Добавить в корзинуПозвонить
Найти в Дзене

Как сохранить улыбку после удаления передних зубов

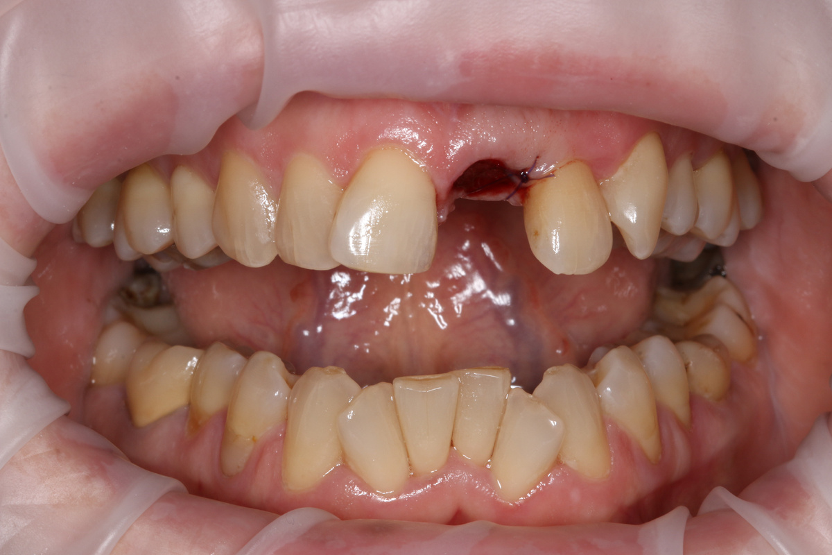
Сейчас все чаще говорим с пациентами про одномоментную имплантацию, если приходится удалять зуб в зоне улыбки. Установку импланта проводим в день удаления, сразу фиксируем временную коронку. Она не соприкасается с нижними зубами, но эстетическую функцию выполняет. Научно доказано, что одномоментное лечение не ухудшает прогнозы. Импланты приживаются с таким же успехом, как и при имплантации через 3-4 месяца после удаления. Ко всему прочему, сокращаются сроки лечения и количество походов в клинику. Но есть особенности: Выход есть – эстетическая каппа. Она изготавливается из прозрачной пластмассы, а на место отсутствующего зуба (или зубов) вклеиваются искусственные. Количество удаленных зубов может быть больше одного: В зону улыбки чаще попадают 10 передних зубов верхней челюсти. Представьте, если мы оставляем пациента хотя бы без одного из этих зубов. Даже не улыбнуться. Как и с коронками, есть особенности: Несмотря на оговорки, свою эстетическую функцию каппа выполняет достойно. В наш

Сейчас все чаще говорим с пациентами про одномоментную имплантацию, если приходится удалять зуб в зоне улыбки. Установку импланта проводим в день удаления, сразу фиксируем временную коронку. Она не соприкасается с нижними зубами, но эстетическую функцию выполняет.

Научно доказано, что одномоментное лечение не ухудшает прогнозы. Импланты приживаются с таким же успехом, как и при имплантации через 3-4 месяца после удаления. Ко всему прочему, сокращаются сроки лечения и количество походов в клинику.

Но есть особенности:

  • коронка выведена из прикуса, не касается соседей снизу
  • коронкой нельзя откусывать и пережевывать пищу
  • коронка может немного ослабнуть, потребуется повторно зафиксировать через 1-2 месяца

Но что делать, если имплант нельзя поставить сразу?

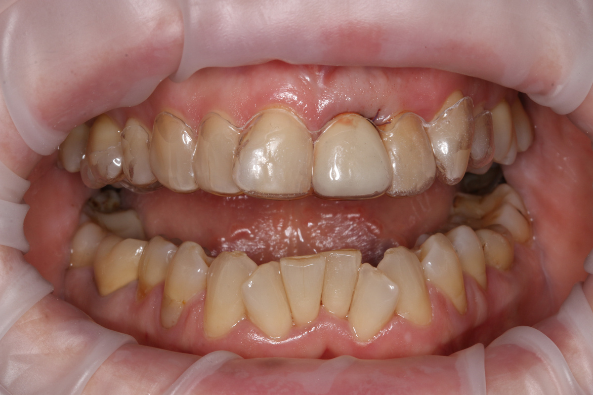
Выход есть – эстетическая каппа. Она изготавливается из прозрачной пластмассы, а на место отсутствующего зуба (или зубов) вклеиваются искусственные.

Количество удаленных зубов может быть больше одного:

В зону улыбки чаще попадают 10 передних зубов верхней челюсти. Представьте, если мы оставляем пациента хотя бы без одного из этих зубов. Даже не улыбнуться.

Как и с коронками, есть особенности:

  • в каппе нельзя жевать, перед приемом пищи ее нужно снимать
  • хотя бы один раз в день (лучше вечером) каппу нужно промывать и чистить
  • каппа может истереться при активном использовании, возможно, придется заменить через 2-3 месяца
-4

Несмотря на оговорки, свою эстетическую функцию каппа выполняет достойно. В наше активное время возможность остаться с зубами, пусть и искусственными, дорогого стоит.

__________________________________

Надеемся, статья была для Вас полезна. Подписывайтесь и ставьте лайки. Также задавайте вопросы в комментариях, мы обязательно ответим.

Если планируете удаление зуба, но хотите продолжить улыбаться, приходите на бесплатную консультацию в стоматологический центр «Перово». Мы поможем решить Вашу проблему.

Телефон для записи: +7 (991) 603-40-31 (можно звонить или писать в WhatsApp или Telegram).

Наш сайт: stom-perovo.ru (там можно оставить заявку на консультацию).

__________________________________

А вот статья о том, когда мы не удаляем, а сохраняем зубы: