Добавить в корзинуПозвонить
Найти в Дзене
Заметки о здоровье

Пародонтит: причины, симптомы и профилактика

Пародонтит — одно из самых распространенных заболеваний десен, которое, по данным Всемирной организации здравоохранения, затрагивает около 20–50% населения. Оно начинается как воспаление десен (гингивит), а при отсутствии лечения прогрессирует и может привести к повреждению костной ткани, потере зубов и другим серьезным последствиям. В этой статье рассмотрим основные причины, симптомы и методы профилактики пародонтита. Основной причиной пародонтита является накопление зубного налета — липкого, богатого бактериями налета на зубах и деснах. Со временем бактерии начинают выделять токсины, которые вызывают воспаление и повреждение тканей. К факторам, повышающим риск развития пародонтита, относятся: На ранних стадиях симптомы пародонтита могут быть едва заметными. Однако по мере прогрессирования заболевания могут возникнуть следующие проявления: Если у вас проявляется один или несколько из этих симптомов, рекомендуется немедленно обратиться к стоматологу для проведения диагностики и начала
Оглавление

Пародонтит — одно из самых распространенных заболеваний десен, которое, по данным Всемирной организации здравоохранения, затрагивает около 20–50% населения. Оно начинается как воспаление десен (гингивит), а при отсутствии лечения прогрессирует и может привести к повреждению костной ткани, потере зубов и другим серьезным последствиям. В этой статье рассмотрим основные причины, симптомы и методы профилактики пародонтита.

Причины пародонтита

Основной причиной пародонтита является накопление зубного налета — липкого, богатого бактериями налета на зубах и деснах. Со временем бактерии начинают выделять токсины, которые вызывают воспаление и повреждение тканей. К факторам, повышающим риск развития пародонтита, относятся:

  1. Неправильная гигиена полости рта. Недостаточная чистка зубов и отсутствие регулярного использования зубной нити приводит к образованию налета и его минерализации, что формирует зубной камень.
  2. Курение и употребление табака. Никотин и токсины из табачных изделий нарушают кровообращение в деснах, замедляя заживление тканей и делая десны более уязвимыми к инфекциям.
  3. Гормональные изменения. Беременность, менопауза, пубертатный период и даже менструальный цикл могут способствовать увеличению чувствительности десен, что увеличивает риск воспаления.
  4. Неконтролируемый диабет. Высокий уровень сахара в крови затрудняет заживление ран, делает организм более восприимчивым к инфекциям, в том числе и в полости рта.
  5. Стресс и ослабление иммунитета. Постоянный стресс ослабляет защитные функции организма и увеличивает риск воспалительных процессов в деснах.

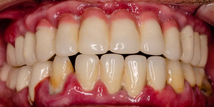
Симптомы пародонтита

На ранних стадиях симптомы пародонтита могут быть едва заметными. Однако по мере прогрессирования заболевания могут возникнуть следующие проявления:

  • Кровоточивость десен. Особенно часто кровоточивость появляется при чистке зубов или использовании зубной нити.
  • Отечность и покраснение десен. Десны выглядят воспаленными и могут быть болезненными при прикосновении.
  • Неприятный запах изо рта. Бактерии, вызывающие воспаление, часто являются причиной неприятного запаха.
  • Опущение десен. При прогрессировании пародонтита десны начинают отходить от зубов, что визуально удлиняет зубы.
  • Шаткость зубов. В запущенных случаях возможно разрушение поддерживающих зубы тканей и даже их потеря.

Если у вас проявляется один или несколько из этих симптомов, рекомендуется немедленно обратиться к стоматологу для проведения диагностики и начала лечения.

Методы лечения пародонтита

Лечение пародонтита зависит от его стадии и может включать следующие методы:

  1. Профессиональная чистка зубов. Удаление налета и зубного камня на ранних стадиях помогает снизить воспаление и остановить развитие заболевания.
  2. Кюретаж и глубокая чистка. На более серьезных стадиях проводятся процедуры по удалению инфицированных тканей под десной.
  3. Антибактериальная терапия. Использование антибиотиков и антисептиков помогает снизить количество бактерий и предотвратить инфекцию.
  4. Хирургическое лечение. В запущенных случаях может потребоваться лоскутная операция, при которой десна откидывается, чтобы обеспечить доступ к инфицированным тканям для их удаления.

Профилактика пародонтита

Основное внимание в профилактике пародонтита уделяется регулярному уходу за полостью рта. Чтобы избежать этого заболевания, рекомендуется соблюдать следующие правила:

  • Чистите зубы два раза в день. Используйте зубную щетку средней жесткости и качественную зубную пасту. Проводите чистку минимум две минуты.
  • Используйте зубную нить. Она помогает удалять налет и остатки пищи в межзубных промежутках, куда зубная щетка не всегда может добраться.
  • Посещайте стоматолога каждые шесть месяцев. Регулярные профилактические осмотры и профессиональная чистка помогут вовремя обнаружить и устранить возможные проблемы.
  • Откажитесь от курения. Никотин ухудшает состояние десен и способствует прогрессированию пародонтита.
  • Сбалансированное питание. Включение в рацион витаминов и минералов, особенно витамина C и кальция, укрепляет десны и поддерживает их здоровье.

Заключение

Пародонтит — это заболевание, которого можно избежать при правильном уходе за полостью рта и регулярных визитах к стоматологу. Своевременное лечение и соблюдение профилактических мер помогут избежать серьезных осложнений и сохранить здоровую улыбку на долгие годы. Если вам понравилась эта статья и вы хотите узнать больше о здоровье и других полезных советах, подписывайтесь на наш блог, чтобы не пропустить новые статьи!

Если вам понравилась эта статья и вы хотите узнать больше о здоровье и других полезных советах, подписывайтесь на наш блог, чтобы не пропустить новые статьи!