Добавить в корзинуПозвонить
Найти в Дзене
tsarkov.petr.v

Фиброматоз или злокачественная опухоль?

Недавно я провел операцию пациентке в возрасте 71 лет. Это довольно занимательный клинический случай, и возможно будет интересен коллегам. ⠀ 📌В апреле 2018 пациентке была выполнена лапароскопическая ассистированная передняя резекция прямой кишки с парааортальной лимфодиссекцией, с формированием аппаратного концевого анастомоза. ✔️При гистологическом исследовании была выявлена: ➖умеренно дифференцированная аденокарцинома толстой кишки с инвазией в околокишечную клетчатку, ➖экстрамуральная сосудистая инвазия, ➖стадирована опухоль как pT3bN0 - из 30 исследованных лимфатических узлов не было выявлено ни одного метастатически пораженного. Онкоконсилиум с учетом возраста и сопутствующих заболеваний женщины принял решение о динамическом наблюдении. 📌 В марте 2020 г. при контрольном обследовании выявлена тубулярная аденома в куполе слепой кишки, тогда же образование мы удалили. 📌В апреле, в июле 2021 г. признаков рецидива заболеваний не выявлено. Однако: ✔️в брыжейке кишки обнаружены лимфат

Недавно я провел операцию пациентке в возрасте 71 лет. Это довольно занимательный клинический случай, и возможно будет интересен коллегам.

📌В апреле 2018 пациентке была выполнена лапароскопическая ассистированная передняя резекция прямой кишки с парааортальной лимфодиссекцией, с формированием аппаратного концевого анастомоза.

✔️При гистологическом исследовании была выявлена:

➖умеренно дифференцированная аденокарцинома толстой кишки с инвазией в околокишечную клетчатку,

➖экстрамуральная сосудистая инвазия,

➖стадирована опухоль как pT3bN0 - из 30 исследованных лимфатических узлов не было выявлено ни одного метастатически пораженного.

Онкоконсилиум с учетом возраста и сопутствующих заболеваний женщины принял решение о динамическом наблюдении.

📌 В марте 2020 г. при контрольном обследовании выявлена тубулярная аденома в куполе слепой кишки, тогда же образование мы удалили.

📌В апреле, в июле 2021 г. признаков рецидива заболеваний не выявлено.

Однако:

✔️в брыжейке кишки обнаружены лимфатические узлы размером 3 мм.,

✔️в левом запирательном пространстве — уже ранее выявляемый лимфатический узел размером 6 мм.

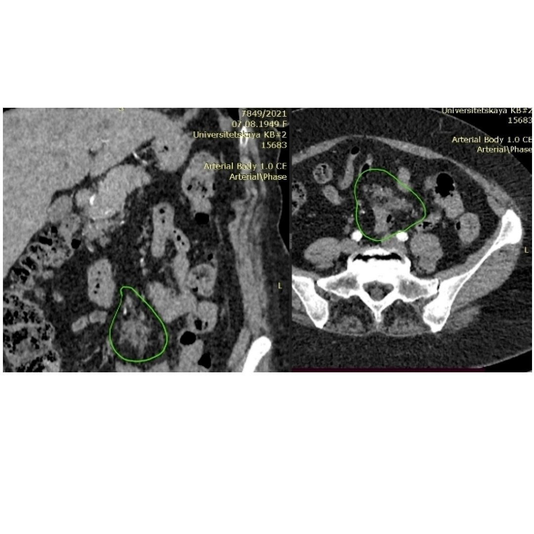
✔️в брыжейке тонкой кишки — неоднородное уплотнение мягкотканной консистенции размером 49*18*33 мм.

Лучевые диагносты расценили данное уплотнение мезентеральной клетчатки с подозрением на злокачественный рост (при учете анамнеза они не могли исключить метастатического поражения брыжейки).

На КТ подозрительные участки обведены зеленой линией.

-2

Перед нами встала дилемма, как быть.

Мы не могли сделать пункционную биопсию, кроме как операционно, но и полностью исключить прогрессию заболевания, исходя из имеющихся данных тоже было нельзя!

📝 Ситуацию усложняли сопутствующие заболевания: атеросклеротический кардиосклероз, конкременты правой почки, кисты почек, образование левой доли печени, хронический артроз коленных и голеностопных суставов, варикозное расширение вен нижних конечностей, грыжа в области пфанненштиля (разреза, через который извлекался препарат во время резекции прямой кишки).

📌 В конце июня нами была выполнена операция. Она заключалась в резекции участка тонкой кишки, резекции участка подвздошной кишки на протяжении 50 см., участка пораженной части брыжейки тонкой кишки.

Во время операции приняли образование —> за метастатическое поражение из первичной опухоли в корень брыжейки тонкой кишки с отсевами по брюшине в области брыжеечного края тонкой кишки.

✔️ Резекция выглядела поэтому несколько более расширенной из-за наличия участков с подозрением на канцероматоз.

-3

Проведена резекция подвздошной кишки. На препарате выявлен узел серовато-розовато- белесоватого цвета размером 5*4*1,7 см. без четких границ с негативными краями резекции более 1 см.

-4

При гистологическом исследовании в брыжейке имеется узловато-тяжистое разрастание молодой клеточной фибринозной ткани.

Ткань растет по предшествующим фибринозным прослойкам, формирует небольшие узелки, обволакивает нервные стволики и сосуды.

Обнаруживаются мелкие очаги жирового некроза и мелкие немногочисленные лимфоплазмоцитарной инфильтрации.

В краях резекции роста подобной фиброзной ткани не обнаружено.

В 7 лифматических узлах метастазов нет.

В итоге наши морфологи пришли к заключению, что мы удалили узел который соответствует ➡️ мезентеральному фиброматозу без признаков злокачественного роста.

Надо сказать, что это был третий случай фиброматоза на нашей практике. Первые два мы в процессе обследования определили как доброкачественные.

🚩Но здесь было трудно отказаться от мысли о злокачественности, поэтому мы и предприняли резекционное вмешательство

Вероятно, следовало бы проявить больше терпения, учитывая, что в течение 2,5 месяцев (апрель-июль 2021г.) роста образования не было.

Интересно узнать мнение коллег!

Как поступили бы Вы, имея такие данные? Были ли у вас подобные клинические случаи?