Добавить в корзинуПозвонить
Найти в Дзене

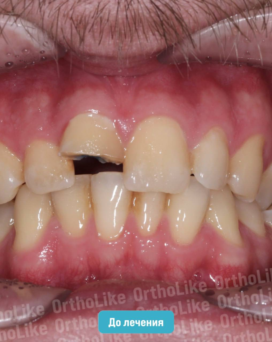
Восстановление зуба после травмы: кейс стоматолога-ортопеда Александра Миронова и терапевта-эндодонтиста Ольги Кутьевой

Травмирование зуба может произойти в любой момент и с любым человеком. Вам необязательно быть профессиональным спортсменом, чтобы находиться в «зоне риска». Получив травму зуба, не стоит отчаиваться. Возможности современной стоматологии позволяют восстановить даже самые серьезные повреждения. Бывали ли у вас травмы зубов? При каких обстоятельствах это случилось и удалось ли сохранить единицу? К нам в клинику с жалобой на эстетический вид 11 зуба обратился пациент. С его слов данная единица получила травму, вследствие которой в другой клинике ее депульпировали и запломбировали временным материалом, то есть положили лекарство. Терапевт-эндодонтист Кутьева Ольга Юрьевна в клинике OrthoLike выполнила эндодонтическое лечение зуба и запломбировала канал с последующим восстановлением при помощи стекловолоконного штифта. После этого стоматолог-ортопед Миронов Александр Сергеевич восстановил зуб временной коронкой. В дальнейшем пациент планирует пройти ортодонтическое лечение и улучшить эстетик

Травмирование зуба может произойти в любой момент и с любым человеком. Вам необязательно быть профессиональным спортсменом, чтобы находиться в «зоне риска». Получив травму зуба, не стоит отчаиваться. Возможности современной стоматологии позволяют восстановить даже самые серьезные повреждения.

-2

Бывали ли у вас травмы зубов? При каких обстоятельствах это случилось и удалось ли сохранить единицу?

-3

К нам в клинику с жалобой на эстетический вид 11 зуба обратился пациент. С его слов данная единица получила травму, вследствие которой в другой клинике ее депульпировали и запломбировали временным материалом, то есть положили лекарство.

-4

Терапевт-эндодонтист Кутьева Ольга Юрьевна в клинике OrthoLike выполнила эндодонтическое лечение зуба и запломбировала канал с последующим восстановлением при помощи стекловолоконного штифта. После этого стоматолог-ортопед Миронов Александр Сергеевич восстановил зуб временной коронкой. В дальнейшем пациент планирует пройти ортодонтическое лечение и улучшить эстетику улыбки.

-5

Травма зуба может стать серьезным испытанием для вашей улыбки. Но это еще не приговор. Благодаря использованию инновационных материалов и передовых технологий у нас в клинике OrthoLike вы можете сохранить здоровье и красоту ваших зубов. Мы знаем насколько важна эстетика, поэтому не просто лечим, а дарим уверенность в себе и наслаждение от каждой улыбки.

Всегда с заботой о Вашем здоровье и красоте.
Ждем на консультации +7 (499) 288-18-21
Если Вам понравилась статья, ставьте лайк и подписывайтесь на наш канал. Больше информации на нашем сайте https://ortholike.ru.