Найти в Дзене
N + 1

Оспа обезьян привела к очень редкому поражению нервов у молодого швейцарца

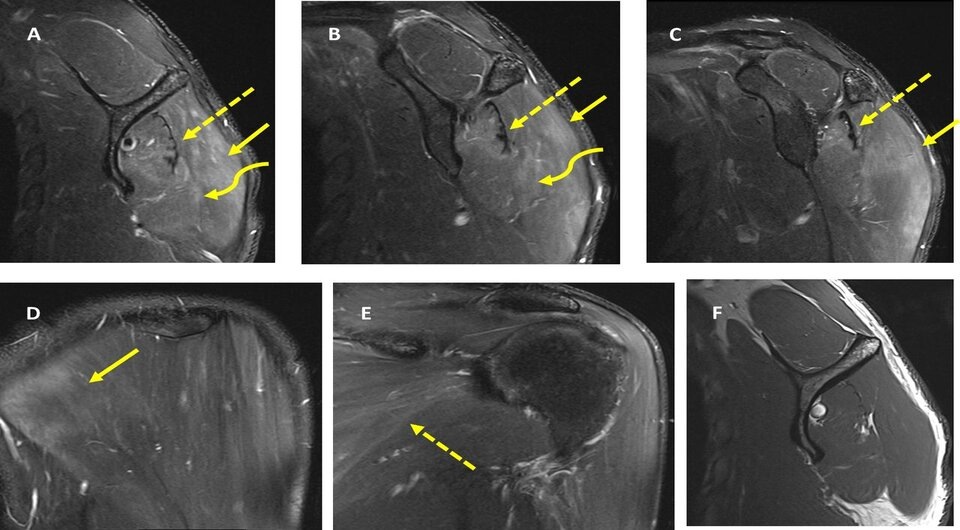
Швейцарские врачи описали случай возникновения синдрома Парсонажа — Тернера после заражения оспой обезьян: по их данным, такой случай был описан до этого лишь один раз. Мужчина, около 30 лет, обратился к врачам под руководством Филиппо Гербер (Filippo Gerber) из Больницы Лозаннского университета с сильной болью в плече и последующей атрофией мышц в течение пяти месяцев, которые начались через две недели после заражения оспой обезьян. В его анамнезе числились гепатит C, эпилепсия и эпизодическое употребление наркотиков. Случай описан в BMJ Case Reports. Синдром Персонажа — Тернера, или невралгическая амиотрофия, — это редкая периферическая патология нервов с острой сильной болью в плече, слабостью и атрофией мышц плечевого пояса и мышц предплечья. Среди факторов риска выделяют, в том числе, инфекционные: описаны случаи развития синдрома при заражении коронавирусом, парвовирусом и вирусами оспы. Осмотр показал атрофию дельтовидных, трехглавых и двуглавых мышц левого плеча и предплечья. М

Швейцарские врачи описали случай возникновения синдрома Парсонажа — Тернера после заражения оспой обезьян: по их данным, такой случай был описан до этого лишь один раз. Мужчина, около 30 лет, обратился к врачам под руководством Филиппо Гербер (Filippo Gerber) из Больницы Лозаннского университета с сильной болью в плече и последующей атрофией мышц в течение пяти месяцев, которые начались через две недели после заражения оспой обезьян. В его анамнезе числились гепатит C, эпилепсия и эпизодическое употребление наркотиков. Случай описан в BMJ Case Reports.

  Filippo Gerber et al. / BMJ Case Reports, 2024
Filippo Gerber et al. / BMJ Case Reports, 2024

Синдром Персонажа — Тернера, или невралгическая амиотрофия, — это редкая периферическая патология нервов с острой сильной болью в плече, слабостью и атрофией мышц плечевого пояса и мышц предплечья. Среди факторов риска выделяют, в том числе, инфекционные: описаны случаи развития синдрома при заражении коронавирусом, парвовирусом и вирусами оспы. Осмотр показал атрофию дельтовидных, трехглавых и двуглавых мышц левого плеча и предплечья. Мышечная сила и рефлексы этих и соседних мышц были снижены. Последующие магнитно-резонансные томографии и электромиографии мышц левого надплечья, плеча и предплечья навели врачей на диагноз невралгическая амиотрофия. Реабилитация с применением физиотерапии позволила облегчить боль и вернуть мышечную силу в левой верхней конечности.