Найти в Дзене

Человеческие сердца помогли в создании новаторской диагностики с ИИ для собак

Исследователи разработали алгоритм машинного обучения для точного обнаружения шумов в сердце у собак, которые служат симптомом сердечных заболеваний, распространенных среди мелких пород, взрослых и пожилых собак. Исследовательская группа под руководством экспертов Кембриджского университета адаптировала алгоритм, изначально разработанный для людей, и обнаружила, что он может автоматически обнаруживать и классифицировать шумы в сердце у собак на основе аудиозаписей с цифровых стетоскопов. В ходе испытаний алгоритм обнаруживал шумы в сердце с чувствительностью 90%, что сопоставимо с точностью экспертов-кардиологов. Шумы в сердце являются ключевым показателем заболевания митрального клапана, наиболее распространенного заболевания сердца у взрослых собак. Примерно у одной из 30 собак, осмотренных ветеринаром, есть шумы в сердце, хотя распространенность выше у собак мелких пород и пожилых собак. Снимки сканирования сердца собаки с заболеванием митрального клапана, показывающие толстый и про
   Человеческие сердца помогли в создании новаторской диагностики с ИИ для собак
Человеческие сердца помогли в создании новаторской диагностики с ИИ для собак

Исследователи разработали алгоритм машинного обучения для точного обнаружения шумов в сердце у собак, которые служат симптомом сердечных заболеваний, распространенных среди мелких пород, взрослых и пожилых собак.

Исследовательская группа под руководством экспертов Кембриджского университета адаптировала алгоритм, изначально разработанный для людей, и обнаружила, что он может автоматически обнаруживать и классифицировать шумы в сердце у собак на основе аудиозаписей с цифровых стетоскопов. В ходе испытаний алгоритм обнаруживал шумы в сердце с чувствительностью 90%, что сопоставимо с точностью экспертов-кардиологов.

Шумы в сердце являются ключевым показателем заболевания митрального клапана, наиболее распространенного заболевания сердца у взрослых собак. Примерно у одной из 30 собак, осмотренных ветеринаром, есть шумы в сердце, хотя распространенность выше у собак мелких пород и пожилых собак.

    Человеческие сердца помогли в создании новаторской диагностики с ИИ для собак
Человеческие сердца помогли в создании новаторской диагностики с ИИ для собак

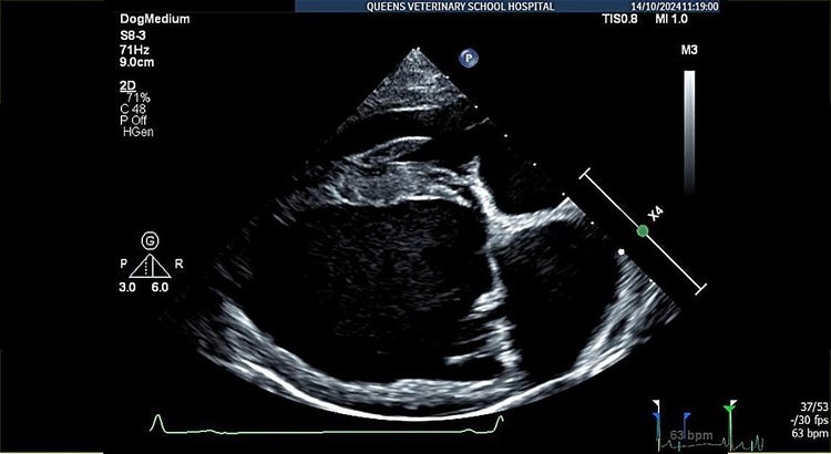
Снимки сканирования сердца собаки с заболеванием митрального клапана, показывающие толстый и протекающий клапан. Автор фото: Хосе Ново Матос.

Поскольку заболевание митрального клапана и другие сердечные заболевания так распространены у собак, раннее выявление имеет решающее значение, поскольку своевременное лечение может продлить их жизнь.

Технология, разработанная кембриджской командой, может предложить доступный и эффективный инструмент скрининга для ветеринаров первичной медицинской помощи и улучшить качество жизни четвероногих друзей. Результаты представлены в журнале Journal of Veterinary Internal Medicine.

«Болезни сердца у людей - огромная проблема для здоровья, но у собак это осложняется в контексте диагностики, - рассказывает первый автор доктор Эндрю Макдональд из инженерного факультета Кембриджа. - У большинства мелких пород собак в старости будут сердечные заболевания , но, очевидно, собаки не могут общаться так же, как люди, поэтому ветеринары первичной помощи должны обнаружить сердечные заболевания на ранней стадии, чтобы их можно было вылечить».

