Добавить в корзинуПозвонить
Найти в Дзене
Доктор Николаев

Аденомиоз – причина маточных кровотечений

Аденомиоз - это заболевание, при котором происходит разрастание эндометриоидных клеток в миометрии (мышечным слое тела матки), а не в полости матки, как должно быть в норме. Иногда аденомиоз называют “эндометриозом матки” или “внутренним эндометриозом”. Аденомиоз является часто встречаемой гинекологической патологией, и особенно распространен среди рожавших женщин от 35 до 45 лет. Для того, чтобы объяснить, что такое внутренний эндометриоз (или аденомиоз), необходимо начать с анатомии. Матка - это мышечный орган, в котором есть полость, которую в свою очередь выстилает слизистая оболочка – эндометрий. Это гормонально зависимая ткань, которая весь месяц растет под воздействием половых гормонов, в первую очередь, эстрогенов, а во время менструации слущивается. Эндометрий может начать прорастать в мышечный слой матки - миометрий, формируя там хаотично расположенные мелкие эндометриоидные очаги. Ведут они себя похожим образом, как и нормальный эндометрий, тоже растут в течение цикла, а во
Оглавление

Аденомиоз - это заболевание, при котором происходит разрастание эндометриоидных клеток в миометрии (мышечным слое тела матки), а не в полости матки, как должно быть в норме. Иногда аденомиоз называют “эндометриозом матки” или “внутренним эндометриозом”. Аденомиоз является часто встречаемой гинекологической патологией, и особенно распространен среди рожавших женщин от 35 до 45 лет.

Для того, чтобы объяснить, что такое внутренний эндометриоз (или аденомиоз), необходимо начать с анатомии. Матка - это мышечный орган, в котором есть полость, которую в свою очередь выстилает слизистая оболочка – эндометрий. Это гормонально зависимая ткань, которая весь месяц растет под воздействием половых гормонов, в первую очередь, эстрогенов, а во время менструации слущивается.

Эндометрий может начать прорастать в мышечный слой матки - миометрий, формируя там хаотично расположенные мелкие эндометриоидные очаги. Ведут они себя похожим образом, как и нормальный эндометрий, тоже растут в течение цикла, а во время менструации отторгаются. При этом за счет увеличения площади поверхности эндометрия, увеличивается и объем самой матки и количество кровяных выделений во время менструации, что может приводить к падению уровня гемоглобина, то есть к анемии.

-2

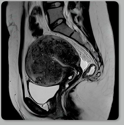
Вот так на МРТ выглядит матка с тяжелой степенью аденомиоза – она увеличилась в размерах и приобрела форму шара. Вместе с этим в области расположения самих очагов возникает местный отек и воспаление, что, с одной стороны, способствует возникновению болевого синдрома, а с другой, благодаря действию местного иммунитета, приводит к фиброзу и формированию аденомиом – это узловая форма аденомиоза. Не путать с миомой матки, это совершенно разные заболевания.

Почему появляется аденомиоз?

Наиболее простое объяснение заключается в том, что аденомиоз возникает вследствие травмы зоны перехода эндометрия в миометрий. Это происходит при различных операциях, таких как кесарево сечение или удаление миоматозных узлов, при интрументальных абортах, выскабливании стенок полости матки и даже при естественных родах. Но это не объясняет почему аденомиоз также возникает и у женщин, которым вообще не проводилось никаких оперативных вмешательств. Есть предположение о том, что микротравма переходной зоны может быть вообще физиологическим процессом, который возникает при обычных сокращениях матки, которые передают волны перистальтики на эндометрий в течение всего репродуктивного цикла.

Также есть теория, связанная с нарушением мюллеровых протоков, той структуры из которой в процессе эмбриогенеза формируются женские половые органы. Вероятно, остатки протоков внутри миометрия могут рано или поздно приводить к образованию эндометриоидной ткани, то есть, к аденомиозу. Это объясняет, например, случаи возникновения этого заболевания у подростков.

Аденомиоз и эндометриоз это одно и тоже?

