Добавить в корзинуПозвонить
Найти в Дзене
Ординарные заметки

Почему я патологоанатом?

С момента окончания ординатуры меня много раз поздравили словами «ну да, ну да, профессии разные важны», «странный выбор», «главное, чтобы вам нравилось», «такая красивая и внезапно такая профессия!» Люди меня жалеют и утешают, сочувствуют мне: эх, хорошая девка-то была, а теперь что? Пропадет ведь! Будет со своими трупами ковыряться... Могла бы и получше выбрать специальность, еще б в ассенизаторы пошла!… Пару лет назад писала мне одна терапевтша: я 40 лет работаю врачом, сообщила она, и вот я-то уж точно знаю, что в патологоанатомы идут только самые тупые студенты, которые не смогли просто ничего достичь и никуда больше не поступили, поэтому им и остается только что трупы резать. Я тогда дар речи потеряла… всерьез обиделась даже. Мне не надоедает писать об этой специальности, рассказывая людям чем мы на самом деле занимаемся. Я уже много лет веду этот канал + читаю блоги других врачей патологоанатомов, которые тоже без устали с утра до ночи вещают о том, кто мы такие и чем занимаемся

С момента окончания ординатуры меня много раз поздравили словами «ну да, ну да, профессии разные важны», «странный выбор», «главное, чтобы вам нравилось», «такая красивая и внезапно такая профессия!» Люди меня жалеют и утешают, сочувствуют мне: эх, хорошая девка-то была, а теперь что? Пропадет ведь! Будет со своими трупами ковыряться... Могла бы и получше выбрать специальность, еще б в ассенизаторы пошла!…

Пару лет назад писала мне одна терапевтша: я 40 лет работаю врачом, сообщила она, и вот я-то уж точно знаю, что в патологоанатомы идут только самые тупые студенты, которые не смогли просто ничего достичь и никуда больше не поступили, поэтому им и остается только что трупы резать. Я тогда дар речи потеряла… всерьез обиделась даже.

Мне не надоедает писать об этой специальности, рассказывая людям чем мы на самом деле занимаемся. Я уже много лет веду этот канал + читаю блоги других врачей патологоанатомов, которые тоже без устали с утра до ночи вещают о том, кто мы такие и чем занимаемся, дают бесчисленные интервью, участвуют в подкастах, пишут толстенные книги, снимаются в кино, и все равно находятся индивиды, которые нет-нет да и отвесят тебе, как им кажется, уморительный камент про трупорезов, или что-то вроде «мдаа, ваших-то пациентов уже и не полечишь», или в очередной расскажут мерзкий анекдот (про гречку), или отпустят другую какую «искрометную» шутку. Грустно, товарищи! Грустно, что народ у нас не в теме вообще, как будто в каких-то шорах сидит, а по сторонам оглянуться религия не позволяет… и это несмотря на все наши старания. Глупо, конечно, на таких людей обижаться, ведь так они просто-напросто демонстрируют только свою неосведомленность…

Но я вот горжусь своей профессией! Врач-патологоанатом это звучит гордо! Это врач врачей, лекарь лекарей, детектив и судья, он знает все о болезнях и не только их морфологические проявления. Без нас хирурги и онкологи (в основном они, наши любимые коллеги) просто не поставят диагноз и не поймут правильно ли они лечили или будут лечить пациента. Патологоанатом – серый кардинал медицины (особенно онкологии), без него никуда, но о его заслугах никто и не слышал.

Я горжусь тем, что я теперь патологоанатом. Я могу поставить (иногда, правда, не без помощи) диагноз окончательный, если это вскрытие, или прижизненный, если речь идет об операционнике или биопсии, по результатам которых врач-онколог пойдет лечить пациента. Живого пациента! И прижизненная диагностика занимает у нас 90% рабочего времени. 90% наших пациентов – ЖИВЫЕ! И они ждут нашего патологоанатомического заключения.

Кто хочет поработать?
Кто хочет поработать?

