Найти в Дзене
Parodoctor

"Клыки вампира" у ребёнка 13 лет - брекет система и её "плоды" через 4 месяца (в фотографиях)

Помню свои школьные годы и маленького Ярослава (одноклассник) - у парня очень долго не прорезывались резцы и мы называли его вампиром. Дети жестоки, но никакого злого умысла. Откровенно в лицо не дразнились, всё в мышиную степь - за спиной. Хи-хи... Вампирёныш Ярик. Отличающиеся от стандарта вызывают любопытство и, иногда, негатив. И у взрослых та же петрушка, к чему отмахиваться от истины. Да, некоторые из нас более осознанны и принимают всех. Все красивы, все нейтральны, все могут быть собой. Но... Маловасто подобных индивидов. Поэтому, когда у ребёнка, вдруг, вместо ровнёхонькой голливудской улыбки прорезывается зубной дикобраз - не всякий родитель сохранит самообладание. Понять можно. И начинается хождение по консультациям ортодонтическим. Кто во что горазд, то и предлагает. Самый спорный и тяжкий для родителя момент - расставание со здоровыми зубами ребёнка. Нередко предлагают удалять 8 зубы и четвёрки - первые премоляры. Таким образом планируется высвободить место для клыков, т
Оглавление

Помню свои школьные годы и маленького Ярослава (одноклассник) - у парня очень долго не прорезывались резцы и мы называли его вампиром.

Дети жестоки, но никакого злого умысла. Откровенно в лицо не дразнились, всё в мышиную степь - за спиной. Хи-хи... Вампирёныш Ярик.

Отличающиеся от стандарта вызывают любопытство и, иногда, негатив. И у взрослых та же петрушка, к чему отмахиваться от истины. Да, некоторые из нас более осознанны и принимают всех. Все красивы, все нейтральны, все могут быть собой. Но... Маловасто подобных индивидов.

Поэтому, когда у ребёнка, вдруг, вместо ровнёхонькой голливудской улыбки прорезывается зубной дикобраз - не всякий родитель сохранит самообладание. Понять можно.

Вестибулярное положение клыков - через месяц-два уже увидим приличный результат
Вестибулярное положение клыков - через месяц-два уже увидим приличный результат

И начинается хождение по консультациям ортодонтическим. Кто во что горазд, то и предлагает. Самый спорный и тяжкий для родителя момент - расставание со здоровыми зубами ребёнка.

Нередко предлагают удалять 8 зубы и четвёрки - первые премоляры. Таким образом планируется высвободить место для клыков, торчащих куда попало.

Всегда ли нужны столь радикальные меры? Нет. Ребёнок растёт! Кости растут. Почти всегда удаётся обойтись без ликвидации 4-к! Это - не лишние зубы. В отличие от зубов 8-х (их удалять не возбраняется и, иногда, очень даже приветствуется).

Скажу больше - даже во взрослом возрасте не всегда требуется удаление зубов 4 (можно отодвинуть жевательные зубы кзади - дистализировать, вот вам и место) . Но тут, конечно, процент сохранения поменьше, чем у детей.

Причины вестибулярного положения зубов

Мне оень понравился комментарий подписчика Павла. Кстати, он не один десяток лет проработал детским стоматологом и к его словам присмотреться можно:

-2

Поэтому, на данном моменте самостоятельно останавливаться не буду. Перейдём к клиническому случаю.

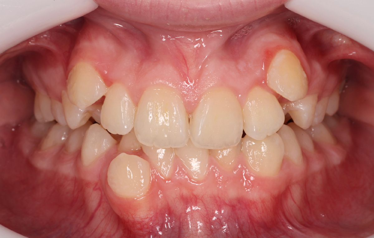
Вестибулярное супроположение клыков у мальчика - исправление прикуса на брекет-системе

Мальчику 13 лет

Вестибулярное положение клыков
Вестибулярное положение клыков

Рассмотрим поближе:

Прошло всего 4 месяца после установки брекет-системы:

Уже приличный результат! Хоть и с гигиеной проблемы...

Впереди ещё чуть больше года ношения системы - нужно добиться настоящего качественного результата.

Помним - голова мальчика будет расти (кости, соответственно, тоже). А зубы свой размер не поменяют.

Подобные аномалии (и борьба с ними) ортодонту моему даются легко. Быстро, эстетично, надёжно. Взрослые, дети - крест не ставит ни на ком.

Всё самое интересное и полноценное в моём ТГ канале (как и обратная связь день в день, ответы на вопросы):

Parodoctor

Больше нашей ортодонтии в подборке:

Ортодонтические варианты | Parodoctor | Дзен

С уважением, Лежачёва Наталия Александровна, главный врач стоматологии Пародент, СПб.