Если вы читали статьи про эндометриоз, то наверняка увидели очевидную аналогию между этими двумя заболеваниями. Можно ли назвать это одним и тем же заболеванием? На самом деле мировое научное сообщество пока не пришло к единому мнению по этому вопросу. В российских клинических рекомендациях аденомиоз считают разновидностью эндометриоза, и называют внутренним эндометриозом или эндометриозом матки, а все остальные локализации называют наружным эндометриозом. В европейских рекомендациях аденомиоз считают отдельным заболеванием, то есть, все очаги в матке определяются как аденомиоз, а за ее пределами - эндометриоз.

-3

В чем разница между аденомиозом и эндометриозом?

Несмотря на разницу в расположении очагов, эти два заболевания имеют еще несколько принципиальных отличий. Во-первых, это маточные кровотечения, которые наблюдаются только при аденомиозе. Во-вторых, разные причины возникновения заболевания. Если при эндометриозе основным механизмом является заброс менструальной крови в брюшную полость, то при аденомиозе – это травма переходной зоны эндометрия в миометрий, и последующее прорастание эндометрия в мышечную стенку. В-третьих, как следствие, отличаются и подходы к лечению. Если при эндометриозе в большинстве случаев показано оперативное вмешательство, то аденомиоз очень часто можно просто наблюдать или лечить консервативно

Существует ли лечение аденомиоза без гормонов?

Как правило, терапия аденомиоза начинается с симптоматического лечения. Для обезболивания назначают нестероидные противовоспалительные препараты, такие как ибупрофен, кетанов или свечи с индометацином, а для того, чтобы уменьшить кровопотерю – гемостатические средства, такие как транексам. Кроме того, при падении уровня гемоглобина назначают препараты железа. Но такое лечение работает далеко не всегда, и может быть вообще неэффективным, особенно при тяжелых формах аденомиоза.

Какое бывает лечение аденомиоза гормонами?

Наиболее распространенным методом лечения аденомиоза первой линии являются препараты прогестеронового ряда, которые подавляют рост эндометрия и соответственно эндометриоидных очагов, как внутри матки, так и снаружи. К ним относятся пероральные препараты, такие как, например, норколут или дюфастон. На их фоне у большинства пациенток приостанавливается прогрессирование заболевания, прекращаются боли и кровотечения, но все равно остается одна большая проблема. Эти препараты не вылечивают аденомиоз, и после отмены в течение нескольких месяцев наблюдается возвращение неприятных симптомов. В качестве альтернативы существуют внутриматочные гормональные системы, самая популярная из которых Мирена, которая ставится на 5 лет, и, если женщина не планирует беременность, то после окончания срока действия ее можно поменять на новую.

Применяется ли хирургическое лечение аденомиоза?

При неэффективности гормональной терапии, пациентке может быть предложено хирургическое лечение. При аденомиозе существуют два варианта операций: органосохраняющие, когда мы удаляем патологическое образование, и сохраняем матку, и радикальные – удаление патологическое образования вместе с маткой. Органосохраняющий метод лечения применяется при узловой форме аденомиоза, когда технически возможно удалить узел, избежав тяжелой травмы мышечной стенки матки. При диффузной форме аденомиоза, когда удалить все мелкие очаги просто технически невозможно, пациентке старше 45, выполнившей репродуктивные планы возможно предложить операцию по удалению матки.

Какие существуют альтернативные методы лечения аденомиоза?

Наиболее распространенным из альтернативных методов является эмболизация маточных артерий. Суть операции заключается в том, что в бедренную артерию вводится специальный катетер, который проводится до маточных артерий, после чего по нему запускаются специальные эмболы, которые блокируют в маточных артериях кровоток. На этом фоне наступает ишемическое и гипоксическое поражение очагов аденомиоза, большая часть из которых просто некротизируется и со временем пропадает. Матка при этом получает кровоснабжение из дополнительных ветвей, которых у нее много, и поэтому продолжает нормально функционировать. Этот метод, однако, не обладает 100% эффективностью, поэтому зачастую после операции пациенткам все равно назначается гормональная терапия.