Найти в Дзене
N + 1

Кручение на голове привело к огромной шишке у брейкдансера

  BomfunkMCsVEVO / YouTube
BomfunkMCsVEVO / YouTube

Датские врачи описали случай болезненного образования кожи волосистой части головы, на котором выпадают волосы. При сборе анамнеза выяснилось, что пациент — профессиональный брейкдансер — на протяжении 19 лет исполнял элемент хэдспин (headspin), при котором человек балансирует на голове, вращаясь вокруг вертикальной оси тела. Обследование показало, что шишка на голове — это типичный случай «дыры хэдспина», при котором в коже головы от постоянной нагрузки разрастается соединительная ткань. Случай описан в BMJ Case Reports.

Брейк-данс включает в себя целый ряд сложных и требующих физических усилий техник, которые приводят к изолированной нагрузке на некоторые части тела. Сложный характер этих движений делает брейкдансеров особенно подверженными травмам запястья, пальцев, коленей, плечей, поясницы, локтей, шеи, лодыжек, стоп и бедер. Преобладающими видами травм становятся растяжения связок и сухожилий.

Продолжительные занятия брейк-дансом часто приводят к ряду хронических заболеваний, известных под общим названием «синдром чрезмерного брейк-данса». Он включает в себя кистевой туннельный синдром, тендовагинит, синдром соударения, хронические ушибы на спине и голове, постоянное выпадение волос и стойкое раздражение кожи головы из-за хэдспинов. Характерная форма чрезмерного повреждения кожи головы, возникающая в результате многократного вращения на голове, называется «дыра хэдспина». Считается, что до 60 процентов танцоров страдают от этой патологии. Однако существует мало конкретных описаний случаев этого заболевания.

К врачам под руководством Кристиана Бааструпа Сондергаарда (Christian Baastrup Søndergaard) из Копенгагенского университета направили мужчину около 30 лет с жалобами на болезненную опухоль волосистой части головы и выпадение волос, которые возникли после 19 лет интенсивных занятий брейк-дансом.

Его режим состоял примерно из пяти полуторачасовых тренировок в неделю. Во время каждой тренировки он совершал хэдспин продолжительностью от двух до семи минут. За последние пять лет опухоль заметно увеличилась в размерах и стала болезненной. Наличие новообразования и связанный с ним дискомфорт были эстетически неприятны пациенту, но шишка не мешала пациенту продолжать заниматься брейк-дансом.

  Christian Baastrup Søndergaard et al. / BMJ Case Reports, 2024
Christian Baastrup Søndergaard et al. / BMJ Case Reports, 2024

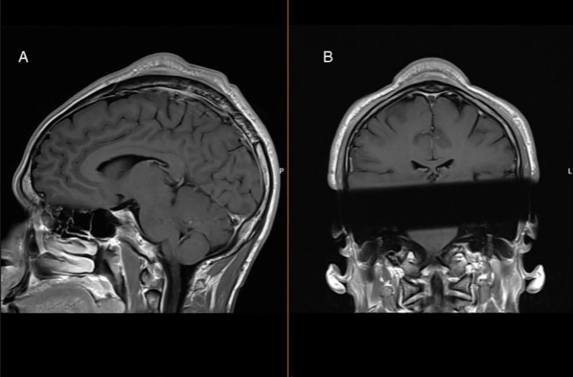
При клиническом осмотре на макушке, по средней линии, было заметно продольно ориентированное образование. При касании опухоль была болезненной, не спаяна с кожей. Это позволило врачам предположить, что она находилась под сухожильным шлемом головы. Магнитно-резонансная томография показала образование под сухожильным шлемом размером 33,4 × 0,6 × 2,9 сантиметра вблизи срединной линии с сосудистыми структурами. Кожа и подкожная клетчатка над опухолью были утолщены, так же, как и кость черепа под опухолью.

  Christian Baastrup Søndergaard et al. / BMJ Case Reports, 2024
Christian Baastrup Søndergaard et al. / BMJ Case Reports, 2024

Врачи удалили опухоль хирургическим путем. Гистологический анализ показал неспецифические реактивные изменения в виде довольно обширного фиброза (разрастания соединительной ткани) без признаков злокачественности. Спустя месяц пациент не жаловался на болезненность в прежнем месте, и его полностью устроил эстетический результат операции.

  Christian Baastrup Søndergaard et al. / BMJ Case Reports, 2024
Christian Baastrup Søndergaard et al. / BMJ Case Reports, 2024

С танцами и их последствиями сталкиваются не только врачи, но и физики. Например, наш редактор попытался разобраться, можно ли описать мош с точки зрения физических процессов.