Добавить в корзинуПозвонить
Найти в Дзене
FROGGYMOUTH

Использование FroggyMouth, элайнеров и методов AntiAge-стоматологии в комплексной реабилитации взрослого пациента

Неправильный прикус у взрослых встречается так же часто, как и у детей, а иногда даже чаще. 1 Исследования, проведённые в Швеции и Нидерландах, свидетельствуют о том, что распространённость неправильного прикуса у взрослых колеблется от 40 % до 76 %.2,3 Исследование, проведённое среди призывников армии США, выявило, что 77 % из них нуждались в ортодонтическом лечении неправильного прикуса, при этом у 16% был отмечен неправильный прикус средней тяжести или крайне тяжёлый. Кроме того, данные третьего Национального обследования здоровья и питания, включающего оценку окклюзии, показывают, что до двух третей взрослого населения сталкиваются с различными формами неправильного прикуса. Для достижения оптимальных результатов взрослым пациентам зачастую требуется комплексная реабилитация: сохранение и восстановление биологических тканей, улучшение структуры полости рта, оптимизация механики жевательной системы, восстановление утраченных функций и совершенствование эстетики. Ортодонтическое ле
Оглавление

Доктора Антонелло Франческо Павоне, Бенедетта Павоне, Андреа Баццукки, Паулина Баццукки и Симоне Верарди (Италия)

Введение

Неправильный прикус у взрослых встречается так же часто, как и у детей, а иногда даже чаще. 1 Исследования, проведённые в Швеции и Нидерландах, свидетельствуют о том, что распространённость неправильного прикуса у взрослых колеблется от 40 % до 76 %.2,3 Исследование, проведённое среди призывников армии США, выявило, что 77 % из них нуждались в ортодонтическом лечении неправильного прикуса, при этом у 16% был отмечен неправильный прикус средней тяжести или крайне тяжёлый. Кроме того, данные третьего Национального обследования здоровья и питания, включающего оценку окклюзии, показывают, что до двух третей взрослого населения сталкиваются с различными формами неправильного прикуса.

Для достижения оптимальных результатов взрослым пациентам зачастую требуется комплексная реабилитация: сохранение и восстановление биологических тканей, улучшение структуры полости рта, оптимизация механики жевательной системы, восстановление утраченных функций и совершенствование эстетики. Ортодонтическое лечение играет ключевую роль в улучшении состояния зубов и формирует основу для последующей восстановительной терапии.

Коррекция с использованием исключительно реставрационных процедур не является универсальным способом исправления прикуса зубов. Без ортодонтического лечения врач-стоматолог не всегда может восстановить зубы с неправильным расположением и нарушением смыкания, достигнув подходящего компромисса между структурой, биологией, эстетикой и функциональностью. С другой стороны, анатомию зубов нельзя изменить исключительно с помощью ортодонтии, поскольку данный метод лечения не позволяет достичь идеального прикуса при наличии врождённых или приобретённых дефектов. Таким образом, основополагающим фактором эффективного лечения является взаимодействие между ортодонтией и реставрационной стоматологией.

Большинство аномалий прикуса обусловлены нарушением функции языка и изменением его положения. Следовательно, на начальном этапе междисциплинарного лечения важно восстановить функцию глотания, обеспечив эффективность ортодонтического лечения и уменьшив вероятность последующего рецидива.

Физиология

С точки зрения выполняемых функций мышцы ротовой полости делятся на три группы: мышцы языка, круговую мышцу рта и жевательные мышцы. Эти группы мышц взаимодействуют при сосании, глотании, дыхании, откусывании и жевании, разговоре и т.д. Исследования физиологии плода и новорождённых свидетельствуют о том, что мышцы языка и круговая мышца (участвующие в таких активностях, как сосание, глотание и дыхание) достигают функциональной зрелости раньше жевательных мышц.

