Добавить в корзинуПозвонить
Найти в Дзене

История пациента: брекеты с удалением зубов

У нашей сегодняшней героини, Олеси, — случай редкий. Поступила к нам из сторонней клиники, на этапе ортодонтического лечения. Олеся носила брекеты уже полтора года — но позитивных изменений практически не было. Поэтому решила получить второе мнение и, по совету знакомых, обратилась к нам. На момент обращения Олеся уже полтора года проходила ортодонтическое лечение в сторонней клинике. В последние полгода лечения девушка не замечала позитивных изменений. Обратиться за вторым мнением Олесе посоветовали знакомые, которые успешно у нас лечатся. Девушка пришла на прием, — и вот, что мы увидели👇 Основная сложность этого случая заключается в скученности зубов: для всех зубов просто не хватает места. Из-за этого и возникли проблемы с лечением. В частности, из-за большого объема зубов на верхней челюсти даже не смог выпрямиться прогиб дуги. Левая сторона челюсти не опустилась в области клыка и резца. Внизу нижние резцы не включены в дугу — если бы их подвязали к дуге, они бы очень сильно вышли
Оглавление

У нашей сегодняшней героини, Олеси, — случай редкий. Поступила к нам из сторонней клиники, на этапе ортодонтического лечения. Олеся носила брекеты уже полтора года — но позитивных изменений практически не было. Поэтому решила получить второе мнение и, по совету знакомых, обратилась к нам.

Содержание

  • Жалобы
  • Клиническая картина
  • Историческая справка: кто придумал лечение с удалением премоляров?
  • Лечение
  • Лечащие врачи

⛔️ Жалобы

На момент обращения Олеся уже полтора года проходила ортодонтическое лечение в сторонней клинике. В последние полгода лечения девушка не замечала позитивных изменений. Обратиться за вторым мнением Олесе посоветовали знакомые, которые успешно у нас лечатся.

Клиническая картина

Девушка пришла на прием, — и вот, что мы увидели👇

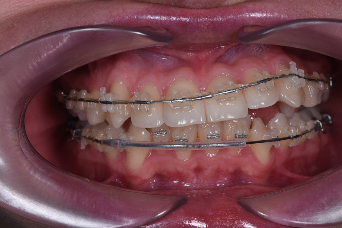
При обращении к нам зубы пациентки выглядели так
При обращении к нам зубы пациентки выглядели так

Основная сложность этого случая заключается в скученности зубов: для всех зубов просто не хватает места. Из-за этого и возникли проблемы с лечением. В частности, из-за большого объема зубов на верхней челюсти даже не смог выпрямиться прогиб дуги. Левая сторона челюсти не опустилась в области клыка и резца.

Прогиб дуги брекетов спустя полтора года лечения
Прогиб дуги брекетов спустя полтора года лечения

Внизу нижние резцы не включены в дугу — если бы их подвязали к дуге, они бы очень сильно вышли вперед.

Верхние и нижние передние зубы пациентки очень сильно выступают вперед. Такая аномалия прикуса называется бимаксиллярной протрузией и характеризуется изменением положения резцов на обоих челюстных рядах одновременно👇

На снимке видно, как сильно передние зубы пациентки выступают вперед
На снимке видно, как сильно передние зубы пациентки выступают вперед

Проанализировали положение зубов пациентки относительно нормального. Угол наклона верхних передних зубов (между верхней горизонтальной линией к плоскости верхнего резца) в норме составляет 102,5 градуса с девиацией 5,5 градусов (то есть, можно допустить угол наклона от 97 до 108 градусов). На момент обращения к нам угол наклона верхних зубов у Олеси составлял 129 градусов. То есть, почти на 30 градусов больше нормы. Угол наклона нижних зубов в норме составляет 95 градусов, у пациентки на момент обращения к нам этот угол составлял 113 градусов — и это при том, что резцы не были подключены к дуге. Если подключить резцы, этот показатель увеличится еще сильнее.

-4

В боковой проекции наклон верхних зубов очень заметен👇

Боковая проекция, вид справа
Боковая проекция, вид справа

Слева боковые зубы у пациентки даже не смыкались, поскольку объем зубов очень большой, и костное основание не позволяет разместить их правильно👇

Боковая проекция слева
Боковая проекция слева

Посмотрим на нижние зубы: клыки не подключены к дуге и остаются развернутыми даже спустя полтора года ортодонтического лечения👇

Нижняя челюсть
Нижняя челюсть

📝 Историческая справка: кто придумал лечение с удалением премоляров?

Начнем с того, что основоположником современных брекет-систем считается американский врач Эдвард Хартли Энгл (Edward Hartley Angle). В 1886 году он предложил аппарат, напоминающий современную конструкцию брекетов. Энгл считал, что зубы ради исправления прикуса удалять нельзя. Он полагал, что, если человеку дано определенное количество зубов, то их нужно просто поставить ровно, и прикус будет гармоничным.

