Добавить в корзинуПозвонить
Найти в Дзене
Ординарные заметки

Гломусная опухоль

На прошлой неделе попалась мне гломусная опухоль. Я, конечно, никому не призналась, но видела ее в первый раз. Решила вот почитать про нее поподробней, а потом и вам рассказать Гломусная опухоль относится к опухолям мягких тканей, перицитарным (периваскулярным) опухолям. Это опухоль мезенхимальной природы, состоящая из клеток, напоминающих модифицированные периваскулярные гладкомышечные клетки гломусных телец. Гломусное тельце не стоит путать с гломусными клетками, которые относятся к хеморецепторам. Гломусное тельце (или гломусный аппарат) — это собирательный термин, включающий ряд анатомических образований, содержащих сосудистые клубочки. Выделяют две группы гломусов (1) специализированная форма артериовенозных анастомозов (интересуют нас больше всего), а также (2) два крупных образования копчиковый и ворсинчатый гломусы. Артериовенозные анастомозы встречаются у человека преимущественно в коже, чаще всего в коже пальцев ног и рук, в подногтевых тканях и мягких тканях ногтевых фаланг,
Оглавление

На прошлой неделе попалась мне гломусная опухоль. Я, конечно, никому не призналась, но видела ее в первый раз. Решила вот почитать про нее поподробней, а потом и вам рассказать

Определение

Гломусная опухоль относится к опухолям мягких тканей, перицитарным (периваскулярным) опухолям. Это опухоль мезенхимальной природы, состоящая из клеток, напоминающих модифицированные периваскулярные гладкомышечные клетки гломусных телец.

Матчасть

Гломусное тельце не стоит путать с гломусными клетками, которые относятся к хеморецепторам. Гломусное тельце (или гломусный аппарат) — это собирательный термин, включающий ряд анатомических образований, содержащих сосудистые клубочки. Выделяют две группы гломусов (1) специализированная форма артериовенозных анастомозов (интересуют нас больше всего), а также (2) два крупных образования копчиковый и ворсинчатый гломусы.

Артериовенозные анастомозы встречаются у человека преимущественно в коже, чаще всего в коже пальцев ног и рук, в подногтевых тканях и мягких тканях ногтевых фаланг, глубокой дерме ладони, запястья и т.д. Основная их функция — это регуляция температуры тела. Состоит гломусное тельце из артериовенозного шунта, окруженного соединительно-тканной капсулой (содержащей большое количество нервных волокон). Роль их в отведении крови от поверхностных отделов кожи в холод, предотвращая тем самым избыточную потерю тепла и, напротив, в обеспечении максимального притока крови к коже в жару, чтобы рассеивать тепло и охлаждать ее поверхность.

Считается, что сама опухоль происходит из функциональной части специализированного артериовенозного анастомоза (гломусного тельца) – канала Суке-Гойера, который регулирует температуру кожи. Он выстлан эндотелиальными клетками и окружен слоем эпителиоидных (гломусных) SMA-положительных клеток, способных к сокращению (т.к. они являются видоизмененными гладкомышечными клетками). При холодной температуре окружающей среды гломусные клетки «расслабляются», позволяя анастомозу «открыться» и сбросить кровь из капиллярной сети, не потеряв таким образом тепло тела.

Гломусное тельце
Гломусное тельце

Раньше гломусной опухолью ошибочно называли параганглиому. Даже сейчас, при поиске в яндексе/гугле почти все заголовкистатей и разборов начинаются так: Гломусная опухоль (параганглиома)… но вообще, гломусная опухоль имеет гладкомышечную дифференцировку, а параганглиома – нейроэктодермального происхождения, гломусные опухоли происходят не из гломусных клеток, а параганглиомы как раз из них! (как бы парадоксально это ни звучало), к тому же в гломусной опухоли отсутствует генетический дефект хромосомы 11q23, характерный для параганглиомы, ну, и их можно дифференцировать по ИГХ. Поэтому некоторые авторы не рекомендуют называть параганглиому гломусной опухолью, а гломусную опухоль советуют называть гломангиомой (хотя это один из подтипов гломусных опухолей). Прислушиваться или нет, решать вам.

Терминология

Допустимо: гломангиома; гломангиомиома; гломовенозная мальформация; гломангиосаркома.

Подтипы

Гломангиома; гломангиомиома; гломангиоматоз; гломусная опухоль с неопределенным злокачественным потенциалом; злокачественная гломусная опухоль.

Основные характеристики

  • Локализуется преимущественно в коже; чаще всего подногтевое ложе пальцев рук и ног, но может встречаться где угодно
  • Обычно доброкачественные, злокачественые варианты очень редки
  • Существуют две формы: солитарная и множественная (около 10%)
  • Трехкомпонентная опухоль: сочетание гломусных клеток, гладкомышечных клеток и сосудов
  • Клетки с амфофильной/эозинофильной цитоплазмой и округлыми центрально расположенными ядрами, муфтообразно окружающие ветвящиеся капилляры.
  • ИГХ(+): SMA, MSA, кальпонин, h-кальдесмон, коллаген IV типа; ИГХ(-): цитокератины и S100

Эпидемиология

Гломусные опухоли составляют около 2% всех опухолей мягких тканей. У 10% пациентов наблюдаются множественные образования. Встречаются у пациентов любого возраста, чаще у молодых взрослых (20-40 лет). Нет половой предрасположенности, за исключением образований подногтевого ложа, которые более характерны для женщин.

Патогенез

  • Гломусные опухоли ассоциированные с нейрофиброматозом 1 типа возникают в результате биаллельной инактивации гена NF1. Утрата гломусными клетками нейрофибромина ведет к активации сигнального пути RAS-MAPK.
  • Синдром множественных семейных гломусных опухолей (гломовенозная мальформация) характеризуется аутосомно-доминантным типом наследования с высокой, но неполной пенетрантностью, и вызван инактивирующей мутацией в гене гломулин (GLMN), который экспрессируется преимущественно в гладкомышечных клетках стенки сосудов. Еще один генетический механизм выявлен примерно в 70% случаев семейных гломусных опухолей – это однородительская дисомия, подтверждающая соматическую двухударную теорию канцерогенеза Кнадсена. Согласно которой, одна соматическая мутация гена опухолевого-супрессора повышает риск трансформации этой клетки в опухолевую, а мутация второго аллеля того же гена уже просто не оставляет ей шансов…
  • В спорадических доброкачественных и злокачественных гломусных опухолях были выявлены перестройки семейства генов NOTCH, со слиянием генов MIR143–NOTCH1/2/3 более чем в половине случаев. Следует отметить, что по данным одной работы, все исследованные злокачественные гломусные опухоли имели вышеуказанную перестройку. Вообще такие перестройки довольно редкое явление для перицитарных опухолей. Кроме того, в небольшой части спорадических гломусных опухолей выявили мутации BRAF и KRAS, и мутации BRAF связывают со злокачественной морфологией.

Локализация

Описаны локализации по всему телу. Но чаще всего обнаруживаются на конечностях (62%), на пальцах рук (27%) и ног (9%), подногтевое ложе – самая частая локализация на пальцах.

Очень редко, но встречаются в любых других локализациях от ЖКТ и средостения до мочеполового тракта и костей: туловище (11%), внутренние органы (11%), голова и шея (7%). Необычно часто встречаются в желудке. Злокачественные варианты часто локализуются более глубоко, но могут располагаться и поверхностно.

Клинические признаки

  • Пароксизмальная болезненность, временами нестерпимая, часто не пропорциональная размеру опухоли
  • Боль усиливается под воздействием холода или прикосновений
  • Боль может сопровождаться гипоэстезией, мышечной атрофией и остеопорозом

Макроописание

Гломусные опухоли представляют собой хорошо отграниченные овоидные или округлые узлы, поверхность разреза солидная или кистозного вида, часто с кровоизлияниями. Поверхностные образования в типичных случаях не превышают 1 см.

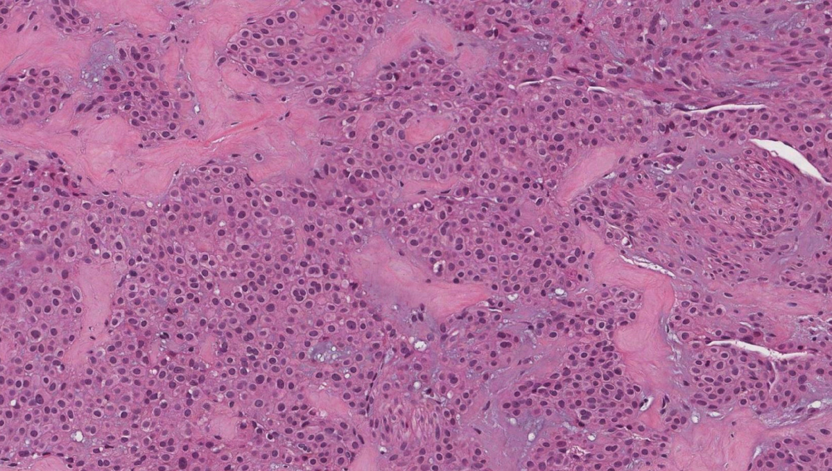
Микроописание

Хорошо отграниченная трехкомпонентная опухоль: гломусные клетки, сосуды и гладкомышечные клетки

Солидные гломусные опухоли (75% случаев): преобладают гломусные клетки, слабо выражена сосудистая сеть и редкие гладкомышечные клетки.

