лечения, тем легче будет решить проблему!

Друзья и коллеги, подписывайтесь на мой канал в телеграмме. Там намного чаще выходят интересные посты и не только!!!

#полезности #михайловскиеполезности