Добавить в корзинуПозвонить
Найти в Дзене
MY ORT

Как я вылечила кариес передних зубов

Ко мне врачу-стоматологу терапевту обратился пациент с просьбой вылечить и спасти передние нижние резцы. В этой статье я расскажу и покажу все этапы лечения и итоговый результат. Сразу скажу, все зубы мы сохранили и пациент стал счастливым обладателем здоровой и красивой улыбки. На консультации пациент рассказал, что помимо эстетического дискомфорта во время общения и улыбки, он ощущал дискомфорт при приеме пищи и питья (беспокоила реакция на горячее/холодное, на сладкое, а также забивалась еда). Пациент плохо следил за гигиеной зубов, поэтому у него образовались такие большие кариозные полости. После осмотра мы провели ряд диагностических исследований: На основе полученных данных я составила пациенту индивидуальный план лечения. И так как были повреждены несколько зубов, мы договорились лечение разделить лечение на несколько визитов, что позволило обеспечить качественное восстановление каждой единицы. Лечение началось с местной анестезии и изоляции пораженных зубов с помощью кофф
Оглавление

Ко мне врачу-стоматологу терапевту обратился пациент с просьбой вылечить и спасти передние нижние резцы.

В этой статье я расскажу и покажу все этапы лечения и итоговый результат. Сразу скажу, все зубы мы сохранили и пациент стал счастливым обладателем здоровой и красивой улыбки.

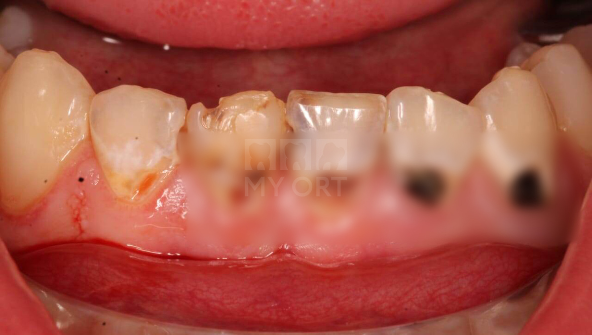
Ситуация ДО
Ситуация ДО

Первичная консультация и диагностика

На консультации пациент рассказал, что помимо эстетического дискомфорта во время общения и улыбки, он ощущал дискомфорт при приеме пищи и питья (беспокоила реакция на горячее/холодное, на сладкое, а также забивалась еда).

Пациент плохо следил за гигиеной зубов, поэтому у него образовались такие большие кариозные полости.

После осмотра мы провели ряд диагностических исследований:

  • Компьютерная томография (КТ) — для точной оценки состояния корней, костной ткани и окружающих тканей.
  • Диагностику КТ с помощью искусственного интеллекта, которая даёт независимую оценку состояния каждого зуба.
  • Фотопротокол — для документирования текущего состояния ротовой полости. Это помогает не только контролировать ход лечения, но и облегчает коммуникацию с пациентом, наглядно демонстрируя текущую ситуацию результаты лечения.

Диагностика КТ на основе искусственного интеллекта
Диагностика КТ на основе искусственного интеллекта

План лечения

На основе полученных данных я составила пациенту индивидуальный план лечения. И так как были повреждены несколько зубов, мы договорились лечение разделить лечение на несколько визитов, что позволило обеспечить качественное восстановление каждой единицы.

Этапы лечения

1. Подготовка к процедуре

Лечение началось с местной анестезии и изоляции пораженных зубов с помощью коффердама. Это минимизирует риск попадания слюны и обеспечивает лучшее сцепление материалов.

2. Удаление поврежденных тканей

Затем я приступила к препарированию кариозных полостей на каждом из пораженных зубов.

Препарированные зубы
Препарированные зубы

Важно отметить, кариесы были очень глубокие и были близки к пульпиту (удалению нерва), на мне удалось сохранить жизнеспособность этих зубов, а один из зубов уже был мертвый, но мы восстановили его пломбой.

Депульпированный зуб
Депульпированный зуб

Удаление всех пораженных тканей было выполнено аккуратно, под дентальным микроскопом, чтобы сохранить здоровые структуры зуба.

Лечение зубов под микроскопом
Лечение зубов под микроскопом

3. Восстановление зубов

После тщательной подготовки полостей, каждый зуб был восстановлен с использованием современных композитных материалов. Эти материалы обладают высокой прочностью, устойчивы к стиранию и окрашиванию продуктами и напитками, и максимально приближены к натуральному цвету эмали, что важно для эстетики нижних зубов, заметных при улыбке и разговоре. Композит наносился послойно, с последующим засвечиванием ультрафиолетовой лампой для прочного соединения слоев.

Итоговый результат восстановления кариозных зубов
Итоговый результат восстановления кариозных зубов

Рекомендации по уходу после восстановления

По окончании лечения пациенту были выданы рекомендации по уходу за реставрациями зубов, т.к. такие большие пломбы требуют очень хорошей гигиены, поскольку там может скапливаться налет, что приведет к новому кариесу. Основные рекомендации:

  1. Правильная гигиена полости рта: чистка зубов дважды в день с использованием мягкой щетки, например CURAPROX и нити для межзубных промежутков, либо межзубных ершиков.
  2. Избегание чрезмерной нагрузки на зубы: особенно это касается твердых продуктов и жевательной резинки.
  3. Регулярные осмотры у стоматолога: регулярный осмотр у стоматолога (каждые 6 месяцев) позволят пациенту поддерживать здоровье полости рта и не упустить развитие кариеса, чтобы предотвратить повторные ситуации.

Автор: Посудневская Елизавета Владиславовна
Врач-стоматолог, терапевт клиник MY ORT в Санкт-Петербурге.

-7

Если у вас появятся вопросы по лечению, можете написать их в комментариях.