Найти в Дзене
Life.Akbars

Реставрация зубов: цена, сроки, методы проведения

Оглавление

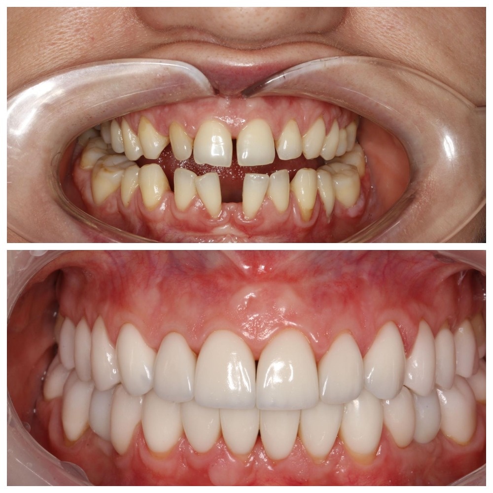
Я долго откладывала решение проблем с зубами, пока не узнала, что к 45 годам могу остаться вообще без них. После этого я прошла лечение у ортодонта, поставила импланты, а реставрация помогла довести зубы до эстетического и функционального совершенства.


От врача я узнала, что многие пациенты боятся проводить реставрацию зубов. Переживают, что это сложная и болезненная процедура, что накладки плохо приживутся, а после окончания лечения зубы будут краситься от продуктов и напитков. На деле же все проходит достаточно быстро и безболезненно, а современные материалы устойчивы к окрашиванию.  В статье расскажу, кому подойдет реставрация зубов, сколько она стоит, и сколько визитов к врачу понадобится. Подготовить материал мне помог врач-стоматолог с более чем 25-летним стажем.

Что такое реставрация зубов

Реставрация зубов — это восстановление поврежденной или утраченной части зуба: например, изменение его цвета, объема, формы. С годами реставрация может понадобиться даже здоровым зубам, например, чтобы восстановить высоту прикуса, форму или объем.

Показания к реставрации:

  • кариес в случае потери до 80% объемов зуба;
  • травмы: сколы, трещины и пр.;
  • изменение цвета зуба: например, потемнение из-за травмы или некачественного лечения корневых каналов;
  • дефекты развития и стираемость, например, из-за неправильного положения или размера зубов;
  • коррекция неправильного положения или размера зубов: в этом случае реставрация может комбинироваться с другими методами лечения, например, брекетами.
Фото зубов до реставрации и ортодонтического лечения: требовалась коррекция брекетами из-за отсутствия премоляров (Источник: фото эксперта)
Фото зубов до реставрации и ортодонтического лечения: требовалась коррекция брекетами из-за отсутствия премоляров (Источник: фото эксперта)

Противопоказаний для реставрации не так много:

  • разрушение зуба более чем на 80%;
  • заболевания десен;
  • неконтролируемый диабет;
  • аллергия на материалы.

Виды реставрации зубов

Реставрация с обточкой, или непрямая реставрация применяется при сильных повреждениях. В этом случае зуб обтачивают для создания формы, на которую фиксируется коронка, накладка или винир. Задача врача и техника — имитировать естественную внутреннюю и наружную поверхность зуба. Порой отличить отреставрированный зуб от «настоящего» можно только под микроскопом.

На первом фото зубы стерты, нет достаточного объема, на втором — результат реставрации с помощью виниров (Источник: фото эксперта)
На первом фото зубы стерты, нет достаточного объема, на втором — результат реставрации с помощью виниров (Источник: фото эксперта)

Накладки на зуб при этом способе изготавливают из различных видов высокопрочной керамики.

Плюсы керамической реставрации:

  • дает близкий к естественному цвет и прозрачность зубов, идеально имитирует природный блеск;
  • не окрашивается от продуктов питания и напитков;
  • при правильном уходе служит 30 лет и более;
  • прочность и устойчивость к истиранию;
  • не вызывает аллергических реакций и не раздражает десну;
  • гладкая поверхность керамики препятствует накоплению зубного налета и бактерий.