После рождения младенец сосет молоко, передвигая язык вперёд и назад между зубными дугами и активируя мышцы вокруг рта для создания вакуума, обеспечивающего направление слюны или молока в ротоглотку посредством глотательных движений. Таким образом, благодаря переднезаднему проталкиванию у новорождённого происходит развитие нижней челюсти

После прорезывания временных зубов акт глотания приобретает новую динамику: зубы сближаются в максимальном контакте, а язык приподнимается, надавливая на переднюю область нёба. Затем, совершая направленное назад глотательное движение, язык перемещает пищевой комок или слюну в сторону ротоглотки. Во время жевания язык сдвигает пищу вбок промеж зубных дуг для формирования пищевого комка. Язык и мышцы вокруг рта выполняют акты глотания, сосания, разговора и управления пищей в процессе жевания, сдвигая пищу к окклюзионным поверхностям в конце каждого жевательного цикла. И акты глотания с одновременным направлением языка к нёбу, и чередующееся одностороннее жевание способствуют правильному расширению и развитию нёба и верхней челюсти, формируя I класс Энгля в детском возрасте.

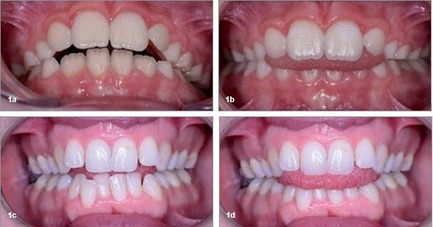
 Рис. 1a–d. Открытый прикус, обусловленный неправильным положением языка, проявившийся в детстве и сохранявшийся до взрослого возраста
Рис. 1a–d. Открытый прикус, обусловленный неправильным положением языка, проявившийся в детстве и сохранявшийся до взрослого возраста
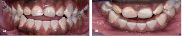
Рис. 2a−b. Открытый прикус и обратная резцовая окклюзия из-за атипичного глотания и низкого положения языка в покое
Рис. 2a−b. Открытый прикус и обратная резцовая окклюзия из-за атипичного глотания и низкого положения языка в покое
Рис. 3a–c. Глубокий прикус из-за бокового положения языка в покое и атипичного бокового глотания
Рис. 3a–c. Глубокий прикус из-за бокового положения языка в покое и атипичного бокового глотания
Рис. 4a–d. Глубокий прикус с протрузией передних зубов и диастемой
Рис. 4a–d. Глубокий прикус с протрузией передних зубов и диастемой
Рис. 5a–c. Глубокий прикус обусловлен боковым положением языка в покое и во время глотания, что приводит к углублению кривизны Шпее. В процессе глотания язык толкает передние зубы вперёд, что вызывает вторичное неправильное положение губ
Рис. 5a–c. Глубокий прикус обусловлен боковым положением языка в покое и во время глотания, что приводит к углублению кривизны Шпее. В процессе глотания язык толкает передние зубы вперёд, что вызывает вторичное неправильное положение губ

Внутриротовое равновесие является фактором, определяющим правильное расположение зубов в зубных дугах. Это касается как динамической функции, которая играет важную роль в формировании полости рта, так и статической. Для оптимального развития челюстей и зубов необходимо поддерживать правильное внутриротовое равновесие в течение 4–8 часов в день: язык касается нёба, губы сомкнуты, зубы в состоянии покоя. Статический тонус языка и круговой мышцы рта оказывает существенно большее влияние на положение зубов, чем динамическое воздействие. Лёгкие силы играют ключевую роль в правильном положении зубов. У взрослых язык должен быть прижат к нёбу.

Основными компонентами внутриротового равновесия являются давление языка и губ в состоянии покоя, а также силы, создаваемые в периодонтальной области, подобные тем, которые возникают в процессе прорезывания зубов. Язык и мышцы вокруг рта совместно формируют нейтральную зону: пространство, в котором зубы остаются в позиционном балансе. Жевание, глотание, дыхание и произношение звуков - это функции, непрерывно взаимодействующие и влияющие друг на друга. Таким образом, дисфункции одной из них достаточно, чтобы нарушить остальные функции орофациальной области.

