Добавить в корзинуПозвонить
Найти в Дзене

Ортодонтическая подготовка и полное протезирование зубов керамикой

Отсутствие зубов, глубокий прикус, стертые зубы, сколотые края передних зубов, скученность нижних зубов, а в добавок еще и сломавшийся мостовидный протез - все это привело 40-летнюю пациентку к стоматологу-ортопеду. Пациентка хотела нормально есть, общаться и красиво улыбаться. Проведя консультацию и изучив панорамный снимок зубов стоматолог-ортопед А.С. Иваньков предложил комплексно подойти к лечению - сначала пролечить проблемные зубы (перелечить каналы с микроскопом, вылечить кариес), удалить зубы мудрости, исправить прикус капами, установить импланты и на подготовленных зубах выполнить протезирование всех зубов керамическими коронками. Такое лечение даст долговечный результат. После консультаций у всех специалистов, которые примут участие в лечении был составлен комплексный план. Подробно все этапы данной работы рассмотрена на сайте. Реализация комплексного плана стоматологического лечения потребовала 3,5 года и 3 млн 800 тыс. рублей (по ценам 2021 года на момент подписания договор
Оглавление

Отсутствие зубов, глубокий прикус, стертые зубы, сколотые края передних зубов, скученность нижних зубов, а в добавок еще и сломавшийся мостовидный протез - все это привело 40-летнюю пациентку к стоматологу-ортопеду. Пациентка хотела нормально есть, общаться и красиво улыбаться.

вид зубов до лечения, мостовидный протез на верхней челюсти сломался
вид зубов до лечения, мостовидный протез на верхней челюсти сломался

Проведя консультацию и изучив панорамный снимок зубов стоматолог-ортопед А.С. Иваньков предложил комплексно подойти к лечению - сначала пролечить проблемные зубы (перелечить каналы с микроскопом, вылечить кариес), удалить зубы мудрости, исправить прикус капами, установить импланты и на подготовленных зубах выполнить протезирование всех зубов керамическими коронками. Такое лечение даст долговечный результат.

После консультаций у всех специалистов, которые примут участие в лечении был составлен комплексный план.

Комплексный план лечения

  1. Гигиеническая чистка, подготовка полости рта к комплексному лечению.
  2. Лечение кариеса в трех зубах, перелечивание каналов четырех зубов под микроскопом.
  3. Удаление трех зубов мудрости по ортодонтическим показаниям до начала ортодонтического лечения.
  4. Ортодонтическое лечение на капах 3Д смайл с нейромышечной подготовкой.
  5. Остеопатическая коррекция во время ортодонтического лечения.
  6. Первый хирургический этап – синус-лифтинг и костная пластика на верхней челюсти.
  7. Второй хирургический этап (через полгода после первого) – имплантация. Установка 4 имплантов Astra Tech и через 5 месяцев установка формирователей десны.
  8. Ортопедический этап: сканирование, изготовление и установка временных коронок для оценки удобства прикуса (1 месяц), повторное сканирование, изготовление и установка постоянных коронок из диоксида циркония на все зубы и импланты.
панорамный снимок зубов после удаления зубов мудрости и перед началом комплексного лечения
панорамный снимок зубов после удаления зубов мудрости и перед началом комплексного лечения

Подробно все этапы данной работы рассмотрена на сайте.

Результат лечения

Реализация комплексного плана стоматологического лечения потребовала 3,5 года и 3 млн 800 тыс. рублей (по ценам 2021 года на момент подписания договора).

Фотографии до и после лечения показывают как сильно все изменилось.

до и после комплексного лечения в Диал-Дент
до и после комплексного лечения в Диал-Дент
верхние зубы до и после комплексного лечения
верхние зубы до и после комплексного лечения
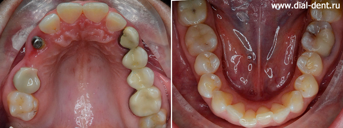
нижние зубы до и после комплексного лечения
нижние зубы до и после комплексного лечения
вид справа до и после комплексного лечения
вид справа до и после комплексного лечения
вид слева до и после комплексного лечения
вид слева до и после комплексного лечения
улыбка до и после комплексного лечения
улыбка до и после комплексного лечения

В работе приняли участие стоматолог-ортопед, ортодонт, остеопат, нейромышечный стоматолог, стоматолог-эндодонтист, хирург-имплантолог, гигиенист стоматологический, зубной техник, ассистенты стоматологов.

результат комплексного лечения очень понравился пациентке
результат комплексного лечения очень понравился пациентке

Пациентка очень довольна согласованностью всех этапов и слаженной работой специалистов Семейного стоматологического центра "Диал-Дент".

Хотите начать преображение своей улыбки? Записывайтесь на консультацию по телефону 8-499-110-18-04!