Найти в Дзене
Стоматология Перово

Почему нужно ходить к стоматологу раз в полгода

Посещать стоматолога необходимо хотя бы два раза в год. Такую рекомендацию слышали многие, как от знакомых, так и от врачей. А вот почему так нужно делать чаще забывается. Сегодня напомним. Гигиена полости рта – фундамент для любого лечения в стоматологии (имплантации, протезирования, выравнивания зубов). Даже самые старательные пациенты не прочищают труднодоступные участки или плотные контакты между зубами. С этим и помогает раз в полгода гигиенист. Заметьте: иногда твердые зубные отложения (камни) образуются уже за пару-тройку месяцев. В таких случаях, для предотвращения воспаления десен и расшатывания зубов, гигиенисты проводят чистку 3-4 раза в год. Кариес за один день не возникает. На этот процесс уходят недели, порой месяцы. Но если кариес уже есть, то небольшая кариозная полость достаточно быстро увеличивается, так как в ней постоянно застревает пища. Профосмотр у терапевта помогает «поймать» кариес до того, как он доставит серьезные проблемы (ночные боли или отек). Зубы с восп
Оглавление

Посещать стоматолога необходимо хотя бы два раза в год. Такую рекомендацию слышали многие, как от знакомых, так и от врачей. А вот почему так нужно делать чаще забывается. Сегодня напомним.

Почему нельзя забывать про гигиениста

Гигиена полости рта – фундамент для любого лечения в стоматологии (имплантации, протезирования, выравнивания зубов). Даже самые старательные пациенты не прочищают труднодоступные участки или плотные контакты между зубами. С этим и помогает раз в полгода гигиенист.

Заметьте: иногда твердые зубные отложения (камни) образуются уже за пару-тройку месяцев. В таких случаях, для предотвращения воспаления десен и расшатывания зубов, гигиенисты проводят чистку 3-4 раза в год.

Почему нельзя забывать про терапевта

Кариес за один день не возникает. На этот процесс уходят недели, порой месяцы. Но если кариес уже есть, то небольшая кариозная полость достаточно быстро увеличивается, так как в ней постоянно застревает пища. Профосмотр у терапевта помогает «поймать» кариес до того, как он доставит серьезные проблемы (ночные боли или отек).

Почему нельзя забывать про хирурга

Зубы с воспалениями со временем разрушаются все сильнее. Чем дольше отсрочка, тем сложнее удаление и тяжелее процесс восстановления. Если пациент хочет заменить утраченный зуб имплантом, то врачу приходится наращивать кость.

Почему нельзя забывать про ортопеда

Изготовленные протезы, фиксированные коронки требуют регулярного наблюдения. Например, съемные протезы перестают плотно сидеть из-за усадки десны и кости, а коронки при неудачном накусывании чего-то очень твердого могут сколоться или расшататься. С такими ситуациями не стоит мириться. А для контроля, для уверенности в хорошем состоянии конструкции и следует приходить к ортопеду раз в полгода.

-3

..и напоследок побольше про ортодонта

Если ортодонт рекомендовал удаление зубов мудрости из-за скученных зубов на нижней челюсти, то не следует откладывать поход к хирургу надолго. После удаления – на контроль и лечение к ортодонту. Что будет, если не исправить неправильно стоящие зубы? В моменте ничего. А вот спустя время:

  • через несколько месяцев – зубные камни, потому что сложно чистить;
  • через год или два – воспаление десны (гингивит), с присущей кровоточивостью и дискомфортом;
  • через 5-10 лет (кому как повезет) – появление подвижности зубов. Здесь гингивит уже переходит в пародонтит.
  • через 10-20 лет – возможна потеря подвижных зубов.
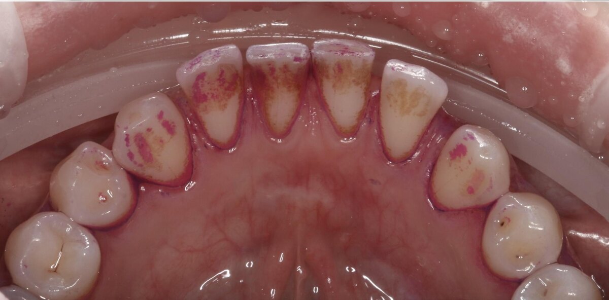
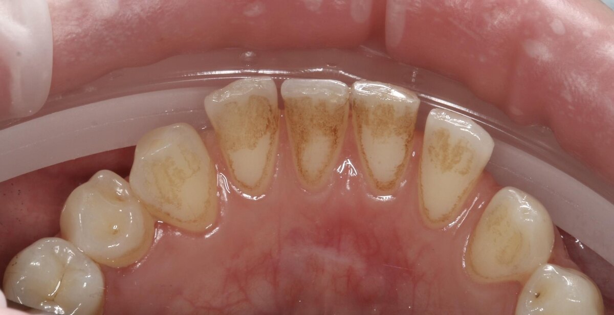
Проблема еще в зародыше, но уже есть пигментация и зубные камни
Проблема еще в зародыше, но уже есть пигментация и зубные камни

Все потому, что лишний раз не встретились на профосмотр, не проговорили еще раз возможные проблемы.

Резюме

Встреча со стоматологом два раза в год – возможность сделать лечение быстрым и доступным. А то и вовсе свести визиты только к профчистке и осмотру. Час времени – и польза на месяцы вперед.

__________________________________

Если Вам понравилась статья, подписывайтесь и ставьте лайки. Рады любым комментариям, на все стараемся отвечать.

Напоминаем: у нас бесплатные консультации. Рады помочь.

__________________________________

Телефоны для записи:

+7 (495) 120-34-44 (городской)

+7 (991) 603-40-31 (привязаны WhatsApp и Telegram).

Наш сайт: stom-perovo.ru (там можно оставить заявку на консультацию).