Добавить в корзинуПозвонить
Найти в Дзене
Ординарные заметки

Зубчатые полипы толстой кишки

В годы обучения в ординатуре, стажировок в двух больницах и теперь снова во время работы я столкнулась с тем, что про зубчатые полипы толстой кишки у каждого врача как будто свое мнение и представление о том, как их дифференцировать. Но т.к. в заключении стоит мое имя, я решила, так сказать, изучить матчасть. Среди зубчатых полипов толстой кишки сегодня выделяют: Большая часть всех гиперпластических полипов (75-90%) – и микровезикулярный и вариант, богатый бокаловидными клетками, локализуется преимущественно в дистальных отделах толстой кишки и в прямой кишке. Сидячие зубчатые поражения (SSLs) преобладают в проксимальной части кишечника (правые отделы – 70-80%), особенно SSLs с дисплазией. Около 70% TSA встречаются в дистальных отделах кишки. Локализуется преимущественно в левой половине кишки, обычно он менее 5 мм. Выделяют 2 подтипа: микровезикулярный и богатый бокаловидными клетками. Однако, указывать их в заключении не обязательно, т.к. они не являются клинически значимыми. Цитопла
Оглавление

В годы обучения в ординатуре, стажировок в двух больницах и теперь снова во время работы я столкнулась с тем, что про зубчатые полипы толстой кишки у каждого врача как будто свое мнение и представление о том, как их дифференцировать. Но т.к. в заключении стоит мое имя, я решила, так сказать, изучить матчасть.

Среди зубчатых полипов толстой кишки сегодня выделяют:

  • Гиперпластический полип толстой кишки, микровезикулярный вариант
  • Гиперпластический полип толстой кишки, богатый бокаловидными клетками
  • Сидячее зубчатое поражение – (SSL, sessile serrated lesion)
  • Сидячее зубчатое поражение с дисплазией
  • Традиционная зубчатая аденома – (TSA, traditional serrated adenoma)
  • Зубчатая аденома, неклассифицируемая

Большая часть всех гиперпластических полипов (75-90%) – и микровезикулярный и вариант, богатый бокаловидными клетками, локализуется преимущественно в дистальных отделах толстой кишки и в прямой кишке. Сидячие зубчатые поражения (SSLs) преобладают в проксимальной части кишечника (правые отделы – 70-80%), особенно SSLs с дисплазией. Около 70% TSA встречаются в дистальных отделах кишки.

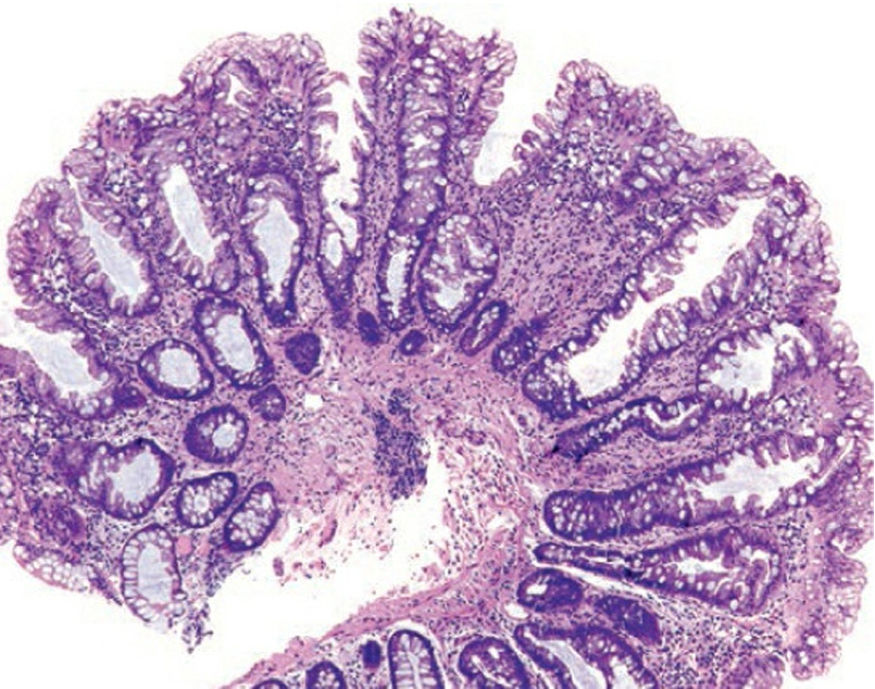
Гиперпластический полип
Гиперпластический полип

Гиперпластический полип (HP)

Локализуется преимущественно в левой половине кишки, обычно он менее 5 мм. Выделяют 2 подтипа: микровезикулярный и богатый бокаловидными клетками. Однако, указывать их в заключении не обязательно, т.к. они не являются клинически значимыми. Цитоплазма клеток обильная, бледно-розовая. Подэпителиально наблюдаются отложения коллагена, а в криптах много нейроэндокринных клеток. На поперечном срезе крипты равномерно расположены, расширены и имеют «звездчатые» просветы в верхней части, при этом основания крипт узкие и лишены характерной «зубчатости». Иногда может наблюдаться ветвление единичных крипт.