Дисфункция глотания и жевания

Дисфункция языка – распространённая проблема, наблюдаемая у взрослых пациентов. Наиболее характерной разновидностью является атипичное глотание: сохранение инфантильного типа глотания у взрослых. Распространённость атипичного глотания варьируется от 30

% до 50 % населения и связано с другими проблемами орофациальных привычек, такими как кормление грудью, сосание пальца и сосание губ.

Атипичное глотание зачастую вызвано постепенным раскрытием прикуса, при этом его последствия в полной мере проявляются во взрослом возрасте. При открытом прикусе язык выталкивается между передними зубами во время глотания, и данная интерпозиция прогрессирует с течением времени.

Дисфункция языка включает в себя широкий спектр динамических и статических изменений, вызывающих различные аномалии, такие как:

- скученность зубов;

- открытый прикус;

- уменьшение челюсти;

- прямая окклюзия;

- мезиальная окклюзия и III класс по Энглю;

- передний перекрёстный прикус;

- боковой перекрёстный прикус;

- глубокий прикус;

- боковое смещение нижней челюсти;

- переднее сужение челюсти.

Изменение положения языка, атипичное глотание и дисфункция мышц челюстно-лицевой области с момента рождения приводят к формированию аномалий челюстей и зубов.

Впоследствии неправильная работа жевательных мышц усугубляет функциональные нарушения. По мере взросления организма негативные изменения полости рта, произошедшие в процессе развития, сказываются на характеристиках уникальных и групповых морфотипов. (рис. 1–5).

Морфологические особенности физиологического и патологического развития у детей могут быть систематизированы с использованием статических характеристик, предложенных Мью. Эти характеристики также полезны для предварительного анализа или объяснения нарушенных процессов у взрослых пациентов (рис. 6). Важным аспектом при оценке являются следующие динамические характеристики:

1) физиологическое глотание и правильное положение языка: физиологический прикус и конгруэнтность зубных дуг;

2) неполное прижатие языка к нёбу и различные степени атипичного глотания, вызывающие скученность зубов;

3) атипичное глотание и язык между или впереди передних зубов в покое: открытый прикус или II класс по Энглю (часто ассоциированный с приоткрытыми губами);

4) постепенное выдвижение языка и его низкое положение стимулируют развитие нижней челюсти: прямая окклюзия, смыкание зубов «край в край» до переднего перекрёстного прикуса и III класса по Энглю;

5) преобладание двустороннего проталкивания при глотании: различные степени глубокой кривой Шпее и глубокого прикуса, а также двусторонний перекрёстный прикус - степень также зависит от силы круговой мышцы и жевательных мышц (круговая мышца герметично смыкает губы во время глотания, вызывая нёбное положение передних зубов; класс II по Энглю);

6) преобладание одностороннего проталкивания при глотании: различные степени асимметрии кривой Шпее и тенденция к боковому смещению нижней челюсти до одностороннего перекрёстного прикуса.

Классификации имеют свои ограничения. Тем не менее их использование позволяет диагностировать аномалии, вызванные дисфункцией языка и мышц челюстно-лицевой области. В таком случае терапевтические меры будут направлены на коррекцию изменённого способа глотания и устранение парафункциональных привычек, таких как сосание пальца.

Несоответствие зубных дуг, возникающее в процессе роста, усугубляется с течением времени. Различные виды компенсаторной эрозии, связанной с износом, со временем влияют на расположение зубов.

У пациентов с глубоким прикусом язык касается боковой поверхности жевательных зубов во время глотания и в покое (зубы дистальнее от клыка). Это функциональное нарушение приводит к увеличению изгиба Шпее. При глотании пациенты не смыкают задние зубы, поскольку между ними находится язык. Следовательно, им приходится плотнее смыкать губы, создавая отрицательное давление для направления слюны или комка пищи в пищевод, а не наружу изо рта.

Рис. 6. Классификация Мью, основанная на положении языка
Рис. 6. Классификация Мью, основанная на положении языка

Давление, создаваемое мышцами, окружающими ротовую полость, и губами, оказывает воздействие на зубы, приводя к нёбному наклону передних зубов. Формирование вакуума в боковом отделе вызывает отпечатки зубов на языке и на щеках (рис. 7).

Рис. 7. Отпечатки зубов на языке из-за вакуумного эффекта при атипичном глотании
Рис. 7. Отпечатки зубов на языке из-за вакуумного эффекта при атипичном глотании

Аномалии окклюзии, такие как переднее сужение челюсти, прямая окклюзия, мезиальная окклюзия и III класс по Энглю, тоже обусловлены дисфункцией языка и мышц челюстно-лицевой области. В этих случаях язык постоянно находится ниже своего нормального положения между дугами и даже ниже окклюзионной плоскости, оказывая давление на нижнюю челюсть и способствуя увеличению её размера. Скученность зубов также связана с дисфункцией языка, особенно с его постепенным опусканием в покое.

Дисфункция языка или глотания может вызвать ряд проблем для пациента. Чем раньше будут предприняты коррекционные меры, тем лучше для функционирования жевательной системы. Дисфункция глотания у взрослых обычно вызвана:

• нарушением прикуса и аномалиями челюстей;

• расхождением и диастемой передних зубов;

• дисфункцией височно-нижнечелюстного сустава (ВНЧС) из-за дистального смещения нижней челюсти и перегрузки сустава во время глотания;

• нарушением глотания (дисфагией) и недостаточной жевательной активностью до риска удушения или утопления;

• проблемами с дыханием, дыханием через рот, обструктивным апноэ сна и расстройством сна;

• травмой передних зубов;

• наличием зубного налёта в передней области и пародонтитом;

• неправильным произношением звуков (дислалией) и выбрасыванием слюны изо рта;

• хейлитом и морщинами вокруг рта;

• рецидивом ортодонтического лечения.

Рис. 8. FroggyМouth, адаптированный под губы пациента
Рис. 8. FroggyМouth, адаптированный под губы пациента

Анализ функциональности языка

При необходимости восстановления зубов у взрослого пациента мы рекомендуем проводить всестороннюю оценку, выходящую за пределы обычного анализа состояния зубов, пародонта и функции височно- нижнечелюстного сустава (ВНЧС). Крайне важным также являются изучение жевательной активности и оценка остеопатического состояния, связанного с челюстями и окружающими структурами. В дополнение к этому оценка глотания и положения языка в покое являются неотъемлемой частью всестороннего изучения общего состояния полости рта пациента и её функций.

При проведении клинического обследования важно задавать вопросы о том, как пациент глотает и где находится язык в состоянии покоя. Мы проводим тестирование самостоятельного глотания, стремясь выявить возможное избыточное сокращение круговой мышцы, проявляющееся в сжатии губ. Сокращение околоротовых мышц во время глотания является характерным признаком дисфункции глотания. Далее мы предлагаем пациенту попробовать глотать с открытыми губами, что может вызывать затруднения у пациентов с атипичными привычками глотания. Мы стремимся выявить неправильное положение языка во время глотания, аккуратно разомкнув губы пациента или используя ретрактор. Однако данный метод диагностики может нарушить процесс естественного функционирования. Крайне важно проанализировать и положение языка в покое: пациенту необходимо удерживать язык в покое, расслабиться и аккуратно размыкать губы, чтобы врач смог определить положение языка. В случаях глубокого прикуса можно попытаться выявить боковое положение языка при проведении внутриротовых фотографий.

Наличие дисфункции языка можно предположить, обнаружив отпечатки на языке или другие проблемы, указанные выше.

Процесс реабилитации с FroggyMouth

Начальным этапом в процессе восстановления глотания является применение FroggyМouth. Это устройство следует использовать ежедневно по 20 минут в день на протяжении не менее 21 дня (рис. 8). Помимо этого, необходимо помочь пациенту избавиться от вредных привычек. В то же время мы стремимся достичь расслабления жевательных мышц и височно-нижнечелюстного сустава при помощи окклюзионного сплинта. Лингвальное кольцо Ri.P.A.Ra может быть использовано в качестве ночной шины перед началом лечения и во время его проведения, а также в ходе физиотерапевтических упражнений и остеопатического лечения (рис. 9).

Перед началом ортодонтического лечения требуется провести санацию полости рта: лечение кариеса и заболеваний пародонта. С помощью элайнеров производится коррекция положения зубов и восстановление нормальной формы зубных дуг. Также в рамках ортодонтического лечения представляется возможным провести аугментацию костной ткани и установку имплантатов.

После ортодонтического лечения возможны восстановление зубов и установка имплантатов. Этот этап реабилитации рассматривается как antiage-стоматология, направленная на омоложение. В рамках этого процесса возможно применение новых коронок или реставраций, что приведет к улучшению окклюзии.

Последняя фаза реабилитации – научить пациента жевать с использованием ватных валиков, жевательной резинки, твердой пищи и силиконовых жевательных палочек . Эта фаза реабилитации может начаться даже во время ортодонтического лечения. Фактически использование жевательных палочек может не только быть основополагающим для развития правильного жевания, но и стимулировать пародонт и улучшить эффективность элайнеров.

Клинический случай

Пациент в возрасте 58 лет обратился с желанием улучшить эстетику свой улыбки и жалобами на подвижность жевательных и стираемость передних зубов. Анализ собранных данных выявил сложную клиническую ситуацию (рис. 11–12):

Рис. 11a–e. Физиологический покой, улыбка, внутриротовые фронтальные и боковые фотографии
Рис. 11a–e. Физиологический покой, улыбка, внутриротовые фронтальные и боковые фотографии
Рис. 12a, b. Верхняя и нижняя зубные дуги, окклюзионный вид
Рис. 12a, b. Верхняя и нижняя зубные дуги, окклюзионный вид
Рис. 13a, b. Боковая цефалометрическая рентгенограмма и панорамная томограмма до лечения
Рис. 13a, b. Боковая цефалометрическая рентгенограмма и панорамная томограмма до лечения

1) тяжелый периодонтит с плохим прогнозом для некоторых зубов;

2) передний перекрёстный прикус;

3) паталогическая стираемость в основном передних зубов и компенсаторная эрозия;38

4) атипичное глотание и низкое положение языка в покое;

5) дисфункция жевательных мышц при тесте на жевание;

6) отсутствие выраженных признаков дисфункции височно-нижнечелюстного сустава (ВНЧС).

На первом приеме мы определили центральное положение, используя ватные валики, устранили задний мезиальный суперконтакт, после чего создали непосредственный композитный мокап с упором на эстетику и функциональность в этом новом положении. Это не только послужило мотивацией для пациента, продемонстрировав ему окончательный результат, но и помогло осознать необходимость лечения дисфункции языка, выравнивания зубов и изменения их размера для увеличения вертикальной высоты прикуса (рис. 14 и 15).

Рис. 14a–c. Новое центральное соотношение челюстей, которое определяется с использованием ватных валиков и поднятого языка к небу
Рис. 14a–c. Новое центральное соотношение челюстей, которое определяется с использованием ватных валиков и поднятого языка к небу
Рис. 15a–c. Прямой мокап для помощи пациенту в понимании функциональных и эстетических проблем, а также визуализации увеличенной вертикальной высоты прикуса с зажатием челюстей в центральном соотношении с накладками на боковых зубах
Рис. 15a–c. Прямой мокап для помощи пациенту в понимании функциональных и эстетических проблем, а также визуализации увеличенной вертикальной высоты прикуса с зажатием челюстей в центральном соотношении с накладками на боковых зубах

План лечения включал в себя следующие этапы:

1) лечение дисфункции языка с применением

FroggyМouth (рис. 16);

2) разгрузка мышц и ВНЧС с использованием устройства Ri.P.A.Ra;

3) этиологическая пародонтальная терапия и удаление зубов с неблагоприятным прогнозом;

4) коррекция положения зубов с использованием элайнеров;

5) синус-лифтинг для восстановления костной ткани и установка имплантатов с пародонтальной хирургией, при необходимости;

6) установка керамических виниров в переднем отделе и коронок на имплантатах в боковом.