Есть, конечно, скоропомощные городские больницы, где 70-80% это вскрытия, а остальное биопсии. Вскрытия там в основном инфаркты и инсульты, или другая общая патология. Бывает там у одного врача по 7-8 (а то и больше) вскрытий в день. А есть другие больницы, например, онкоцентры. Там очень мало вскрытий – всего 50-60 в год, а все остальное это работа с операционным материалом и биопсиями. Если работает 5-6 врачей и все вскрывают по очереди, то на врача приходится около 10 вскрытий в год. Все остальное время врач-патологоанатом смотрит в микроскоп. Я даже не очень-то и обижаюсь, когда нас называют лабораторными крысами, хотя и этот эпитет также далек от истины.

Так что же такое операционный материал и биопсии и как именно мы (патологоанатомы) их исследуем?

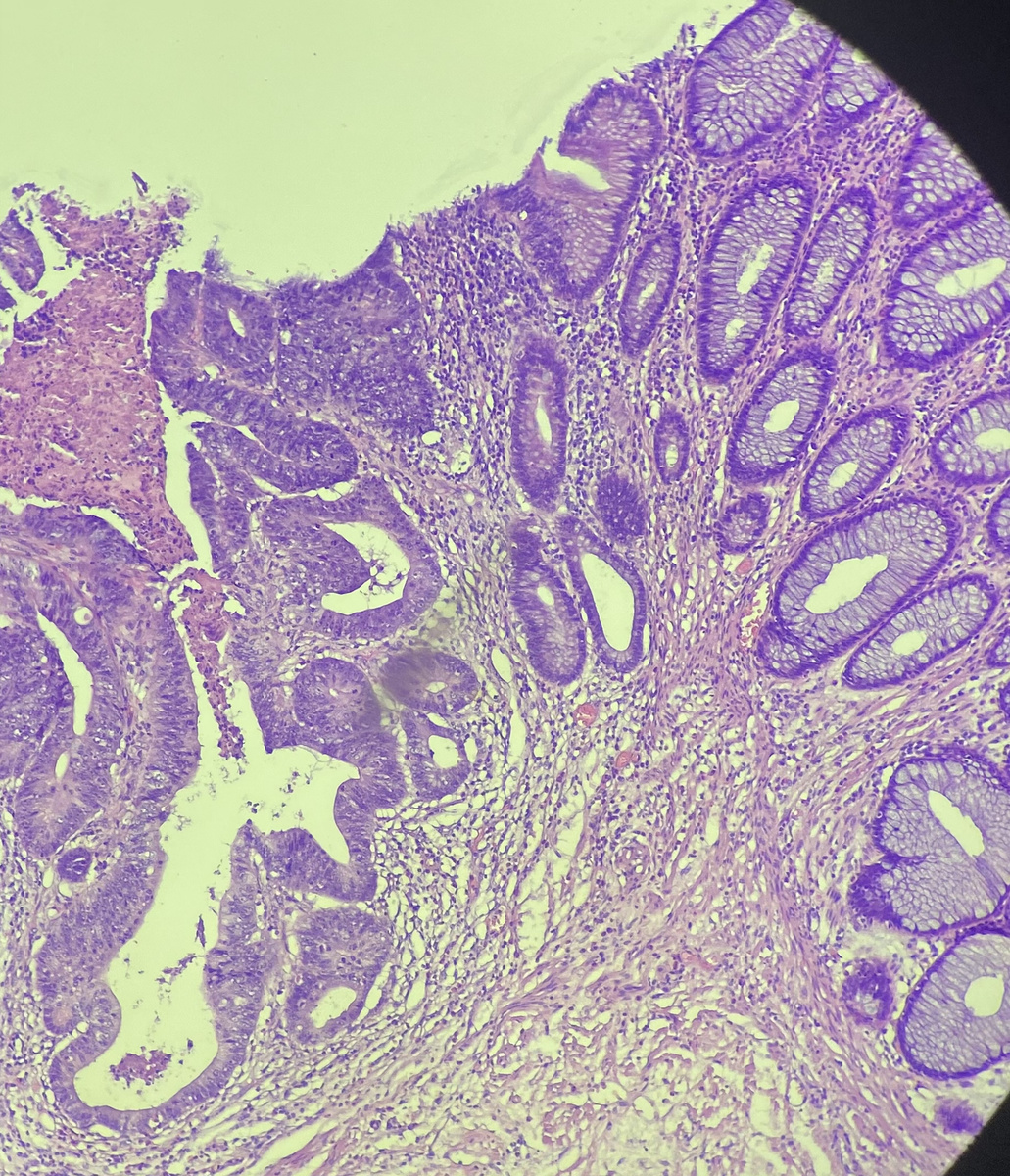
Допустим у пациента на плановой колоноскопии обнаружили в сигмовидной кишке опухоль. Эндоскопист взял несколько кусочков этой опухоли и отправил их (куда-куда?) в патологоанатомическое отделение на гистологию. Этот материал называется биопсия. Кто думаете будет смотреть эти кусочки под микроскопом? Именно врач-патологоанатом. Этот врач знает как под микроскопом выглядит в норме любой орган. Т.е. тут я рассказываю про кишку, просто для примера. Это может быть биопсия молочной железы, почки, печени, простаты, мочевого пузыря, легкого – всего чего угодно. Зная, как выглядит орган в норме, патологоанатом способен увидеть патологию этого органа. Любую. Не всегда это легко, прямо скажем, даже очень сложно, особенно начинающему врачу. Но суть от этого не меняется. Патолог смотрит под микроскопом кусочек взятой слизистой кишечника, оценивает его, описывает патологию и отдает заключение лечащему врачу или непосредственно пациенту.

