Найти в Дзене
Атаческая паника

264 часа без сна: что будет, если не спать 11 дней?

Наш друг Петя снова решил провести эксперимент. Отказ от сна ради науки и, конечно, немного ради смелых историй. Мы будем следить за ним, день за днём, описывая его состояние: что меняется в его теле и мозгу? Попробуем узнать, сколько сможет выдержать наш герой. Кстати, по статистике, люди боятся бессонницы больше, чем высоты. Но это не единственная интересная деталь: сон — вещь жизненно важная, и без него тело и мозг начнут работать с перебоями, словно сломанные часы. Но давайте посмотрим, как именно. Первые сутки без сна проходят относительно спокойно. Петя всё ещё бодр и полон энтузиазма. Однако уже ближе к вечеру его мышцы начинают ощущаться "тяжёлыми", а глаза постоянно хотят закрыться, особенно когда он сидит. Концентрация начинает "плавать" — парень легко отвлекается и уже шутит, что чайник на кухне "шепчет" ему что-то по дороге на плиту. Мозг начинает замечать нехватку отдыха. Замедляется работа лобных долей — а это значит, что логически мыслить и быстро принимать решения стано
Оглавление

Наш друг Петя снова решил провести эксперимент. Отказ от сна ради науки и, конечно, немного ради смелых историй. Мы будем следить за ним, день за днём, описывая его состояние: что меняется в его теле и мозгу? Попробуем узнать, сколько сможет выдержать наш герой.

Кстати, по статистике, люди боятся бессонницы больше, чем высоты. Но это не единственная интересная деталь: сон — вещь жизненно важная, и без него тело и мозг начнут работать с перебоями, словно сломанные часы. Но давайте посмотрим, как именно.

Первые сутки

Первые сутки без сна проходят относительно спокойно. Петя всё ещё бодр и полон энтузиазма. Однако уже ближе к вечеру его мышцы начинают ощущаться "тяжёлыми", а глаза постоянно хотят закрыться, особенно когда он сидит. Концентрация начинает "плавать" — парень легко отвлекается и уже шутит, что чайник на кухне "шепчет" ему что-то по дороге на плиту.

Мозг начинает замечать нехватку отдыха. Замедляется работа лобных долей — а это значит, что логически мыслить и быстро принимать решения становится труднее.

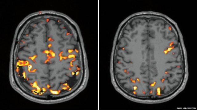
На снимке, который сделан после бессонной ночи, видно, что особенно снижена активность во фронтальной и теменной долях, которые, как известно, отвечают за принятие решений и память.
На снимке, который сделан после бессонной ночи, видно, что особенно снижена активность во фронтальной и теменной долях, которые, как известно, отвечают за принятие решений и память.

Вторые сутки и первые "глюки"

Петя начинает чувствовать себя настоящим зомби. Каждый шаг — как подъем на Эверест. Походка у него уже не столь уверенная, а координация заметно страдает: дважды он чуть не споткнулся на ровном месте. К обеду второго дня он становится раздражённым и вспыльчивым. К тому же, у него появляются первые "микросны" — такие короткие моменты, когда он на секунду засыпает и резко просыпается. Это словно "глюк" в игре, когда экран застывает. Чаще всего такие "выключения" случаются прямо во время разговора, из-за чего Петя то забывает, о чём говорил, то начинает путаться в словах.

Мозг начинает обманывать: иногда он видит тени, которых нет, и слышит несуществующие звуки. В это время нейроны работают с перебоями, пытаясь хоть как-то восстановить энергию.

Интересный факт: человек, лишённый сна более 36 часов, не может различить правду и вымысел — и наш Петя уже на грани.

Третьи сутки и легкая паранойя

Третий день без сна — серьёзное испытание. Петя чувствует себя ужасно: его тело ослаблено, мышцы дрожат, глаза тяжелеют. Все внешние раздражители — свет, звук, движение — кажутся Петру невыносимыми, а его сердце бьётся с сильным перебоем. Галлюцинации становятся пугающими: ему мерещится, что что-то движется за углом или кто-то наблюдает за ним из тени. Петя делает вывод: или он сходит с ума, или ему срочно нужно поспать.

Зоны мозга, отвечающие за эмоции, перегружаются, и контролировать свои чувства становится невозможным. Привет паранойя — навязчивые мысли и лёгкая мания преследования. А вот чувство юмора, кажется, полностью исчезло.

Четвёртые сутки

Четвёртые сутки — это уже опасная зона. Движения Пети становятся настолько неуклюжими, что он с трудом может открыть банку с водой. Иммунная система ослабляется и уровень его глюкозы в крови падает, что делает его ещё более слабым и раздражённым. Галлюцинации становятся неотличимыми от реальности. Петя слышит странные голоса и видит образы, которых на самом деле нет. Его сознание буквально распадается: он перестаёт понимать, где реальность, а где его воображение.

Мозг делает отчаянные попытки заставить его заснуть. Ещё чуть-чуть — и Петя полностью утратит контроль над своим телом. Мозг начинает посылать сигналы тревоги, чтобы остановить себя от полного истощения.

Пятые и шестые сутки на грани нервного срыва

Парень едва передвигается и становится практически неуправляемым. Мышцы истощены, координация нарушена, словно у человека в глубоком алкогольном опьянении. Сердцебиение становится хаотичным, и Петя ощущает приступы слабости. В этот момент иммунитет заметно ослаб, что делает его уязвимым к инфекциям. Появляется интенсивная тревога, галлюцинации становятся зловещими, и он больше не способен отличать их от реальности. Он уверен, что его преследуют, и часто слышит "голоса".

Седьмые и восьмые сутки: полный разрыв с реальностью

Тело Пети находится в состоянии шока. Сердечные ритмы нарушаются, начинаются спонтанные мышечные судороги. Любое движение — невероятное испытание, а координация тела почти полностью утрачена. Мозг и мышцы истощены, будто организм сражается с болезнью. Психика в свою очередь буквально рассыпается. Его окружает мир иллюзий, и отличить вымысел от реальности становится невозможно. Он говорит сам с собой, перестаёт различать знакомые лица и иногда ведёт себя агрессивно. Такие нарушения в психике — результат глубокого воздействия на мозг, который отчаянно пытается защититься от истощения.

Интересный факт: на этом этапе мозг блокирует поступление лишней информации, чтобы замедлить "перегрев" нейронов. Петя ощущает временные "провалы" в памяти.

Девятые и десятые сутки без сна: нервная система близка к полному коллапсу

Энтузиаст уже практически не способен двигаться самостоятельно. Крайняя усталость делает его тело неподвижным, и даже обычный разговор требует огромных усилий. Сердечно-сосудистая система работает на износ, из-за чего Пете грозят скачки давления и проблемы с сердцем. На девятые и десятые сутки он становится абсолютно неадекватным. Его речь бессвязна, и мозг "отключается" на несколько секунд, чтобы попытаться пережить это состояние.

Одиннадцатый день без сна: точка невозврата

Эта точка уже граничит с летальным исходом. Мышцы дрожат, температура тела падает, пульс замедляется. Тело переходит в "энергосберегающий режим", и даже простейшие действия становятся невозможными. Его психика не выдерживает, и Петя полностью теряет осознанное восприятие. Мозг начинает саморазрушаться, появляясь в состоянии, когда уже не способен реагировать на внешние раздражители. Организм на грани отключения.

Эксперименты над сном: кто не спал 11 дней?

Рэнди Гарднер во время эксперимента
Рэнди Гарднер во время эксперимента

Экспериментально установлено, что человек действительно может выдержать максимум 11 суток без сна. Наиболее известный случай — эксперимент Рэнди Гарднера, школьника из США, который в 1964 году продержался без сна 11 дней ради научного интереса. На 11-й день он был в состоянии крайнего изнеможения, едва мог говорить и постоянно забывал, что делает. Наблюдения показали, что такой длительный отказ от сна нарушил все системы его организма, и ещё несколько недель после эксперимента он сталкивался с последствиями этого экстрима.

Факт: Если человек не спит более 11 суток, его жизнь оказывается под угрозой.

Существуют редкие заболевания, из-за которых люди теряют способность засыпать. Например, при фатальной семейной бессоннице, которая передается по наследству, человек может умереть от истощения и отказа органов. В других случаях вторичная бессонница приводит к тому, что пациенты вынуждены жить с хроническим недосыпом, что также серьёзно сказывается на их здоровье.

Пытки лишением сна: мрачная история

Лишение сна применялось для пыток в древности и в XX веке. Эта техника помогает ломать человека без физических травм, так как он становится уязвимым, его рассудок путается, и он легко поддаётся влиянию. В нашем эксперименте Петя доказал, что это действительно разрушает сознание и здоровье.

Желаем Петру хорошего сна, а вам, дорогие читатели, — помнить, как важно высыпаться. До встречи в новых статьях)

Больше статей о приключениях Пети:

-4