Добавить в корзинуПозвонить
Найти в Дзене
Ординарные заметки

Первый месяц работы патологоанатомом

Ну что же я официально работаю врачом уже целый месяц! Пока не буду говорить где, т.к. я до сих пор не привыкла к этому званию. Синдром самозванца, знаете ли... Почти каждый день (ну кроме дня вырезок) собираясь на работу, я ловлю себя на мысли: ну надо же! Меня ждет гора планшеток с кучей разных случаев! Их очень-очень много! У меня никто их не отнимет, я ни с кем не буду бороться за микроскоп и буду вдоволь отвечать сегодня, ну просто весь день напролет! То, чего я так, не побоюсь этого слова, алкала последние года полтора, у меня теперь есть и мне еще и деньги за это платят! Работа мечты! У нас много диагностики, это гастрики (желудки и кишки), простаты, бронхи и легкие, соскобы, молочка и прочая мелочь: геморрои, ЛОР, кожа, мозги. Есть и операционник: простаты, матки, кишки, легкие, почки, матки. Почитайте чем занимается патологоанатом. Дни пролетают мгновенно! Вот только что пришла и сейчас 9-10 утра, и вот уже 7-8 вечера 🤯 Ну как так? Я очень впечатлительный человек, иногда это

Ну что же я официально работаю врачом уже целый месяц! Пока не буду говорить где, т.к. я до сих пор не привыкла к этому званию. Синдром самозванца, знаете ли...

Почти каждый день (ну кроме дня вырезок) собираясь на работу, я ловлю себя на мысли: ну надо же! Меня ждет гора планшеток с кучей разных случаев! Их очень-очень много! У меня никто их не отнимет, я ни с кем не буду бороться за микроскоп и буду вдоволь отвечать сегодня, ну просто весь день напролет! То, чего я так, не побоюсь этого слова, алкала последние года полтора, у меня теперь есть и мне еще и деньги за это платят! Работа мечты!

У нас много диагностики, это гастрики (желудки и кишки), простаты, бронхи и легкие, соскобы, молочка и прочая мелочь: геморрои, ЛОР, кожа, мозги. Есть и операционник: простаты, матки, кишки, легкие, почки, матки. Почитайте чем занимается патологоанатом.

Целый день за микроскопом
Целый день за микроскопом

Дни пролетают мгновенно! Вот только что пришла и сейчас 9-10 утра, и вот уже 7-8 вечера 🤯 Ну как так?

Я очень впечатлительный человек, иногда это хорошо, но порой это сильно изматывает. В первые дни, после того как я за день отвечала 15-30 гастриков (гастриты, колиты, полипы, аденомы и т.д.) они мне снились. Каждую ночь. Я отвечаю днем, а потом также во сне сижу и отвечаю. Немного утомительно. Потом это прошло, но пришла другая напасть…

Позовчера ночью я проснулась в холодном поту от собственного вскрика! Потому что мне приснилось, что я пациенту с гиперплазией простаты (ДГПЖ) не из того шаблона скопировала диагноз и вместо гиперплазии написала в заключении рак! При том что я эту простату утром отвечала на свежую голову! После нее еще где-то 25 случаев ответила и еще 5 просмотрела. Видимо произошел «перетрен» мозга. И он не выдержал. Случаи все смешались, и я проснулась с криком «да что ж я там понаписала-то?!». Потом не могла уснуть. Утром перепроверяла тот случай, все хорошо. Но осадочек остался…

А вы все говорите как легко быть патологоанатомом... мол, никому мы уже не навредим… да чуваку удалят простату если я не тот диагноз поставлю.