После смерти Энгла один из его лучших учеников, Чарльз Твид, обнаружил, что, если костный базис маленький, даже при ровной постановке зубов впоследствии возникают рецидивы: зубы стремятся вернуться обратно, к разворотам и скученности. Твид разработал технику с удалением премоляров и перелечил всех пациентов Энгла с рецидивами.

Лечение

Итак, мы приняли решение применить в данном случае технику Твида с удалением премолярных зубов.

Начало лечения

Сняли пациентке ранее установленные брекеты (за исключением брекетов на передних зубах, из эстетических соображений) и после удаления премоляров (в данном случае были удалены четвертые зубы) установили новые, металлические. Ранее у Олеси были поставлены сапфировые брекеты. Почему необходимо было поставить металлические? Потому что перемещать зубы по дуге на большие расстояния на керамике гораздо сложнее, чем на металле. На металле скольжение проще, занимает меньше времени и требует меньше усилий.

Переустановили боковые группы зубов. Наверху, чтобы не потерять опору, то есть, чтобы боковая группа зубов не вышла вперед, мы установили микроимпланты (мини-винты). На нижней челюсти в установке мини-винтов нет необходимости: нижние зубы необходимо было немного сдвинуть вперед.

Начало лечения, правая сторона
Начало лечения, правая сторона

С левой стороны поступили аналогично. Серая резиночка, прикрепленная к микроимпланту, начинает перемещать клыки назад.

Начало лечения, левая сторона
Начало лечения, левая сторона

И вот как выглядит верхняя челюсть без четвертых зубов👇

Верхняя челюсть на момент начала лечения
Верхняя челюсть на момент начала лечения

А вот нижняя челюсть👇

Нижняя челюсть на момент начала лечения
Нижняя челюсть на момент начала лечения

Такая техника лечения применяется достаточно редко: например, в нашей практике это первый случай за пять лет. Конечно, никому не хочется удалять здоровые зубы, даже ради исправления прикуса. Но в данном случае лечение без удаления уже было испробовано и не принесло результата. Показатели наклона зубов у Олеси зашкаливали. Чтобы скомпенсировать плюс 30 градусов от нормы, нужно очень много свободного пространства, — поэтому мы решили пойти этим путем.

Через 8 месяцев

Давайте посмотрим на промежуточные результаты ортодонтического лечения Олеси — через 8 месяцев после начала👇

Через 8 месяцев лечения
Через 8 месяцев лечения

Мы видим, что все нижние зубы подключены к дуге. Дуга с левой стороны горизонтально правильная, без прогиба👇

Боковая проекция справа
Боковая проекция справа
Боковая проекция слева
Боковая проекция слева

Видно, что пространство с правой стороны уменьшилось на две трети, с левой — наполовину. Пространство закрывается ассиметрично, поскольку зубы быстрее сдвигаются на той стороне, на которой пациент жует чаще, — в данном случае, справа.

Верхняя челюсть: зубы постепенно сдвигаются
Верхняя челюсть: зубы постепенно сдвигаются

На нижней челюсти оба пространства от удаленных зубов практически закрылись, поскольку мы развернули клыки, которые находились в неправильном положении.

Нижняя челюсть: пространство от удаленных зубов практически не заметно, клыки теперь в правильном положении
Нижняя челюсть: пространство от удаленных зубов практически не заметно, клыки теперь в правильном положении

Спустя год и 5 месяцев

Следующий рубеж — год и 5 месяцев с начала лечения.

Спустя 17 месяцев после начала лечения
Спустя 17 месяцев после начала лечения

Мы сохранили правильное смыкание зубов — по первому классу: вершина мезиально-щёчного бугра верхнего первого постоянного моляра располагается в щёчной фиссуре нижнего первого постоянного моляра. Такое смыкание обеспечивает нормальный скелетный и мягкотканный профиль лица.

Боковая проекция справа
Боковая проекция справа
Боковая проекция слева
Боковая проекция слева

Пространства от удаленных зубов полностью закрыты.

Верхняя челюсть: пустых пространств от удаленных зубов не осталось
Верхняя челюсть: пустых пространств от удаленных зубов не осталось
Нижняя челюсть: аналогично, пустых пространств не осталось
Нижняя челюсть: аналогично, пустых пространств не осталось

Завершение лечения — спустя год и 7 месяцев

Смотрим на итоговый результат!

Зубы не выдаются вперед, нет никаких деформаций
Зубы не выдаются вперед, нет никаких деформаций
Боковая проекция справа
Боковая проекция справа
Боковая проекция слева
Боковая проекция слева

Установили несъемные ретейнеры на верхнюю и нижнюю челюсти👇

Нижняя челюсть
Нижняя челюсть
Верхняя челюсть
Верхняя челюсть

Лечащие врачи

  • Ли Игорь Олегович. Врач стоматолог-ортодонт с научными степенями D.D.S., M.D.S. Планирование ортодонтического лечения. Постановка брекетов. Контроль за ходом лечения.

🏥 Клиника реконструктивной стоматологии

Задать вопрос ✍️ WhatsApp

Позвонить 📞 +7 (495) 989-57-49

Мы рядом 🏥 Москва, Ленинский проспект, 105к1

📚 Читайте также

👀 Смотрите также