Профессор Анураг Агарвал, возглавлявший исследование, является специалистом по акустике и биоинженерии. «Насколько нам известно, не существует баз данных звуков сердца у собак, поэтому мы начали с базы данных звуков сердца у людей. Сердца млекопитающих довольно похожи, и когда что-то идет не так, они, как правило, выходят из строя схожим образом. Мы начали с базы данных звуков сердца примерно 1000 пациентов-людей и разработали алгоритм машинного обучения, чтобы воспроизвести, был ли обнаружен шум в сердце кардиологом. Затем адаптировали алгоритм, чтобы его можно было использовать со звуками сердца у собак».

Исследователи собрали данные почти 800 собак, которые проходили плановое обследование сердца в четырех ветеринарных центрах в Великобритании. Все собаки прошли полное физическое обследование и сканирование сердца (эхокардиограмму) у кардиолога для оценки шумов в сердце и выявления заболеваний сердца, а звуки сердца были записаны с помощью электронного стетоскопа. По порядку величины это самый большой набор данных звуков сердца собак, когда-либо созданный.

«Заболевание митрального клапана в основном поражает мелких собак, но для проверки и улучшения нашего алгоритма мы хотели получить данные от собак всех форм, размеров и возрастов, - говорит соавтор профессор Хосе Ново Матос из отделения ветеринарной медицины Кембриджа, специалист по кардиологии мелких животных. - Чем больше данных у нас будет для его обучения, тем полезнее будет наш алгоритм как для ветеринаров, так и для владельцев собак».

Ученые доработали алгоритм таким образом, чтобы он мог обнаруживать и классифицировать шумы в сердце на основе аудиозаписей, а также различать шумы, связанные с легким заболеванием, и шумы, отражающие запущенную форму заболевания сердца, требующую дальнейшего лечения.

«Оценка уровня шума в сердце и определение того, нуждается ли заболевание сердца в лечении, требует большого опыта, направления к ветеринарному кардиологу и дорогостоящих специализированных сканирований сердца, - говорит Ново Матос. - Мы хотим предоставить врачам общей практики возможность выявлять заболевания сердца и оценивать их тяжесть, чтобы помочь владельцам принимать наилучшие решения для своих собак».

Анализ работы алгоритма показал, что он согласуется с оценкой кардиолога в более чем половине случаев, а в 90% случаев он находится в пределах одной градации оценки кардиолога. Исследователи говорят, что это многообещающий результат, поскольку обычно наблюдается значительная вариабельность в том, как разные ветеринары оценивают сердечные шумы.

«Степень сердечного шума - полезный дифференциатор для определения следующих шагов и методов лечения, и мы автоматизировали этот процесс, - сказал Макдональд. - Для ветеринаров и медсестер без особых навыков владения стетоскопом, и даже для тех, кто невероятно искусен в обращении со стетоскопом, мы считаем, что этот алгоритм может стать очень ценным инструментом».

    Человеческие сердца помогли в создании новаторской диагностики с ИИ для собак
Человеческие сердца помогли в создании новаторской диагностики с ИИ для собак

Снимки сканирования сердца собаки с заболеванием митрального клапана, показывающие толстый и протекающий клапан. Автор фото: Хосе Ново Матос.

У людей с болезнью митрального клапана единственным лечением является операция, но для собак доступны эффективные лекарства. «Знать, когда давать лекарства, очень важно, чтобы обеспечить собакам наилучшее качество жизни как можно дольше, - сказал Агарвал. - Мы хотим предоставить ветеринарам полномочия принимать эти решения».

«Многие говорят об ИИ как об угрозе рабочим местам, но я вижу в нем инструмент, который сделает меня лучшим кардиологом. Мы не можем проводить сканирование сердца каждой собаке в этой стране - у нас просто нет достаточно времени или специалистов, чтобы проверять каждую собаку с шумами. Но такие инструменты могли бы помочь ветеринарам и владельцам, так что мы могли бы быстро определить тех собак, которые больше всего нуждаются в лечении», заключил Ново Матос.

Источник: University of Cambridge. На заглавном фото - Хаксли, здоровый доброволец породы гаванская болонка, проходит медицинский осмотр в Королевской ветеринарной школе в Кембридже. Автор фото: Жаклин Гарже.

Оригинал статьи на AgroXXI.ru

Интересна тема? Подпишитесь на наши новости в ДЗЕН | Канал в Telegram | Группа Вконтакте | Дзен.новости.