Найти в Дзене

Оголение шейки зуба: причины, симптомы, лечение и примеры работ.

Ниже рассмотрим клинический пример из нашей практики. Пациент (Виктор, 37 лет) устал менять пломбы в области оголенных корней, так как они там долго не держатся. Нами была проведена микрохирургическая операция по наращиванию десны, удалены старые несостоятельные пломбы, пролечен кариес и изготовлены коронки Emax! Как видно на фото выше, мы получили существенный прирост десны и отличный стабильный результат! Десна больше не поднимается наверх, коронки Emax избавили пациента от бесконечной замены пломб. Высоких результатов можно добиваться только в команде больших профессионалов! В лечении данного пациента участвовали следующие врачи: Смотри примеры работ До и После на нашем канале и на сайте: https://dzen.ru/away?to=https%3A%2F%2Fxn----htbbaacatywg0c5d.xn--p1ai%2F

  • Оголение шейки или корня зуба (рецессия десны) — это патологическое состояние, при котором десна опускается вниз, корень обнажается, появляется чувствительность зуба, эстетический дефект и возрастает риск развития другого патологического состояния — кариеса корня.
  • В свою очередь диагноз «кариес корня» — это уже показание к удалению зуба.
  • Причинами оголения корня зуба являются следующие факторы: бактерии, патология прикуса, травматическая чистка зубов.

Ниже рассмотрим клинический пример из нашей практики.

Пациент (Виктор, 37 лет) устал менять пломбы в области оголенных корней, так как они там долго не держатся.

Нами была проведена микрохирургическая операция по наращиванию десны, удалены старые несостоятельные пломбы, пролечен кариес и изготовлены коронки Emax!

-2

-3

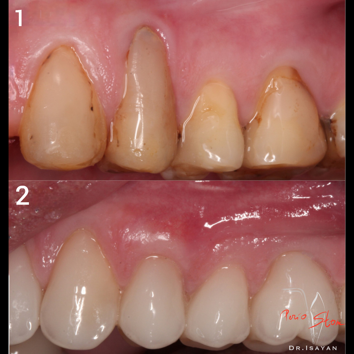
  • На фото под номером 1 ситуация до наращивания десны.
  • На фото под номером 2 ситуация после наращивания десны.

Как видно на фото выше, мы получили существенный прирост десны и отличный стабильный результат! Десна больше не поднимается наверх, коронки Emax избавили пациента от бесконечной замены пломб.

Высоких результатов можно добиваться только в команде больших профессионалов!

В лечении данного пациента участвовали следующие врачи:

- Главный врач, хирург-пародонтолог, имплантолог — Исаян  Григорий Сергеевич;
- Главный врач, хирург-пародонтолог, имплантолог — Исаян Григорий Сергеевич;

- Стоматолог-терапевт, микроскопист — Алиярова  Алеся Алияровна;
- Стоматолог-терапевт, микроскопист — Алиярова Алеся Алияровна;

- Стоматолог-ортопед — Магомедов  Джамал Абдулнасирович.
- Стоматолог-ортопед — Магомедов Джамал Абдулнасирович.

Смотри примеры работ До и После на нашем канале и на сайте:

https://dzen.ru/away?to=https%3A%2F%2Fxn----htbbaacatywg0c5d.xn--p1ai%2F