Добавить в корзинуПозвонить
Найти в Дзене

Очаг инфекции № 1. Зубы

На приеме я задаю вопрос: «А есть ли у Вас депульпированнные зубы, то есть зубы с удаленным нервом?». Такой вопрос для пациента понятен. Но стоматологи меня поправили, что термина «депульпированные зубы» не существует, а есть термин «несостоятельное эндолечение». Значит будем пользоваться правильным термином. Но суть остается. Посчитаем зубы пациента с несостоятельным эндолечением и взвесим риски. Зубы с несостоятельным эндолечением это один из первых пунктов или оба пункта вместе: 1. Зубы с удаленным нервом. 2. Пролеченные эндодонтически с какими-либо осложнениями. Верная информация о зубах с несостоятельным эндолечением у наших пациентов помогает облегчить диагностический поиск врача. Практически каждый взрослый человек является обладателем таких зубов, накопленных в течение жизни. Иметь у себя во рту зубы с несостоятельным эндолечением, означает: 1. Эти зубы не болят, т.к. нет нерва. Нет сигнала об опасности. Именно это составляет риск для здоровья. Это бомба замедленного действия.

На приеме я задаю вопрос: «А есть ли у Вас депульпированнные зубы, то есть зубы с удаленным нервом?». Такой вопрос для пациента понятен. Но стоматологи меня поправили, что термина «депульпированные зубы» не существует, а есть термин «несостоятельное эндолечение».

Значит будем пользоваться правильным термином. Но суть остается. Посчитаем зубы пациента с несостоятельным эндолечением и взвесим риски.

Зубы с несостоятельным эндолечением это один из первых пунктов или оба пункта вместе:

1. Зубы с удаленным нервом.

2. Пролеченные эндодонтически с какими-либо осложнениями.

Верная информация о зубах с несостоятельным эндолечением у наших пациентов помогает облегчить диагностический поиск врача. Практически каждый взрослый человек является обладателем таких зубов, накопленных в течение жизни.

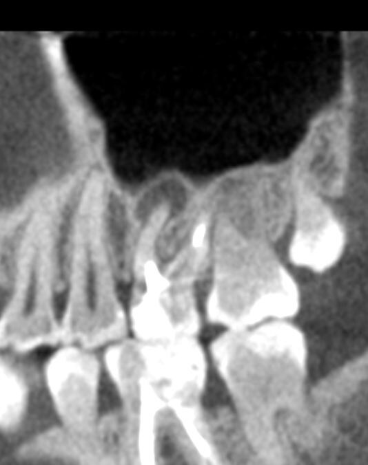
Киста на корне зуба размером 4 на 7 см. Компьютерная томография.
Киста на корне зуба размером 4 на 7 см. Компьютерная томография.

Иметь у себя во рту зубы с несостоятельным эндолечением, означает:

1. Эти зубы не болят, т.к. нет нерва. Нет сигнала об опасности. Именно это составляет риск для здоровья. Это бомба замедленного действия. (подробнее – ниже).

2. Они – частая причина системного, перманентного, низкоуровневого воспаления, истощающего ресурсы человека.

3. Это зона для ограниченного воспаления, где появляются кисты, иногда огромные полости с инфекционным субстратом. (См. изображение и комментарий стоматолога к нему).

4. Когда инфекционный процесс в зубах выходит из-под контроля, поражается головной мозг. Головной мозг и область зубов имеют один сосудистый бассейн – этим все объясняется.

5. Очевиден вывод: кисты и гнойные, осумкованные процессы в области корней зубов, зубах и мягких тканях разрушают организм и мозг. Но делают это очень медленно и подчас не заметно.

6. Организм человека бросает все силы для сдерживания воспаления, организм защищает мозг вопреки всему. На защиту расходуется силы иммунной и эндокринной систем. Мы часто видим у таких людей дефициты базовых гормонов (кортизола, половых стероидов и других важных соединений).

7. Симптоматика воспаления в зубах очень неспецифична и варьирует от «обычной слабости» и «непонятной» головной боли до инсульта.

8. Бывает трудно убедить пациента и даже некоторых коллег, что от состояния зубов (вернее от тех очагов инфекции, которые там живут десятилетиями) зависит их состояние здоровья.

Тактика врача при подозрении на очаг инфекции в области зубов:

1. Направление на компьютерную томографию двух челюстей.

2. Расшифровка исследования.

3. Второе мнение.

Удивительно, но факт, что 30 – 40% пациентов после лечения очага инфекции, больше не нуждаются в помощи невролога. Вылечили ткани зубов и костной ткани челюсти, ушла и проблема в неврологии.

Интересно отметить состояние долгожителей с полными съемными протезами. У них нет проблемных зубов – нет воспаления. Эти люди в возрасте долгожителя глобально здоровее, чем более молодые люди, носящие старые коронки, пломбы и реставрационные конструкции десятилетиями, не меняя их.

Ситуации бывают разные и цель данной информации – привлечь внимание врачей к проблеме, обратить внимание на скрытую часть айсберга. Направить пациента к нужному специалисту стоматологического профиля, который подберет способы лечения.

В наши дни стоматологическая помощь сильно продвинулась в технологии и анестезии и просто творит чудеса. Стоматолог видит через приборы, используя методы современной визуализации (компьютерную томографию).

Задача же пациента – следить за своими зубами, используя современные меды исследования.

Очень хочется «достучатся» до пациента на первом посещении. Но это не всегда возможно. Необходимо глобальная просветительская работа в данном направлении.