Найти в Дзене

Пяточная шпора: Ваша стопа в опасности? 5 простых способов победить боль и избежать операции!

Оглавление

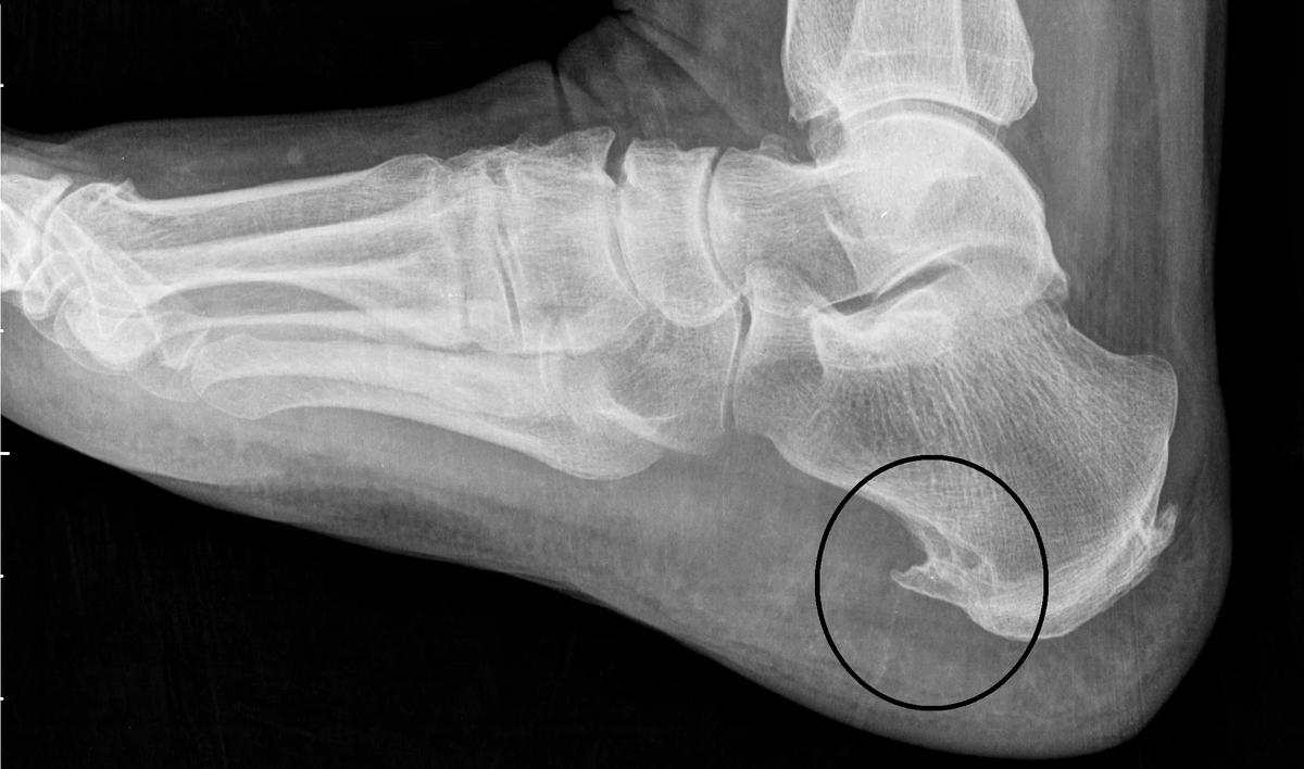
Что такое пяточная шпора? 🦵

Пяточная шпора — это одна из наиболее распространённых причин боли в пятке, которая может серьёзно повлиять на качество жизни. Появление пяточной шпоры связано с образованием кальциевого нароста на подошвенной части пятки, где прикрепляется подошвенная фасция — соединительная ткань, которая поддерживает свод стопы.