Недостатки:

  • высокая цена: от 70 тыс. ₽;
  • сильная обточка зуба;
  • сложность изготовления и установки накладок;
  • при повреждении придется менять винир или коронку, частичный ремонт невозможен.

Реставрация без обточки, или прямая реставрация применяется для восстановления локальных повреждений зубов: сколов, трещин, потертостей режущего края, потери объема или изменения цвета. Иногда прямую реставрацию применяют как альтернативу ортодонтического лечения.

Результат реставрации без выравнивания зубного ряда брекетами (Источник: фото эксперта)
Результат реставрации без выравнивания зубного ряда брекетами (Источник: фото эксперта)

Для такой реставрации используют композитные материалы: смесь органических полимеров (смол) и неорганических наполнителей: стекло, кварц. На зубе эта смесь затвердевает под воздействием специальной лампы.

Преимущества композитных материалов:

  • дешевле керамических: цена начинается от 25 тыс. ₽;
  • для установки нужно минимальное препарирование зуба;
  • простота и скорость установки;
  • небольшие повреждения материала легко отремонтировать.

Недостатки тоже имеются:

  • меньшая долговечность — 15 лет и менее, в зависимости от размера реставрации и нагрузки на зуб;
  • со временем зубы могут потемнеть под воздействием красителей из пищи и напитков;
  • материал более подвержен истиранию, чем керамика, поэтому не рекомендуется к установке на жевательные зубы;
  • нужны регулярный профессиональный уход и полировка;
  • не сравнится с керамикой по эстетическим свойствам.

Сколько стоит реставрация зубов

Керамические накладки. Цена — 70-150 тыс. ₽ за зуб вне зависимости от его расположения. Конечная цена складывается из стоимости материалов, услуг техника и сложности работы. В редких случаях цена за зуб может достигать и 200 тыс. ₽: например, если проводится сложная работа с повышенными требованиями к эстетике.

Композитные материалы. Средняя стоимость — 25-75 тыс. ₽ за зуб в зоне улыбки, жевательные зубы стоят 35-40 тыс. ₽ за единицу. Реставрация передних зубов — от клыка до клыка — всегда дороже задних, поскольку нужно больше работы, чтобы сделать их неотличимыми от «настоящих». Задний ряд стоит дешевле на 10-15%, при его восстановлении главное сохранить жевательную функцию. Эстетике уделяют меньше внимания.

Главными причинами разницы в цене являются:

  • керамические материалы сложнее в изготовлении;
  • керамические реставрации требуют более сложной и длительной обработки техником, стоимость его работы включают в цену;
  • установка виниров занимает больше времени и требует большего мастерства от врача и зубного техника;
  • керамика имеет более длительный гарантийный срок, что также влияет на стоимость.

Для экономии врачи часто предлагают комбинированный метод: задние зубы делают из керамического материала, поскольку он более устойчив к жевательной нагрузке, а передние — из композитного.

Также возможен промежуточный вариант: композитная реставрация с заменой на керамику в течение пяти лет. Его используют, если реставрация необходима как можно скорее, например, зубы сильно стерты. В этом случае у пациента будет время собрать нужную сумму до финального завершения лечения.

Стоит учесть и последующие траты: профессиональная гигиена раз в 4-6 месяцев, полировка зубов с композитной реставрацией, а также профессиональные щетки, зубные пасты, нити для ежедневного домашнего ухода.

Примерные цены:

  • нити для зубов — 300-600 ₽;
  • зубная паста — 990 ₽;
  • зубная щетка — около 2 000 ₽;
  • ирригатор — от 3 500 ₽;
  • профессиональная чистка — 10 000-15 000 ₽;
  • полировка одного зуба с композитной реставрацией — 1 000-2 500 ₽.

Важно!

Выбор способа реставрации зависит от множества факторов: размер и местоположение дефекта, уровень прочности материала, эстетических требований и бюджета пациента. Хороший специалист предложит все возможные варианты реставрации и объяснит их плюсы и минусы, а не будет навязывать один конкретный метод.