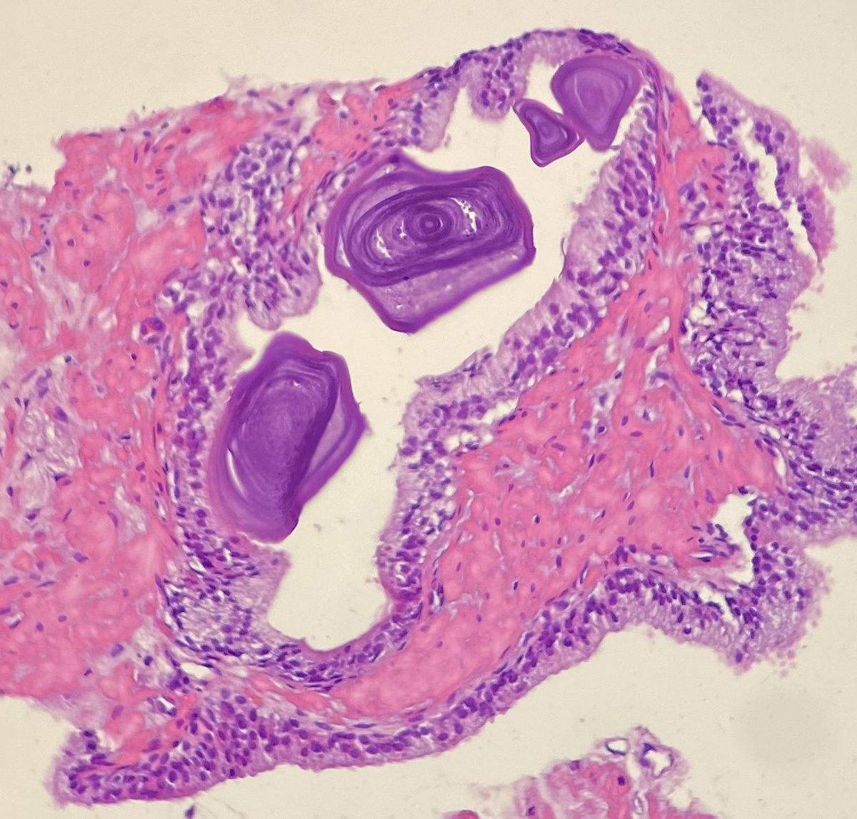
Фрагмент простаты с амилоидными тельцами (как цветочки).
Фрагмент простаты с амилоидными тельцами (как цветочки).

Потом помню, как какой-то гастрит по OLGA считала, а потом хотела результат сверить с другим врачом, а потом не могла вспомнить сверила или нет, и переживала, что я подписала этот гастрит не получив, так сказать, второго мнения. А это ведь всего лишь гастрит, не онкология! А я переживаю. Мне и во время ординатуры говорили и сейчас говорят, мол, да что ты так волнуешься? Если добро, то всем все равно, что написано… А мне кажется, что не все равно: и клиницистам не все равно и пациентам, тем более. И мне вот не все равно…

Вообще я вот уже месяц работаю, а переживаю ну просто из-за каждого случая! Мне страшно что-то пропустить, не заметить, перепутать. Вначале я даже боялась подписывать заключения. Каждый случай ходила перепроверяла по отделению, советовалась. Сейчас уже не так, конечно, но все же..

Апогей страха случился вчера ночью. И надеюсь, что на этом баста!

Все эти мои сны это еще что, это были цветочки!

Вчера, целый день отвечала и все ответив, улеглась спать в 11 (дома, конечно, а не на работе). Улеглась довольная собой. Потому что и ответила много, и меня похвалили, и как будто бы жизнь удалась. А уже через 5 минут я вспомнила, что не ответила одну миому. И... кажется сдала ее так и неотвеченную вместе с отвеченными случаями! Я села в кровати. И судорожно начала перебирать в памяти предшествующие события. А писала ли я вообще это заключение? Миома там странная была… да, я даже хотела ее показать другому врачу. Но не показала... а описание написала хотя бы? А что было после миомы? Ммм… тот аспират с раком. А вдруг я его вписала в миому?! 🤯 Такое вообще могло случиться?! Неееет. А если могло? Вспоминаю сон про простату. И меня снова бросает в холодный пот. Я реально начинаю думать, что вписала одному пациенту диагноз другого, да еще какой… рак! У меня начинается паника. Пишу коллеге, прошу ее утром посмотреть, что там с этой миомой. Она не отвечает. Понимаю, что до утра я точно не доживу. Пишу другому коллеге, спрашиваю есть ли в ПАО (патологоанатомическое отделение) круглосуточный доступ. И оказывается есть! В 23:27 я выехала в отделение. В 01:04 уже была дома.

В общем, все нормально, конечно. Я все проверила, все я правильно написала, правильному пациенту, правильный диагноз. Но паранойя эта меня с ума сведет. Я надеюсь, что это скоро пройдет. Я надеюсь, что я перестану бояться. Перестану бояться ошибиться, все равно рано или поздно это произойдет. Ведь я всего лишь человек. Я надеюсь, что я перестану ТАК сходить с ума, но не перестану переживать за пациентов. Я надеюсь, что я не одна такая и другие молодые и неопытные врачи тоже волнуются о поставленных диагнозах. Я надеюсь, что я не выгорю, потому что работа у меня очень интересная и важная!

Такие дела. Зато спала сегодня как убитая))

Спасибо, что дочитали про будни начинающего патологоанатома, надеюсь было интересно. Если вам понравился материал, и вы хотите больше таких текстов, пожалуйста, поддержите проект Pathologeek.ru. Здесь вы можете перевести любую сумму на его развитие или просто поставьте лайк и поделитесь статьей с друзьями!

Мой сайт и телеграм-канал