Имейте в виду, что пролиферирующая часть крипт часто мимикрирует под аденому: крипты в ней темнее чем в поверхностных отделах, есть митозы, некоторая гиперхромность ядер, а иногда и незначительная псевдостратификация ядер. НО! все эти изменения не затрагивают поверхностные отделы крипт и не должны считаться диспластическими! К тому же в них нет апоптотических телец, которые часто и в больших количествах встречаются в классической аденоме. Но и не пропустите аденому, считая, что темный центр полипа — это априори пролиферативная часть. Это может привести к неправильному лечению пациента. У мелкого гиперпластического полипа и аденомы разные интервалы наблюдения.

Микровезикулярный подтип, пожалуй, самый часто встречающийся вариант HP. Наиболее выражена зубчатость в поверхностных отделах (обычно зубчатость ограничена верхними 2/3 крипт). Видны «звездчатые» просветы крипт и эпителиальные клетки с обильной пенистой цитоплазмой (из-за большого количества вакуолей с муцином) и вариабельным количеством бокаловидных клеток. Ядра мелкие, круглые, базально расположены. Основания крипт узкие, в них отсутствует «зубчатость», клетки пролиферируют (есть митозы), поэтому основания крипт выглядят более темными. Иногда встречаются расширенные основания крипт, но в них отсутствует «зубчатость». Подэпителиальная коллагеновая пластинка (под покровным эпителием) – еще один признак гиперпластического полипа. Хорошо различимые нейроэндокринные клетки в криптах. В хорошо ориентированных препаратах, если критерии SSL отсутствуют – смело пишем микровезикулярный гиперпластический полип.

Подтип, богатый бокаловидными клетками, встречается практически исключительно только в ректосигмоидном отделе толстой кишки. Характерная зубчатость в нем часто едва заметна, или вообще отсутствует, просвет крипт чаще округлый, а эпителий представлен в основном крупными (в 2-3 раза больше обычных клеток) бокаловидными клетками, тесно прилегающими друг к другу (back-to-back) из-за чего поверхность полипа почти плоская. В таком полипе крипты длиннее и шире, чем в нормальной кишке, иногда можно обнаружить ветвление или извилистость.

Основания крипт узкие, без зубчатости, с пролиферирующими недифференцированными клетками. Присутствует субэпителиальная пластинка коллагена и нейроэндокринные клетки. Если биопсия взята из ректосигмоидного отдела, и в препарате полип не очевиден, рассмотрите вариант HP богатый бокаловидными клетками.

Раньше выделяли третий, самый редкий подтип, со сниженным содержанием слизи. Из-за потери муцина и реактивных изменений, они выглядели более темными и их часто путали с аденомами. Но на сегодняшний день его из классификации исключили.

Сидячее зубчатое поражение (SSL, Sessile serrated lesion)

До 1996 года все зубчатые полипы были гиперпластическими. Но потом у некоторых полипов выявили связь с аденокарциномой, в результате тщательных исследований эти полипы переквалифицировали в sessile serrated lesion (SSL). Они составляют примерно 15-25% от всех полипов.

Обычно SSL крупного размера, преобладают в правой половине толстой кишки (слепая, восходящая и поперечно ободочная).

Отличие SSL от гиперпластических полипов и традиционной зубчатой аденомы основано на архитектуре крипт и цитологических признаках. У SSL обильная бледно-розовая цитоплазма, характерная зубчатость крипт. Основной признак — это нарушение архитектоники крипт от основания до поверхностных отделов. В настоящее время минимальным диагностическим критерием стало обнаружение более одной достоверно/однозначно расширенной крипты у основания, и это является достаточным основанием для выставления диагноза SSL. Архитектурные изменения крипт при SSL характеризуются горизонтальным ростом вдоль мышечной пластинки слизистой оболочки, расширением основания крипты (нижней трети крипты), «зубчатостью» распространяющейся и на базальные отделы крипт (в отличие от HP), а также ассиметричная пролиферация. Основания крипт могут быть в форме сапога/ботинка, J-, L- образными или в виде перевернутой T, с хорошо выраженной зубчатостью. Наличие хотя бы одного из вышеперечисленных признаков является нарушением архитектоники крипты.

Термин достоверный (однозначный) в данном случае критически важен, т.к. крипты с неочевидными архитектурными изменениями не должны расцениваться в пользу диагноза SSL. Умеренное симметричное расширение основания крипты не является достаточным основанием для диагноза SSL. Крипты со зрелыми клетками в основании, например бокаловидными, также не являются критерием для SSL.

К недостоверно расширенным основаниям крипт относят незначительное расширение основания крипты без «зубчатости», случаи с отсутствием мышечной пластинки слизистой оболочки (когда мы не можем оценить архитектонику крипт), пролапсы слизистой оболочки, крупные полипы (>1 см) и тангенциальные срезы. В таких ситуациях (в повседневных неидеальных жизненных условиях) следует ориентироваться на локализацию и размер полипа. Наличие ветвящихся крипт в зубчатом полипе также не является достаточным для диагноза SSL, т.к. может наблюдаться и при HP. Важно, что большинство крипт при SSL нормального строения и выглядят также как в микровезикулярном HP.

