Добавить в корзинуПозвонить
Найти в Дзене

СМЕЩЕНИЕ ПОЗВОНКОВ ИЛИ СПОНДИЛОЛИСТЕЗ от А до Я. Все что нужно знать и видеть!

Смещение позвонков или спондилолистез — это заболевание позвоночника, чаще приобретенное, чем врожденное и характеризующееся смещением позвонка по отношению к нижележащему.
Чаще всего смещение позвонков происходит шейном и поясничном отделах позвоночника, т.к. данные отделы наиболее подвижны. Симптомы
🔹 Боли в пояснице
🔹 Напряжение и скованность мышц
🔹 Боль в ягодицах
🔹 Боль, распространяющаяся вниз по ногам (из-за давления на нервные корешки)
🔹 Боль, которая усиливается при активности
🔹 Скованность подколенных сухожилий
🔹 Проблемы при стоянии или ходьбе Обследование
🔹 Рентгенография пораженного отдел позвоночника – определение степени смещения: 🔹 Рентгенография пораженного отдел позвоночника с функциональной нагрузкой в сгибании и разгибании позвоночника – определения степени подвижности в месте смещения: 🔹 Рентгеновское компьютерное исследование - определение причины смещения: 🔹 магнитно-топографическое компьютерное исследование:
Наиболее частая причина в шейном о

Смещение позвонков или спондилолистез — это заболевание позвоночника, чаще приобретенное, чем врожденное и характеризующееся смещением позвонка по отношению к нижележащему.
Чаще всего смещение позвонков происходит шейном и поясничном отделах позвоночника, т.к. данные отделы наиболее подвижны.

Симптомы
🔹 Боли в пояснице
🔹 Напряжение и скованность мышц
🔹 Боль в ягодицах
🔹 Боль, распространяющаяся вниз по ногам (из-за давления на нервные корешки)
🔹 Боль, которая усиливается при активности
🔹 Скованность подколенных сухожилий
🔹 Проблемы при стоянии или ходьбе

Обследование
🔹 Рентгенография пораженного отдел позвоночника – определение степени смещения:

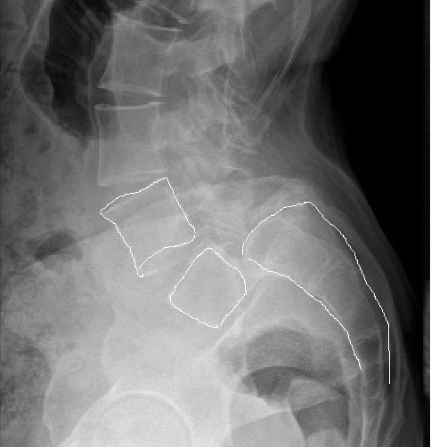
Не листез, а листезише!!!! Полное сползание позвонка L5 по крестцу!
Не листез, а листезише!!!! Полное сползание позвонка L5 по крестцу!

🔹 Рентгенография пораженного отдел позвоночника с функциональной нагрузкой в сгибании и разгибании позвоночника – определения степени подвижности в месте смещения:

Спондилолиз - разрыв дужки позвонка, явно проявляющийся при сгибании позвоночника
Спондилолиз - разрыв дужки позвонка, явно проявляющийся при сгибании позвоночника

🔹 Рентгеновское компьютерное исследование - определение причины смещения:

Врожденный спондилолиз
Врожденный спондилолиз

🔹 магнитно-топографическое компьютерное исследование:

Максимальная степеньсмещения.
Максимальная степеньсмещения.

Наиболее частая причина в шейном отделе
🔹 Слабость связочного аппарата позвоночника и дегенеративно – дистрофические изменения фасеточных суставов и межпозвонковых дисков

Наиболее частая причина в поясничном отделе
🔹 Спондилолиз — врожденное несращение или травматический разрыв дуги позвонка в области ножки дуги:

Листез со спондилолизом на 2-х уровнях
Листез со спондилолизом на 2-х уровнях

Лечение
Лечение зависит от тяжести симптомов и от того, насколько сильно они влияют на качество жизни пациента. В большинстве случаев врач сначала порекомендует консервативные методы лечения.

Цели консервативного лечения
🔹 Формирование стереотипа движений с минимальным участием поражённого сегмента
🔹 Увеличение подвижности и перераспределение нагрузки на непоражённые сегменты
🔹 Устранение последствий страдания фасеточных нервов и корешков на пораженном сегменте

Если консервативные методики не принесли облегчения, у пациента наблюдается перманентное сдавливание нерва, тяжелые симптомы сохраняются на протяжении долгого времени, тогда врач может назначить проведение хирургического лечения.

Цель оперативного лечения
🔹 Фиксация поражённого сегмента за счёт установки межпозвонкового кейджа и стабилизирующей системы:

Стабилизирующая система и вариант кейджа
Стабилизирующая система и вариант кейджа
Межтелевой кейдж. Редкий случай с установкой на трех уровнях!
Межтелевой кейдж. Редкий случай с установкой на трех уровнях!