Добавить в корзинуПозвонить
Найти в Дзене

Что делать если сломан инструмент в зубе?

Найти того, кто сможет его достать или…есть ещё вариант! Всем доброго времени суток! Отлом эндодонтического инструмента является ночным и дневным кошмаром стоматологов-терапевтов, да и пациентов тоже. Хуже всего, когда это происходит при первичной обработке каналов, когда ещё канал не был промыт сильными антисептиками и не устранена инфекция. То есть, грубо говоря, происходит закупорка микроорганизмов пробкой (остатком инструмента), которая остаётся в канале и продолжает размножаться там. А это в дальнейшем приводит к боли, подвижности зуба, отеку и опухшей щеке (периодонтиту/периоститу). Вкратце, если такая ситуация возникает, то терапевты стараются извлечь инструмент и заново обработать каналы , запломбировать их.. Спойлер. Иногда такое не получается в силу ряда причин… Подходит ко мне терапевт и говорит, что у пациента в канале зуба давно «живёт инструмент», который она пробовала достать, но все попытки тщетны. «Ваш выход , Виталий Владимирович, удаляйте». Я посмотрел у пацие

Найти того, кто сможет его достать или…есть ещё вариант!

Всем доброго времени суток!

Отлом эндодонтического инструмента является ночным и дневным кошмаром стоматологов-терапевтов, да и пациентов тоже. Хуже всего, когда это происходит при первичной обработке каналов, когда ещё канал не был промыт сильными антисептиками и не устранена инфекция. То есть, грубо говоря, происходит закупорка микроорганизмов пробкой (остатком инструмента), которая остаётся в канале и продолжает размножаться там. А это в дальнейшем приводит к боли, подвижности зуба, отеку и опухшей щеке (периодонтиту/периоститу).

Вкратце, если такая ситуация возникает, то терапевты стараются извлечь инструмент и заново обработать каналы , запломбировать их..

Спойлер. Иногда такое не получается в силу ряда причин…

Подходит ко мне терапевт и говорит, что у пациента в канале зуба давно «живёт инструмент», который она пробовала достать, но все попытки тщетны.

«Ваш выход , Виталий Владимирович, удаляйте».

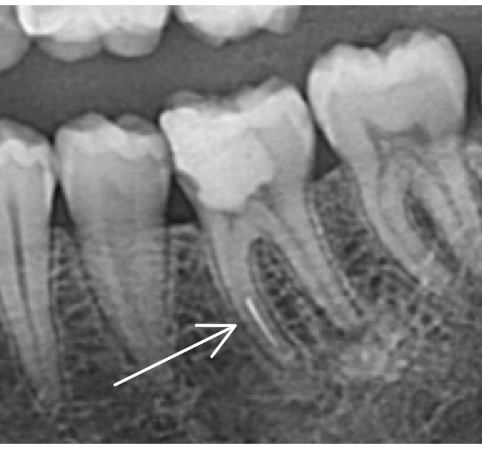
Я посмотрел у пациента в полости рта «как обстоят дела» на данный момент:

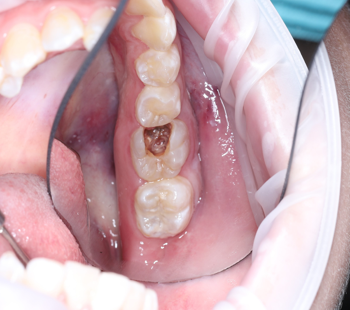
Зубик с большой дырочкой
Зубик с большой дырочкой

Возраст пациента 19 лет.

Оказалось, что зуб болит сам по себе и при нажатии на него, имеется подвижность, примерно 2 степени. А по снимку на корнях инфекция выходит за пределы верхушки.

-2

В таких случаях, действительно, все показания и все мысли сводятся к удалению зуба и замещению на имплантат и т.п. (по учебникам).

С тех пор как мы выучились, многое поменялось и шагнуло вперёд. Стоматология, пожалуй, наиболее непрерывно развивающаяся область медицины.

Но я предложил нестандартный вариант всем участникам процесса…

Если мне удастся аккуратно извлечь зуб целиком, тогда «в щипцах» отпиливаем корни, делаю кюретаж, пломбируем ретроградно каналы, и помещаем в «родные пенаты» с шиной на 2-3 недели для обратного приживления.

Цель данного «мероприятия» состояла в том, чтобы :

1.избавить пациента от боли;

2.сохранить место, чтобы не пошли вторичные деформации и смещения (в дальнейшем планируется ортодонтическое лечение);

3.подготовить будущую костную ткань для более прогнозируемой имплантации.

И мы приступили..

-3

5-10 минут я всячески раскачивал зуб, чтобы тот вышел целиком и ✅ удача сопутствовала в тот день (обычно такие зубы сложно удалить без распиливания).

После удаления:

-4

Отпилил корни:

-5

Терапевт запломбировала ретроградно каналы специальным раствором:

-6

Обратно поместил зуб, залил полость пломбой, засветил:

-7

Снимки до, сразу после операции и через 2 месяца:

-8

На последнем рентгене отчётливо видно, что костная ткань регенерирует и образуется в том месте, где ранее были корни.

плюсы:

✅боль ушла;

✅пациент остался с зубом;

✅сохранили место и предотвратили деформации;

✅в дальнейшем замена зуба на имплантат пройдёт легче, так как кость под ним уже будет сформирована.

Ставьте лайк👍, если публикация была полезной и интересной. 

Подписывайтесь на канал. ✅

Всем здоровья!

P.s.если есть вопросы - пишите комментарии📝

С уважением, доктор Ижмукóв 

Виталий Владимирович.

_________________________________________

Контактная информация:

+79370634232 

vk.com/talich