Рис. 16. Терапия дисфункции языка с использованием FroggyМouth
Рис. 16. Терапия дисфункции языка с использованием FroggyМouth

Данный пациент, как и все пациенты, нуждающиеся в комплексной реабилитации, должен был пройти первоначальное пародонтальное лечение и лечение кариеса (рис. 17).

В то же время было необходимо восстановить нормальное глотание с использованием FroggyМouth, расслабить мускулатуру жевательных мышц и разгрузить ВНЧС при помощи окклюзионного сплинта, после чего мы разработали план ортодонтического лечения, используя 3D-диагностику, и представили его междисциплинарной команде и пациенту (рис. 18). Таким образом, мы определили правильную последовательность ортодонтического лечения, а также хирургического вмешательства с целью установки имплантов в боковых отделах челюсти.

После завершения первой стадии лечения с применением элайнеров удалось достичь лучшей конгруэнтности зубных дуг, расширить верхнюю челюсть и создать пространство для восстановления передних зубов (рис. 19). Затем мы временно восстановили передние зубы с использованием прямых композитных реставраций, закрыв промежутки, улучшив пропорции зубов и дополнительно увеличив расширение верхней дуги (рис. 20). Реставрационное расширение дуги использовалось для уменьшения ортодонтической нестабильности зубов, достижения правильного соотношения зубных дуг и удержания зубов в кортикальной кости.

Рис. 17a–g. Клиническая картина до ортодонтического лечения, после этапа этиологической пародонтальной терапии и нескольких удалений зубов для решения пародонтальных проблем
Рис. 17a–g. Клиническая картина до ортодонтического лечения, после этапа этиологической пародонтальной терапии и нескольких удалений зубов для решения пародонтальных проблем
Рис. 18a–f. I План лечения с использованием 3D-диагностики: вид спереди, сбоку и снизу
Рис. 18a–f. I План лечения с использованием 3D-диагностики: вид спереди, сбоку и снизу

Был проведен этап коррекции с применением элайнеров с целью улучшения окончательного выравнивания зубов по десне и улучшения конгруэнтности зубных дуг (рис. 21). Периоды основного ортодонтического лечения и этапа коррекции использовались для стабилизации костной ткани верхней и нижней челюстей и установки имплантатов (рис. 22). После ортодонтического лечения были установлены керамические виниры в переднем отделе и временные реставрации на имплантатах в боковом отделе (рис. 23–26).