Как проходит реставрация зубов

На первом приеме врач проводит визуальный осмотр, опрашивает пациента, чтобы понимать его ожидания, и назначает 3D-томографию — она обязательна для любого стоматологического лечения. Первичная консультация стоит 2 000 — 10 000 ₽.

При проблемах в челюстных суставах, наличии головных болей проводят малый и большой функциональный анализ (МБФА). Цена такого обследования — от 50 до 200 тыс. ₽.  МБФА необходим в работе со сложными случаями, когда пациенту предстоит капитальная реставрация.

Керамическая реставрация проходит следующим образом:

  • анализ компьютерной томографии;
  • составление плана лечения;
  • санация: ревизия твердых тканей зуба, замена старых пломб при необходимости;
  • создание 3D-проекта слепков будущих зубов в лаборатории;
  • изготовление керамических накладок;
  • закрытие обработанного зуба временной конструкцией;
  • примерка и установка накладки или коронки с помощью специального цемента;
  • фиксация винира;
  • коррекция по прикусу и полировка на конечном этапе лечения.
Накладки из керамики на передние зубы, изготовленные в зуботехнической лаборатории (Источник: фото эксперта)
Накладки из керамики на передние зубы, изготовленные в зуботехнической лаборатории (Источник: фото эксперта)

Восстановление одного зуба занимает 1,5-2 часа работы, а группы зубов — половину рабочего дня. На изготовление 10 единиц виниров уходит около двух недель, на поклейку винира на 1 зуб требуется 30-40 минут: за один визит можно сделать до 10 накладок. То есть, процесс займет минимум две недели, а в кресле стоматолога придется проводить от 2 до 5 часов.

Композитная реставрация проходит так:

  • анализ компьютерной томографии;
  • составление плана лечения;
  • санация: ревизия твердых тканей зуба, замена старых пломб при необходимости;
  • если нужно выравнивание высоты прикуса, создается 3D-проект будущих зубов в лаборатории;
  • реставрация, шлифовка, полировка;
  • через 1-3 месяца — осмотр, коррекция по прикусу, окончательная финишная полировка.

На данную методику необходимо закладывать минимум шесть визитов на каждую челюсть. Сначала врач восстанавливает верхнюю челюсть, затем переходит к нижней. Дольше всего восстанавливают передние четыре резца: обычно на это уходит 4-5 часов. С остальными зубами врач работает группами с обеих сторон: клыки, премоляры, моляры. Каждый визит займет около 3,5 часов, а на все восстановление понадобится около трех недель.

Реставрация композитным материалом в выделенном секторе, жевательные зубы выполнены керамикой E-Max (Источник: фото эксперта)
Реставрация композитным материалом в выделенном секторе, жевательные зубы выполнены керамикой E-Max (Источник: фото эксперта)

Наиболее выгодный вариант реставрации — комбинированный, я выбрала именно его. Для реставрации композитом и керамикой мне потребовалось 11 визитов, включая 3 предварительных, это заняло 4-5 недель. Всего комбинированная реставрация обошлась в 1,5 млн ₽, а до нее мне понадобились брекет-система, имплантация двух зубов, наращивание десневой ткани — по затратам вышло около 1 млн ₽.

Я выбрала проверенного специалиста, с которым знакома много лет. Считаю, что правильнее подбирать врача, а не клинику, ведь качество исполнению будет зависеть именно от него. Иногда в менее престижной и дорогой клинике можно получить более высокий результат.

Поскольку лечение вышло дорогим, я начала копить на него за три года: брать кредит не хотела, а клиника, где работал мой доктор, рассрочки не давала. Но если клиника предлагает рассрочку, это удобно: все платежи будут равномерно распределены на срок до полутора лет.

О том, как накопить на крупные цели с помощью метода конвертов, мы писали в статье «Как работает метод конвертов на практике».

Чтобы не ждать, когда накопится нужная сумма, оплачивайте медицинские услуги кредитной картой Ак Барс Банка: 20% трат вернется кешбэком в первый месяц после ее оформления.

Также читайте на эту тему: