Добавить в корзинуПозвонить
Найти в Дзене

Болезнь Альцгеймера

Этиология. Гистологические и биохимические маркеры. Симптомы и причины их возникновения Болезнь Альцгеймера — это прогрессирующее нейродегенеративное заболевание, которое в основном поражает пожилых людей и характеризуется стойкими когнитивными нарушениями, в том числе снижением памяти, изменениями поведения и неспособностью выполнять повседневные задачи. 1. Амилоидные бляшки — внесинаптические скопления бета-амилоидов (Aβ). Одна из главных причин развития заболевания - мутации в генах APP (гликопротеид с до конца неизвестной функцией), PSEN1 и PSEN2, которые приводят к накоплению бета-амилоидов - это общее название для нескольких коротких пептидов, образующихся протеолизом из АРР. Протеолиз выполняют последовательно бета-секретаза и гамма-секретаза. В результате процесса образуются токсичные формы, такие как Aβ42, которые агрегируют в бляшки и нарушают клеточные функции. Олигомеры бета-амилоида нарушают работу ионных каналов, приводят к избытку кальция в клетках и активируют воспал
Оглавление

Этиология. Гистологические и биохимические маркеры. Симптомы и причины их возникновения

Болезнь Альцгеймера — это прогрессирующее нейродегенеративное заболевание, которое в основном поражает пожилых людей и характеризуется стойкими когнитивными нарушениями, в том числе снижением памяти, изменениями поведения и неспособностью выполнять повседневные задачи.

Гистологические и биохимические маркеры

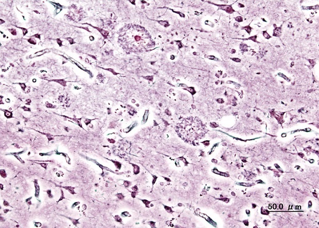
1. Амилоидные бляшки — внесинаптические скопления бета-амилоидов (Aβ).
Напоминают соцветие лука, как выразились авторы «наука+1»
Напоминают соцветие лука, как выразились авторы «наука+1»

Одна из главных причин развития заболевания - мутации в генах APP (гликопротеид с до конца неизвестной функцией), PSEN1 и PSEN2, которые приводят к накоплению бета-амилоидов - это общее название для нескольких коротких пептидов, образующихся протеолизом из АРР. Протеолиз выполняют последовательно бета-секретаза и гамма-секретаза. В результате процесса образуются токсичные формы, такие как Aβ42, которые агрегируют в бляшки и нарушают клеточные функции.

Олигомеры бета-амилоида нарушают работу ионных каналов, приводят к избытку кальция в клетках и активируют воспалительные процессы. Кроме того они связываются с аллостерическим сегментом адренорецепторов типа α2A и модулируют активность рецептора. Рецептор избыточно активирует сигнальный путь с участием киназы гликогенсинтазы, вследствие чего внутри нейронов начинает накапливаться фосфорилированный тау-белок.

  

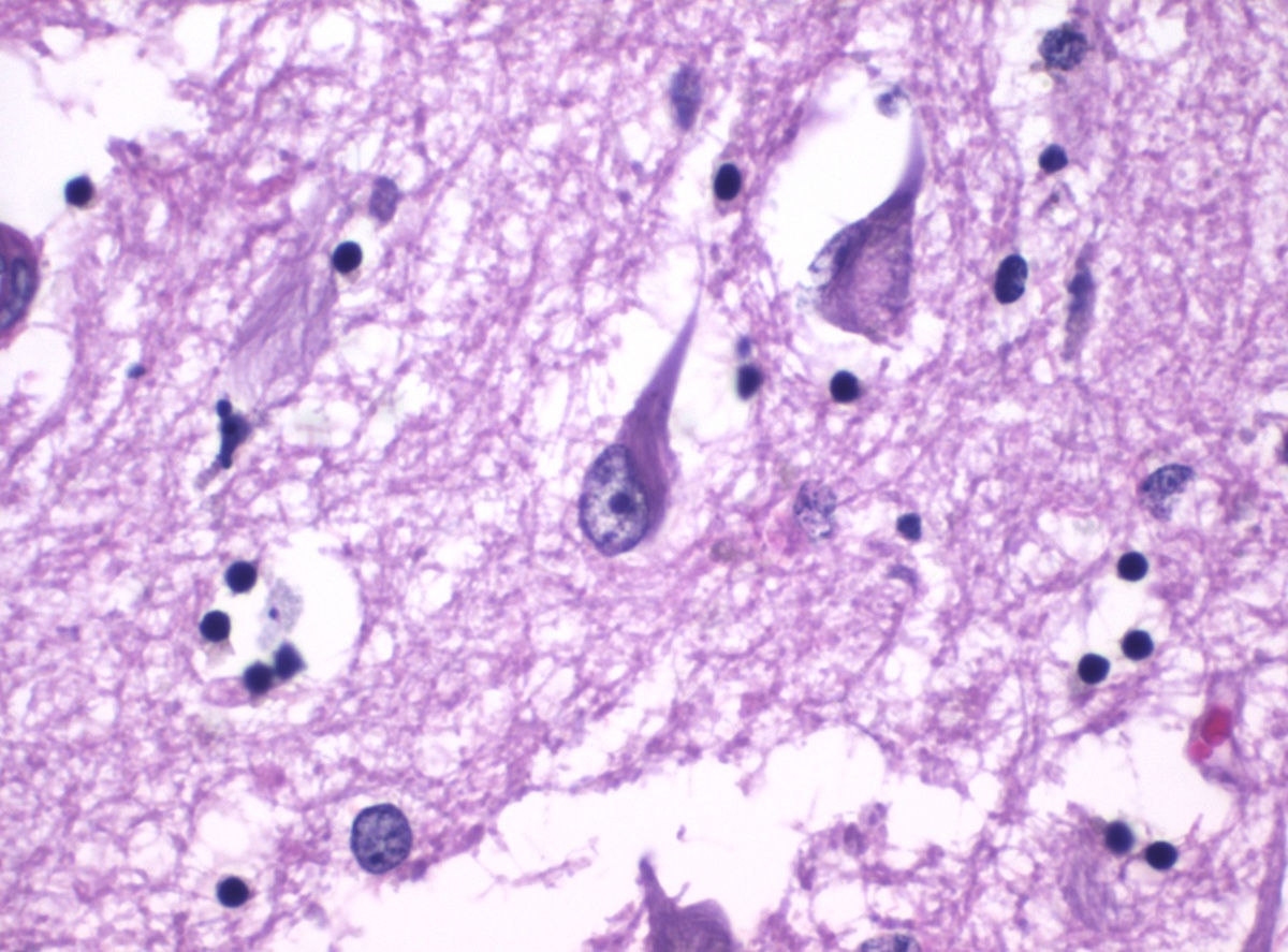
2. Нейрофибриллярные клубки — внутри нейронов накапливается гиперфосфорилированный тау-белок.
Напоминают волосяную луковицу ))
Напоминают волосяную луковицу ))

Нормальный тау-белок стабилизирует микротрубочки, поддерживающие цитоскелет нейронов и обеспечивающие транспорт веществ. При болезни Альцгеймера тау-белок становится гиперфосфорилированным, теряя свою функцию, что приводит к дестабилизации цитоскелета и образованию клубков, нарушающих транспорт внутри клетки и вызывающих потерю связи между нейронами.

3. Синаптические нарушения и нейровоспаление

Накопление токсичных белков приводит к воспалительным реакциям в мозге, вызванным активацией микроглии и астроцитов, которые выделяют провоспалительные цитокины и способствуют дальнейшему повреждению нейронов и ухудшению синаптической пластичности.

4. Окислительный стресс

В клетках мозга при болезни Альцгеймера наблюдается избыток активных форм кислорода, что ведет к повреждению ДНК, липидов и белков, еще более ускоряя гибель нейронов.

Симптомы

Заболевание проявляется не сразу, поскольку патологические изменения накапливаются в мозге на протяжении десятилетий. Отложение бета-амилоида, образование нейрофибриллярных клубков и гибель нейронов происходят задолго до появления первых клинических симптомов. Этот латентный период объясняется компенсаторными механизмами мозга, включая нейропластичность, которая позволяет нейронам в течение определенного времени компенсировать дефицит поврежденных структур. Однако по мере накопления повреждений эти механизмы становятся недостаточными, и начинают проявляться симптомы.

1. Нарушения памяти

Ранний и наиболее заметный симптом болезни Альцгеймера, который связан с дегенерацией гиппокампа, ключевого центра памяти и обучаемости. Накопление бета-амилоидных олигомеров и формирование амилоидных бляшек в гиппокампе и других зонах памяти, нарушая связь между нейронами, что приводит к ухудшению долговременной потенциации — ключевого процесса, отвечающего за формирование воспоминаний.

Кроме того, накапливавшийся в гиппокампе тау-белок блокируют транспорт веществ в нейронах. Это ведет к нарушению нейрональных цепей, ответственных за консолидацию памяти, из-за чего возникают трудности в запоминании новых событий.

Гибель холинергических нейронов, выделяющих ацетилхолин (важен для памяти и обучения), ведет к нарушению передачи нервных сигналов. Уровень ацетилхолина у пациентов с болезнью Альцгеймера значительно снижен, что особенно влияет на когнитивные функции и способствует ухудшению памяти.

2. Проблемы с речью и мышлением

Пациенты начинают испытывать трудности с подбором слов, страдают от снижения когнитивной гибкости. Афазия, или потеря способности к правильной речи и языковому восприятию, возникает из-за дегенерации нейронов в речевых центрах мозга, в частности, в лобной и височной долях. Также поражаются нейронные цепи в коре мозга.

3. Дезориентация и изменение личности

Дезориентация и трудности в распознавании окружающей среды связаны с дегенерацией нейронов в теменной и височной долях, которые участвуют в обработке пространственной информации и визуальных стимулов.

Изменения в поведении и личности (апатия, раздражительность, депрессия) связаны с повреждением лобных долей мозга, которые регулируют эмоции, мотивацию и социальное поведение.

4. Сложности с повседневной деятельностью

По мере разрушения синаптических связей и гибели нейронов снижается способность к выполнению простых действий, что ведет к полной зависимости от окружающих.

Методы лечения

Хотя эффективного лечения, устраняющего причину болезни Альцгеймера, пока нет, современные методы терапии направлены на замедление прогрессирования и облегчение симптомов.

1. Холинэстеразные ингибиторы — препараты, такие как галантамин и донепезил, тормозят разрушение ацетилхолина, повышая его уровень и компенсируя дефицит, вызванный гибелью холинергических нейронов.

2. Антагонисты NMDA-рецепторов — мемантин снижает воздействие глутамата, избыточная активация которого вызывает гибель нейронов. Он назначается для снижения уровня нейротоксичности.

3. Иммунологические методы — в последние годы активно разрабатываются антитела против бета-амилоида (например, адуканумаб), нацеленные на снижение количества амилоидных бляшек.

4. Генная терапия и CRISPR — экспериментальные подходы, направленные на изменение экспрессии генов, участвующих в накоплении бета-амилоида и тау-белка.

5. Поддерживающие методы — когнитивная терапия, физическая активность и правильное питание могут снизить риск прогрессирования симптомов и поддержать качество жизни.