Рис. 19a–e. Клиническая картина после первого этапа лечения на элайнерах и установки имплантатов на нижней челюсти. Отмечается выравнивание зубов и промежутки в переднем отделе из- за расширения верхней челюсти
Рис. 19a–e. Клиническая картина после первого этапа лечения на элайнерах и установки имплантатов на нижней челюсти. Отмечается выравнивание зубов и промежутки в переднем отделе из- за расширения верхней челюсти
Рис. 20a–f. Временное прямое восстановление с использованием композита для изменения пропорций передних зубов и закрытия промежутка из-за расширения дуги, достигнутого после первого этапа ортодонтического лечения
Рис. 20a–f. Временное прямое восстановление с использованием композита для изменения пропорций передних зубов и закрытия промежутка из-за расширения дуги, достигнутого после первого этапа ортодонтического лечения
Рис. 21a−b. План коррекции с использованием 3D-диагностики, вид сбоку
Рис. 21a−b. План коррекции с использованием 3D-диагностики, вид сбоку
Рис. 22a–c. Панорамная томограмма и КЛКТ для оценки положения передних зубов в костной ткани в конце ортодонтического лечения, аугментации костной ткани и установки имплантатов в области отсутствующих 45 и 46 зубов
Рис. 22a–c. Панорамная томограмма и КЛКТ для оценки положения передних зубов в костной ткани в конце ортодонтического лечения, аугментации костной ткани и установки имплантатов в области отсутствующих 45 и 46 зубов
Рис. 23a–e. Клиническая картина после ортодонтического лечения
Рис. 23a–e. Клиническая картина после ортодонтического лечения
Рис. 24a–c. Мокап для подготовки к винирам и восковая окклюзионная проверка с использованием шаблона для увеличения высоты прикуса
Рис. 24a–c. Мокап для подготовки к винирам и восковая окклюзионная проверка с использованием шаблона для увеличения высоты прикуса
Рис. 25a−b. Постоянная фиксация керамических виниров с использованием коффердама
Рис. 25a−b. Постоянная фиксация керамических виниров с использованием коффердама
Рис. 26a–d. Керамические виниры в переднем отделе верхней и нижней челюстей, а также временные реставрации в боковом отделе нижней челюсти
Рис. 26a–d. Керамические виниры в переднем отделе верхней и нижней челюстей, а также временные реставрации в боковом отделе нижней челюсти
Рис. 27a–h. Финальный результат с керамическими винирами на передних зубах и циркониевыми коронками на имплантатах в боковых отделах. (а) Фронтальный вид улыбки пациента, рот закрыт. (b) Фронтальный вид улыбки, рот открыт. (c) Боковой вид улыбки слева. (d) Боковой вид улыбки справа. (е) Окклюзия спереди. (f)	Окклюзия справа. (g) Окклюзия слева. (h) Вид с обратной окклюзией.
Рис. 27a–h. Финальный результат с керамическими винирами на передних зубах и циркониевыми коронками на имплантатах в боковых отделах. (а) Фронтальный вид улыбки пациента, рот закрыт. (b) Фронтальный вид улыбки, рот открыт. (c) Боковой вид улыбки слева. (d) Боковой вид улыбки справа. (е) Окклюзия спереди. (f) Окклюзия справа. (g) Окклюзия слева. (h) Вид с обратной окклюзией.

Этап использования временных конструкций продолжался около четырех месяцев и был важен для формирования тканей вокруг имплантатов, а также обучения пациента правильному жеванию с применением жевательной резинки, ватных валиков и силиконовых жевательных палочек. Это поспособствовало формированию у пациента правильного жевательного цикла, необходимого для успешной реабилитации жевательной системы. Наша цель заключалась в том, чтобы пациент достиг качественной функции жевания и глотания. После достаточного времени для реабилитации были установлены циркониевые коронки на имплантатах в боковых отделах (рис. 27).

Нашими целями окончательной реабилитации являлись:

- стабильность в боковом отделе;

- конгруэнтность и U-образная форма зубных дуг;

- отсутствие контакта в области передних зубов во время жевания;

- минимальный физиологический покой челюстей;

- боковой цикл жевания;

- физиологическое глотание и высокое положение языка на нёбе;

- расстояние между верхней и нижней челюстями, обеспечивающее свободное движение нижней челюсти.

С целью поддержания результатов после протезирования пациенту рекомендовалось продолжать лечение с FroggyМouth и использовать Ri.P.A.Ra для физиотерапевтических упражнений и тренировок мышц (рис. 28). Было рекомендовано надевать окклюзионный сплинт на ночь. Данный сплинт имеет дистальные направляющие для выдвижения нижней челюсти и обеспечения сбалансированной боковой поддержки (рис. 29). Мы достигли эстетичного внешнего вида с конгруэнтностью зубных дуг и хорошими цефалометрическими показателями (рис. 30 и 31).