-2

Причины и симптомы: Как понять, что это пяточная шпора? 🤔

Часто люди путают пяточную шпору с другими проблемами стопы, такими как плантарный фасциит. Однако у пяточной шпоры есть свои характерные особенности:

  • Острая боль при первых шагах утром. После ночного отдыха фасция сокращается, и при первом давлении на пятку ощущается резкая боль.
  • Тянущие ощущения в течение дня. Боль может снижаться, но к концу дня возвращается с новой силой.
  • Ощущение “гвоздя” в пятке. Ощущение острой боли, словно наступаете на что-то острое.

Появление пяточной шпоры может быть вызвано множеством факторов:

  • Избыточный вес. Это увеличивает нагрузку на пятки, что ведет к повреждению тканей.
  • Плоскостопие. Нарушение правильного распределения нагрузки на стопу ведет к растяжению фасции и образованию микротравм.
  • Неправильная обувь. Ношение неудобной или слишком жёсткой обуви, особенно на плоской подошве, может усилить риск.

Как бороться с пяточной шпорой? 🏃‍♂️

Теперь перейдём к самому главному — как избавиться от этой неприятной проблемы. Здесь важно не только снять боль, но и предотвратить развитие осложнений. Вот 5 проверенных методов:

1. Ортопедическая обувь 👟

Ношение специальной ортопедической обуви или стелек поможет правильно распределять нагрузку на стопу и уменьшить давление на пятку. Ортопедические стельки поддерживают свод стопы и снижают натяжение фасции.

2. Массаж и растяжки для стоп 🧘‍♀️

Растяжка подошвенной фасции и икроножных мышц — один из самых эффективных методов лечения. Массаж с мячиком для тенниса или специальным массажным роликом улучшает кровообращение и снимает напряжение.

3. Противовоспалительные препараты 💊

Препараты, такие как ибупрофен или диклофенак, помогают снять воспаление и уменьшить боль. Важно понимать, что такие препараты — временное решение, они не устраняют причину.

4. Физиотерапия и ультразвук 🌟

Физиотерапевтические процедуры, такие как ударно-волновая терапия, оказывают глубокое воздействие на ткани стопы, способствуя восстановлению и снятию воспаления.

5. Инъекции стероидных препаратов 💉

В случае, если другие методы не дают эффекта, врач может порекомендовать инъекции стероидов в область пятки. Это помогает уменьшить воспаление и боль на несколько месяцев, но данная методика применяется только под контролем врача.

Когда нужна операция? 🏥

В большинстве случаев консервативное лечение помогает справиться с пяточной шпорой, но если через 6-12 месяцев улучшения не наступает, врач может предложить хирургическое вмешательство. Операция заключается в удалении шпоры и частичном иссечении поражённой фасции. Однако важно понимать, что это крайний шаг, который необходим только при сильной боли и отсутствии эффекта от лечения.

-3

Можно ли предотвратить пяточную шпору? 🏅

Предотвратить появление пяточной шпоры можно, следуя простым рекомендациям:

  • Выбирайте правильную обувь. Избегайте ношения плоской обуви и отдавайте предпочтение моделям с хорошей амортизацией.
  • Следите за весом. Поддержание нормального веса снижает нагрузку на стопы.
  • Регулярно выполняйте упражнения на растяжку. Простые упражнения помогут укрепить мышцы стопы и улучшить кровообращение.
  • Меняйте обувь, если чувствуете дискомфорт. Износ подошвы может усиливать нагрузку на пятку.

Заключение: Слушайте свои ноги! 💪

Пяточная шпора — это не приговор, и с этой проблемой можно справиться без хирургического вмешательства. Главное — своевременно начать лечение и следовать рекомендациям врача. Если вы ощущаете боль в пятке, не терпите — займитесь решением проблемы уже сегодня. Ваши ноги скажут вам «спасибо»! 👣

Подпишитесь на мой канал в Дзен и узнавайте больше о том, как сохранить здоровье стоп и вернуть себе лёгкость в каждом шаге! 🌟