Добавить в корзинуПозвонить
Найти в Дзене

Когда 4 вместо всех или что такое имплантация All-on-4?

О методике All-on-4 сейчас много разной информации. В этой статье хочу выразить свое мнение о данном концепте лечения полного отсутствия зубов, основанное на многолетнем опыте, и дать полезные рекомендации пациентам. Концепт All-on-4 был разработан португальским ученым и практикующим клиницистом Пауло Мало, который продолжил идею создателя современной дентальной имплантации Пера-Ингвара Бранемарка о том, что вне зависимости от возраста и ситуации в полости рта, человеку нужно дать возможность вернуть все утерянные зубы и восстановить возможность нормально питаться и продолжать вести активную социальную жизнь. Суть методики заключается в том, что зубной ряд на полностью беззубой челюсти восстанавливается с помощью цельного несъемного протеза. Опорой для конструкции служат 4 зубных импланта, которые устанавливаются в определенную область челюсти и под определенными углами. Метод разработан для тех пациентов, кто по той или иной причине потерял все зубы на челюсти или же зубы несостоят
Оглавление

О методике All-on-4 сейчас много разной информации. В этой статье хочу выразить свое мнение о данном концепте лечения полного отсутствия зубов, основанное на многолетнем опыте, и дать полезные рекомендации пациентам.

"Никто не должен умирать с зубами в стакане воды" (Пер-Ингвар Бранемарк, создатель современной дентальной имплантации)
"Никто не должен умирать с зубами в стакане воды" (Пер-Ингвар Бранемарк, создатель современной дентальной имплантации)

Для чего разработана методика All-on-4?

Концепт All-on-4 был разработан португальским ученым и практикующим клиницистом Пауло Мало, который продолжил идею создателя современной дентальной имплантации Пера-Ингвара Бранемарка о том, что вне зависимости от возраста и ситуации в полости рта, человеку нужно дать возможность вернуть все утерянные зубы и восстановить возможность нормально питаться и продолжать вести активную социальную жизнь.

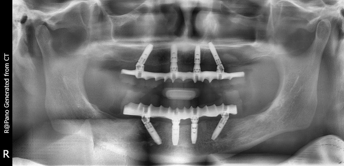
Суть методики заключается в том, что зубной ряд на полностью беззубой челюсти восстанавливается с помощью цельного несъемного протеза. Опорой для конструкции служат 4 зубных импланта, которые устанавливаются в определенную область челюсти и под определенными углами.

На снимке видно, что зубные импланты стоят под углом для обеспечения лучшей стабилизации даже при сильной атрофии кости
На снимке видно, что зубные импланты стоят под углом для обеспечения лучшей стабилизации даже при сильной атрофии кости

Кому подойдет метод?

Метод разработан для тех пациентов, кто по той или иной причине потерял все зубы на челюсти или же зубы несостоятельны и подлежат удалению.

Огромный плюс методики в том, что она работает даже в тех случаях, когда пациент много лет носил съемные протезы и за это время челюстная кость без должной нагрузки сильно атрофировалась. Стабильности удается добиться благодаря тому, что опорные зубные импланты ставятся в челюсть под определенным углом.

Как выглядят протезы All-on-4?

Чаще всего протез All-on-4 состоит из 24 зубов. Такого количества вполне достаточно, чтобы полностью восстановить жевательную функцию, а также эстетику улыбки. При этом опорные импланты хорошо справляются с возложенной на них нагрузкой, обеспечивая протезу устойчивость и отличное прилегание к десне пациента.

Если говорить о материалах самих искуственных зубов, то чаще всего их изготавливают из акрила и композита. Композитный вариант в данном случае будет более эстетичным и надежным решением.

На каких имплантах проводят All-on-4?

Многие клиники представляют методику All-on-4 как более доступный по цене вариант решения полного отсутствия зубов, соответственно и системы имплантов в такие предложения входят как правило корейские или израильские, чтобы еще больше снизить стоимость всей реабилитации. Я полностью поддеживаю желание многих клиницистов сделать современное лечение еще более доступным для большего числа пациентов. Но существует одно важное но.

Дело всё в том, что свой оригинальный концепт профессор Мало разработал специально под определенные импланты компании Nobel Biocare (Швейцария, США). Именно на данной системе методика прошла многолетние исследования и доказала свою состоятельность. Далее сработал простой закон рынка: зачем изобретать свое, если всё и так за тебя уже придумали. Таким образом, с клинической точки зрения методом All-on-4 может называться только оригинальный протокол доктора Пауло Мало, который должен быть выполнен на продукции Nobel Biocare. Да, успешные случаи применения других систем в данном протоколе имеют место быть и многие коллеги их применяют, но на сколько такие решения долговечны и что с ними будет в дальнейщем – покажет только время. Выбрать оригинал или сэкономить и выбрать копию – решение за пациентом под ответственность врача.

Мой выбор, как врача – оригинал. Для меня важно предложить пациенту только проверенный и надежный способ решения его проблемы. Наша клиника имеет сертификат от компании Nobel Biocare, подтверждающий, что мы используем только оригинальный протокол концепции и тщательно ему следуем.

Ограниченное число клиник по всему миру имеют статус сертифицированного центра All-on-4
Ограниченное число клиник по всему миру имеют статус сертифицированного центра All-on-4

Как ухаживать за протезами All-on-4?

Даже если у вас все зубы искуственные и на обеих челюстях выполнено All-on-4, это отнюдь не означает, что можно забыть о зубной щетке и пасте.

Для того, чтобы цельный протез радовал вас долгие годы и со временем не возникло никаких осложнений, гигиену полости рта нужно соблюдать регулярно. Сложного здесь ничего нет: как и естественные зубы, протезы необходимо чистить дважды в день с помощью обычной мягкой щетки и пасты. Также важно не пропускать системные визиты в стоматологию по индивидуальному графику, который составит для вас лечащий врач, исходя из нюнсов ситуации. Как правило, профессиональная гигиена пациенту с All-on-4 проводится раз в 3-6 месяцев. Во время приема протез аккуратно снимается, полностью прочищается с помощью специального раствора, затем возвращается на место. Самостоятельно дома такую процедуру естественно провести нельзя. Помимо чистки протезов доктор осмотрит полость рта, оценит состояние мягких тканей, прилегание протеза к деснам и остальные важные нюансы для долгой службы всей конструкции.

Что говорят пациенты, у которых уже стоят протезы All-on-4?

Я прошел обучение у профессора Пауло Мало и давно и успешно применяю метод в своей практике. Благодаря данной разработке удается помогать тем пациентам, которым ранее был показан только съемный протез.

География пациентов, которые приезжают к нам в клинику на All-on-4, очень широкая. Обратную связь мы собираем тщательно и внимательно от каждого.

Вот один из недавних случаев. Пациентка, которая приезжала к нам из Луганска, поделилась тем, что знакомые, видя ее новую улыбку, уверены, что она поставила себе виниры: настолько красиво и естественно смотрится ее улыбка сейчас. При этом окружающие не представляют, какое сложное лечение из-за индивидуальных особенностей ситуации мы провели на самом деле. Еще один пациент, народный артист, публичная персона, увидев себя в зеркале с новыми зубами, назвал результат просто фантастикой. Вообще, это самое ценное, когда человек, который потерял все зубы на челюсти, впервые видит свое отражение в зеркале после фиксации протезов. Эти эмоции не передать словами, их нужно видеть и чувствовать.