Обратите внимание: только размер, локализация и эндоскопическое описание не должны использоваться для постановки диагноза SSL, правильнее будет использовать эти параметры в сложных случаях и при плохо ориентированных срезах. Более того, размер SSL измеренный при эндоскопии не всегда точен, особенно учитывая трудности с определением границ таких полипов, что в результате заканчивается частыми случаями их неполного иссечения.

Также в дистальном отделе кишки нужно учитывать вероятное наличие грыжи слизистой оболочки. Обычно она возникает из-за прохождения плотных каловых масс и повышенного давления в просвете кишки, и может стать диагностической ловушкой, т.к. врастающие толстые пучки гладкомышечных волокон могут механически сжимать основания крипт, в результате придавая им вычурный вид, что может вводить в заблуждение.

В общем, для зубчатых полипов: в правых отделах отдаем предпочтение SSL, в левых – HP, в остальных случаях пишем «зубчатый полип, без уточнения».

Конечно же, дистальные SSL и проксимальные HPсуществуют, но их морфология должна идеально соответствовать всем критериям и оцениваться она должна только на хорошо ориентированных срезах. Т.е. если мы в левом отделе кишки видим идеальную морфологию SSL c достоверно расширенным основанием более чем у одной крипты с сохранением зубчатости, можно ставить SSL. При плохой ориентации могут помочь более глубокие срезы.

Сидячее зубчатое поражение с дисплазией

В некоторых SSL дисплазия является переходным этапом прогрессии в карциному. Такой участок, обычно резко очерченный (четко отграничен) на фоне самого полипа, и демонстрирует бОльшую морфологическую гетерогенность чем в традиционной аденоме. Архитектурные аномалии включают ворсинчатый вид, удлинение крипт, скучивание крипт и их ветвление, крибриформные структуры и избыточная или сниженная зубчатость просветов крипт в сравнении с фоновым SSL. Цитологически, может присутствовать кишечная дисплазия, напоминающая дисплазию в классической аденоме. Или зубчатая дисплазия с округлыми атипичными ядрами, выраженными ядрышками, многочисленными митозами и эозинофильной цитоплазмой. Или (редко) едва различимая цитологическая атипия, включая гиперпродукцию муцина. Множественные морфологические паттерны дисплазии часто обнаруживаются в одном полипе. Утрата экспрессии MLH1 может помочь при незначительных цитологических изменениях, однако, не все диспластичные паттерны MLH1-дефицитные. Не рекомендуется стратифицировать диспластические изменения на low grade и high grade. Обычно это вызывает трудности и плохо воспроизводится в условиях гетерогенности морфологических изменений и отсутствия корреляции с утратой экспрессии MLH1.

SSL с дисплазией
SSL с дисплазией

Традиционная зубчатая аденома (TSA)

Это самый редко встречающийся вид зубчатых полипов (2%). Большая часть наблюдается в левой половине кишки, обычно они больше 5 мм полиповидные или плоские. Характерные особенности включают щелевидную зубчатость (насечки на поверхности эпителия), высокие столбчатые клетки с яркой эозинофильной цитоплазмой и вытянутые центрально расположенные ядра, фокусы эктопических крипт (которые редко обнаруживаются в плоских TSA). Большинство TSA содержат единичные бокаловидные клетки, хотя описаны варианты TSA, богатые бокаловидными клетками. Нет митозов и апоптозов. Характерная яркая эозинофилия цитоплазмы так сильно бросается в глаза, что иногда диагноз можно поставить, просто взглянув на стекло, даже без микроскопа.

Как и в случае с SSL можно обнаружить обширные зоны дисплазии. Дисплазия может быть кишечного типа или зубчатая. Описывают 3 варианта TSA, хотя они клинически незначимы: филиформная (крупные, с нитевидными ворсинками), плоская (38%, их высота менее чем в 2 раза превышает нормальную слизистую) и богатая бокаловидными клетками/муцинозная (содержит по крайней мере 50% слизистых или бокаловидных клеток). В заключении можно просто писать TSA без указания вариантов.

Таблица для структуризации информации:

-7

Источники информации и изображений: WHO (Digestive System Tumours (5th ed.), Atlas of gastrointestinal pathology, E.A. Montgomery, Gastrointestinal pathology Correlative endoscopic and histologic assessment, G.Y. Lauwers

Спасибо, что дочитали про зубчатые полипы толстой кишки, надеюсь было интересно. Если вам понравился материал, и вы хотите больше таких текстов, пожалуйста, поддержите проект
Pathologeek.ru. Здесь вы можете перевести любую сумму на его развитие или просто поставьте лайк и поделитесь статьей с друзьями!

Мой сайт и телеграм-канал