Найти в Дзене

Перенёс 12 неудачных имплантаций

История пациента, который за пять лет перенёс 12 неудачных операции по наращиванию костной ткани и установке имплантов.

Данный пациент утратил жевательные зубы и обратился к врачам в родном городе. Ему пересадили костный блок и установили импланты, но они не прижились. Спустя четыре месяца — ещё два импланта, и снова отторжение. Врачи попытались повторно нарастить костную ткань на нижней челюсти, но это не привело к результату.

Всего пациент перенёс 12 неудачных операций и пять лет жизни, но вернулся к тому, с чего начал — атрофия костной ткани, отсутствие жевательных зубов. Ему хотелось опустить руки, проблема казалась слишком сложной.

Он продолжил поиски профессионального доктора, и решился полететь в Москву на консультацию в NKclinic.

-2

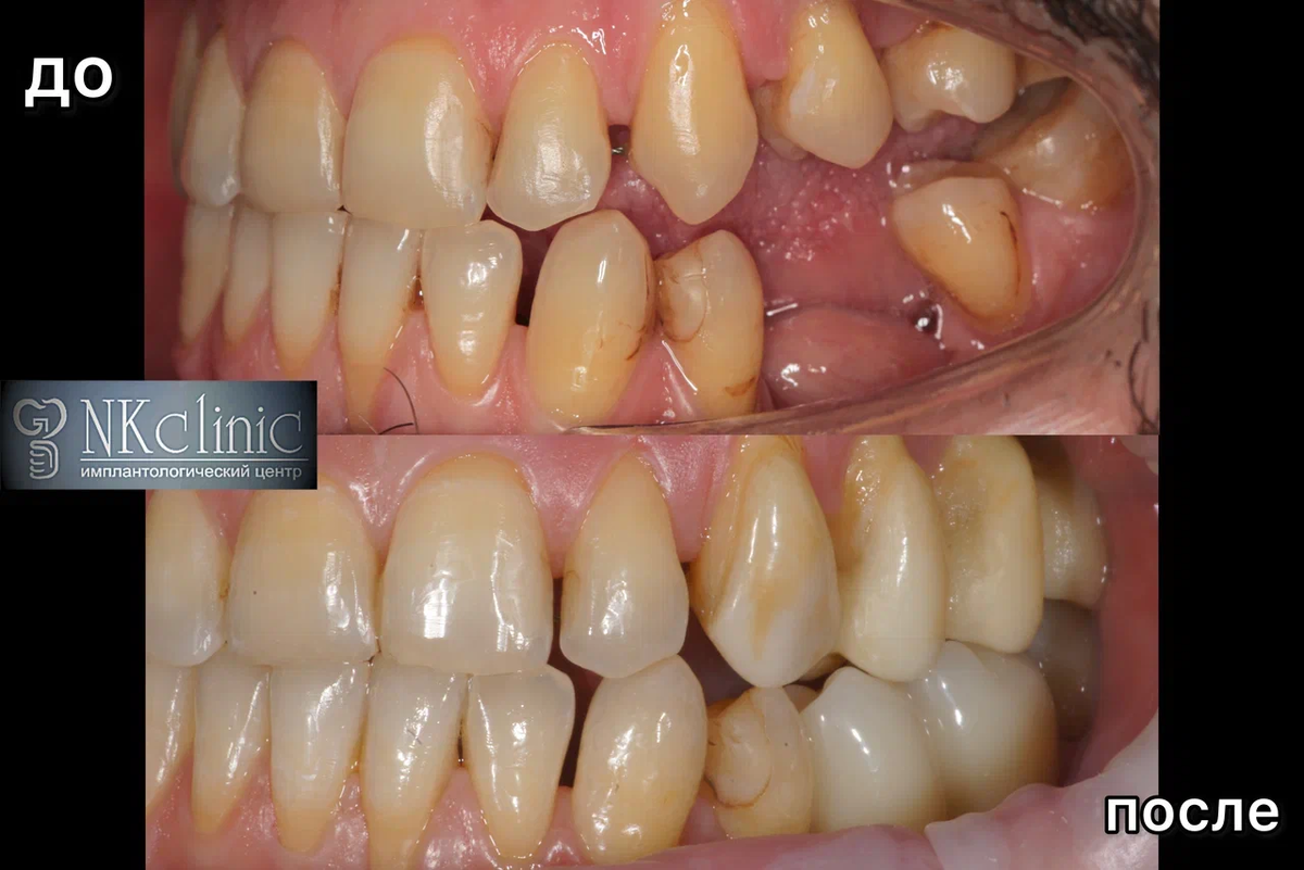
На осмотре челюстно-лицевой хирург Давид Назарян поставил диагноз, стоматолог-ортопед Григорий Кялов назначил план лечения. Уже через неделю доктор Назарян провёл латерализацию нерва, удалил три несостоятельных зуба, нарастил костную ткань, установил шесть имплантов на нижней челюсти. Доктор Кялов установил временные коронки.

Через 20 дней после операции сняли швы, через три месяца провели лоскутную операцию. Спустя полгода после имплантации Григорий Георгиевич установил постоянные коронки. Лечение завершилось успешно.

Пациент рассказал, что после лечения живёт полноценной жизнью, принимает пищу без ограничений, ест орехи и шашлык, от которых отказывался до имплантации.

Посмотрите видеоотзыв пациента о лечении в NKclinic.