Гломангиома (20% случаев): выраженный сосудистый компонент

Гломангиомиома (5% случаев): выраженные сосудистый и гладкомышечный компоненты

-2

Доброкачественные гломусные опухоли:

  • Ветвящиеся капилляры, выстланные эндотелиальными клетками, муфтообразно окруженные монотонными гломусными клетками, формирующими гнезда, пласты или трабекулы в гиалинизированной или миксоидной строме Гломусные клетки округлой формы с четкими границами, амфофильной/эозинофильной цитоплазмой и округлыми, центрально расположенными, круглыми ядрами. Гомогенный хроматин, ядрышки незаметны
  • Очень редкие митозы

Симпластическая гломусная опухоль:

  • Заметная ядерная атипия, но митотическая активность, как и другие атипичные признаки, отсутствуют
  • Не влияет на прогноз

Злокачественные гломусные опухоли:

-3
  • Приберегите этот диагноз для опухолей с (1) заметной ядерной атипией и любой митотической активностью или (2) атипичными фигурами митоза
    Может быть веретеноклеточной и напоминать лейомиосаркому/фибросаркому или состоять из пластов злокачественных округлых клеток (напоминая первичную круглоклеточную опухоль)
  • На периферии опухоли может сохраняться типичный компонент предсуществующей доброкачественной гломусной опухоли, что поможет с диагнозом, если таковая отсутствует для диагноза необходимы положительные SMA и коллаген IV типа (перицеллюлярно).
  • Гломусная опухоль с неопределенным злокачественным потенциалом:Не соответствует критериям злокачественной опухоли, но имеет по крайней мере 1 атипичный признак помимо ядерного плеомофизма
  • Атипичные признаки включают: глубокую локализацию, размер >2 см и митотическую активность >5 митозов на 50 ПЗ при большом увеличении

Инфильтративный рост, гиперклеточность и веретеноклеточная морфология относятся к признакам более характерным для злокачественного варианта и варианта с неопределенным злокачественным потенциалом.

Диагностические критерии

Обязательные: мономорфные округлые или эпителиоидные клетки с центрально расположенным круглым ядром с четкими клеточными границами, образуют периваскулярные гнезда (муфты); злокачественные гломусные опухоли можно узнать по прилежащему на периферии доброкачественному компоненту, а также по характерным веретеноклеточным или круглоклеточному саркоматозному фенотипу; в злокачественных вариантах без доброкачественного компонента требуется ИГХ или молекулярная диагностика.

Желательные: ИГХ (+) SMA, h-кальдесмон и коллаген IV типа; перестройки гена NOTCH характерны для злокачественных вариантов.

Прогноз

  • Классическая гломусная опухоль, гломовенозные мальформации и симпластические гломусные опухоли являются доброкачественными. При радикальном иссечении редко рецидивируют.
  • Некоторые крупные висцеральные гломусные опухоли, в которых отсутствуют другие атипичные признаки (неопределенного злокачественного потенциала) демонстрировали агрессивное поведение. Атипичные признаки коррелируют с неблагоприятным исходом.
  • Злокачественные гломусные опухоли агрессивны, метастазируют и приводят к летальному исходу у порядка 40% пациентов.

Источники:

  1. ВОЗ Soft Tissue and Bone Tumours (5th ed.)//Soft tissue tumours//Pericytic (perivascular) tumours//Glomus tumour
  2. pathologyoutlines.com
  3. en.wikipedia.org
  4. Степанова Ю.А., Глотов А.В., Широков В.С., Коваленко А.А., Сапелкин С.В., Ахтанин Е.А., Леднев А.Н. Гломусная ангиома: серия наблюдений и обзор литературы.  Медицинская визуализация. 2024;28(1):120-140. https://doi.org/10.24835/1607-0763-1356

Спасибо, что дочитали про гломусную опухоль, надеюсь было интересно. Если вам понравился материал, и вы хотите больше таких текстов, пожалуйста, поддержите проект Pathologeek.ru. Здесь вы можете перевести любую сумму на его развитие или просто поставьте лайк и поделитесь статьей с друзьями!

Мой сайт и телеграм-канал