Для отслеживания динамики состояния пациента и клинической картины на протяжении времени мы регулярно проводили обследование, используя рентгенографию и клиническую оценку. Кроме того, мы оценивали функциональное поведение языка и процесса жевания при помощи ранее упомянутого анализа глотания и G-теста (тест с жевательной резинкой; рисунок 32).

Рис. 28. Продолжение терапии с FroggyМouth
Рис. 28. Продолжение терапии с FroggyМouth

Заключение

Лечение взрослых пациентов сопряжено с процессами обширного внутриротового, клинического и возрастного старения. Зачастую данные процессы носят комбинированный характер в связи с функциональными изменениями, возникшими в детстве и усугубившимися со временем.

Изменения в дыхании, глотании и жевании, вызванные неидеальным протезированием зубов, асимметричными и асинхронными процессами стираемости зубов, наличием неблагоприятных привычек и парафункций, а также ятрогенные изменения создают сложные сценарии для реабилитации. Адаптивные процессы жевательной системы при этом являются значительным фактором. Однако, восстанавливая зубы у взрослых пациентов, мы должны стремиться максимально компенсировать изменённую систему. Поэтому мы прибегаем к междисциплинарной реабилитации с целью предоставить новую, улучшенную, омоложенную и восстановленную систему.

Междисциплинарный подход обязан включать в себя коррекцию глотания, выравнивание зубов в пределах зубного ряда, достижение оптимальной окклюзии и, в конечном итоге, восстановление зубов. Основные цели - достижение приятной эстетики, окклюзионной стабильности и правильного жевания с корректной работой языка, мышц и осанкой.

Рис. 29a–e. Окклюзионный сплинт доктора Маурицио Реали с задним ограничителем для защиты керамических зубов от сколов, улучшения окклюзионной динамики, а также декомпрессии височно- нижнечелюстных суставов
Рис. 29a–e. Окклюзионный сплинт доктора Маурицио Реали с задним ограничителем для защиты керамических зубов от сколов, улучшения окклюзионной динамики, а также декомпрессии височно- нижнечелюстных суставов
Рис. 30. Ортопантомограмма после лечения
Рис. 30. Ортопантомограмма после лечения
Рис. 31a− b. Цефалометрический анализ телерентгенограммы в боковой проекции после лечения
Рис. 31a− b. Цефалометрический анализ телерентгенограммы в боковой проекции после лечения
Рис. 32a–h. Контрольный осмотр через три года. (a) Панорамная томограмма. (b) Фронтальный вид улыбки пациента, открытый рот. (c) Боковая фотография улыбки справа. (d) Боковая фотография улыбки слева. (e) Фотография окклюзии спереди. (f) Фотография окклюзии справа. (g) Фотография окклюзии слева. (h) Фотография окклюзии снизу.
Рис. 32a–h. Контрольный осмотр через три года. (a) Панорамная томограмма. (b) Фронтальный вид улыбки пациента, открытый рот. (c) Боковая фотография улыбки справа. (d) Боковая фотография улыбки слева. (e) Фотография окклюзии спереди. (f) Фотография окклюзии справа. (g) Фотография окклюзии слева. (h) Фотография окклюзии снизу.

О первом авторе

Доктор Антонелло Франческо Павоне
Доктор Антонелло Франческо Павоне

Доктор Антонелло Франческо Павоне успешно завершил обучение с отличием в 1995 году в университете Tor Vergata в Риме, Италия. В 2000 году он получил лицензию на занятие стоматологической практикой от Университета Женевы в Швейцарии и защитил докторскую степень в университете Tor Vergata в Риме. Доктор Павоне владеет частной практикой в Риме, а также работает в клинике «Ла Прайри» в Монтре, Швейцария, специализируясь в основном на реабилитации пациентов. Он также выступает лектором в различных национальных и международных магистерских программах. Доктор Павоне является членом Ассоциации итальянской гнатологии и орофациальной боли, где занимает пост советника и казначея. Кроме того, он является сертифицированным членом Европейского общества косметической стоматологии.