Добавить в корзинуПозвонить
Найти в Дзене
Два Дантиста

Фотопротокол: зачем стоматолог фотографирует ваши зубы?

Фотопротокол стал обязательной манипуляцией на приеме врача-стоматолога. Полная консультация всегда содержит осмотр, компьютерную томографию и процесс создания серии дентальных фотографий. Во время этой процедуры выполняются серийные диагностические фотоснимки структур, находящихся в ротовой полости, а также лица пациента. Проведение этой методики относят к международным лечебным стандартам, она помогает: Виды фотопротокола? Съемка проводится на профессиональную камеру и позволяет получать четкие изображения в цифровом или аналоговом формате. Фотографии можно увеличивать, анализировать — использовать для диагностики и составления плана лечения. Дентальный фотопротокол включает: Также при необходимости врач делает внутриротовые фото сегментов зубного ряда. Обычно при лечении кариеса или пульпита зубов: фото до лечения, демонстрация величины кариозного поражения, результат проведенных стоматологических манипуляций, внешний вид пломбы. Как используется фотопротокол? Стоматолог-ортодонт фо

Фотопротокол стал обязательной манипуляцией на приеме врача-стоматолога. Полная консультация всегда содержит осмотр, компьютерную томографию и процесс создания серии дентальных фотографий.

Во время этой процедуры выполняются серийные диагностические фотоснимки структур, находящихся в ротовой полости, а также лица пациента. Проведение этой методики относят к международным лечебным стандартам, она помогает:

  • сделать своевременную диагностику;
  • предложить обзор фото для пациента стадий лечения;
  • получить наблюдение в динамике.

Виды фотопротокола?

Съемка проводится на профессиональную камеру и позволяет получать четкие изображения в цифровом или аналоговом формате. Фотографии можно увеличивать, анализировать — использовать для диагностики и составления плана лечения.

Дентальный фотопротокол включает:

  • Лицевые фото — профиль и анфас, с разворотом головы на 3/4. С улыбкой и без.
-2
-3
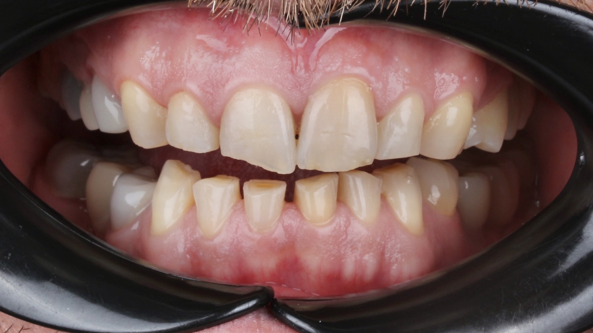
  • Внутриротовые снимки — верхней и нижней челюстей, прикуса справа и слева, анфас.

Также при необходимости врач делает внутриротовые фото сегментов зубного ряда. Обычно при лечении кариеса или пульпита зубов: фото до лечения, демонстрация величины кариозного поражения, результат проведенных стоматологических манипуляций, внешний вид пломбы.

Как используется фотопротокол?

Стоматолог-ортодонт фотографирует пациента полностью до лечения, фиксирует положение головы относительно шеи во фронтальной плоскости и в профиль. Это необходимо для сравнения результатов после лечения. Ведь неправильный прикус влияет на положение головы, осанки, шеи.

  • Терапевтическое лечение

Стоматолог-терапевт делает фотофиксацию больной единицы до лечения, во время процесса, возможно с несколькими этапами, и в конце готовый результат восстановления. Это необходимо для наглядного обзора клинического случая, а также для наблюдения лечения в динамике.

С помощью фотографий врач не только фиксирует состояние до лечения и результат после, но и передает цвет и форму зубов в лабораторию зубному технику.

Этапы выполнения фотопротокола

Предварительно врач сообщает пациенту о том, что требуется проведение фотофиксации. Он объясняет цель процедуры и ее этапность. Затем фотопротокол производится следующим образом:

  1. Стоматолог демонстрирует пациенту фотоаппарат и его работу со вспышкой вне ротовой полости, если такую процедуру применяют впервые. Это необходимо, чтобы в процессе работы не возникло неприятных неожиданностей.
  2. С помощью специального ретрактора стоматолог отодвигает губы и щеки. Производится их фиксация в необходимом положении. Это требуется, чтобы в кадр попали только зубные единицы.
  3. При помощи зеркала выполняют фотоснимки отражения верхней, а затем нижней челюсти.
  4. После этого снимки выводят на монитор компьютера и демонстрируют больному.
-4

Каждый из этапов фотофиксации обсуждается с пациентом. Это помогает повысить степень его доверия к врачу.

Такая консультация с полным фотопротоколом позволяет всецело оценить состояние полости рта и составить корректный план лечения. Это дает возможность понять пациенту и врачу дальнейший ход лечения и расписать его пошагово.

Клиника «Два Дантиста» требует от своих специалистов ведения фотопротокола, это говорит об ответственном подходе к лечению и строгом отборе персонала. Благодаря фото в портфолио врача можно оценить результаты его работы и убедиться в профессионализме.

Записаться в клинику «Два Дантиста» можно через сайт или по тел. 8 (812) 223-43-29