Добавить в корзинуПозвонить
Найти в Дзене

Виниры. Просто сделали чуточку счастливее ещё одного пациента

Преображение улыбки эстетическими реставрациями от врача-ортопеда Пономарева Станислава Евгеньевича. ✔️ 10 цельнокерамических виниров с безупречным режущим краем и естественным рельефом, как у натуральных зубов. ✔️ Аккуратное препарирование и точная фиксация виниров благодаря использованию бинокуляров с высокой кратностью увеличения. ✔️ Улыбка, которая сохранит свою яркость и белизну на долгие годы, не тускнея от пищевых красителей. ✔️ Улыбка, повышающая самооценку и привлекающая восхищённые взгляды. ___________________ «32 Практика» — делаем улыбку не мечтой, а реальностью!
Хотите виниры? Запишитесь на консультацию по телефону +7 (342) 255-40-32 или напишите нам в сообщениях группы.⁣

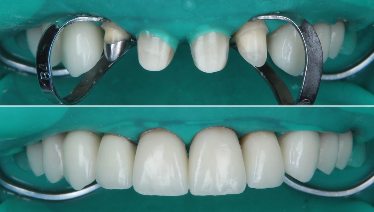
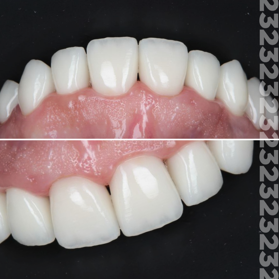
Преображение улыбки эстетическими реставрациями от врача-ортопеда Пономарева Станислава Евгеньевича.

✔️ 10 цельнокерамических виниров с безупречным режущим краем и естественным рельефом, как у натуральных зубов.

✔️ Аккуратное препарирование и точная фиксация виниров благодаря использованию бинокуляров с высокой кратностью увеличения.

✔️ Улыбка, которая сохранит свою яркость и белизну на долгие годы, не тускнея от пищевых красителей.

✔️ Улыбка, повышающая самооценку и привлекающая восхищённые взгляды.

___________________

«32 Практика» — делаем улыбку не мечтой, а реальностью!

Хотите виниры? Запишитесь на консультацию по телефону +7 (342) 255-40-32 или напишите нам в сообщениях группы.⁣