Биоптат кишки, тут есть рак
Биоптат кишки, тут есть рак

Иногда пациенты к нам сами приходят и приносят нам свои стекла, сделанные в другой больнице. Иногда они просят объяснить, что мы там видим и что все это значит. Мы их стекла смотрим и подтверждаем или опровергаем выставленный ранее диагноз. Это называется пересмотр.

Вот так выглядят стекла
Вот так выглядят стекла

Вернемся к нашему случаю: если патологоанатом обнаружил в кишке злокачественную опухоль (и ее подтвердили при пересмотре), то пациента (скорей всего) направят на операцию. В данном конкретном случае на левостороннюю гемиколэктомию – т.е. пациенту удалят половину толстой кишки. Почему просто не удалить опухоль? Потому что такие операции делают с таким широким отступом, чтобы захватить всю опухоль, даже если какая часть опухоли не видна невооруженным взглядом, чтобы ни одной раковой клеточки не осталось в организме. Удаленный участок кишки прямо из операционной отправляется к кому бы вы думали? Да-да, снова к патологоанатому. И такой материал называется операционным.

Так выглядит врач на вырезке
Так выглядит врач на вырезке

Патологоанатом приходит на вырезку, на которой его ждет не только эта кишка, но и другие органы или комплексы органов или какие-то отдельные их части от разных пациентов. Врач весь материал оценивает, описывает, берет нужные ему фрагменты, иногда красит отдельные участки специальной гистологической тушью, чтобы через пару дней сырой материал стараниями лаборантов превратился в микропрепараты (стекла, слайды), которые он уже будет смотреть под микроскопом. Микропрепараты врач снова смотрит, видит патологию, описывает все патологические процессы, если это опухоль он пишет какая это опухоль, доброкачественная или злокачественная, насколько она злокачественная (да, буквально степень злокачественности), из какой ткани она происходит, т.е. что стало ее источником, на какой она стадии и какие структуры и органы вовлекает, какие-то ее особенности и последнее, но не по значимости, края резекции. Это очень важный момент. Помните я выше писала, что хирурги делают большой отступ от самой опухоли и захватывают приличную часть здоровой кишки? Края здоровой кишки – это края резекции (или края препарата, кому как больше нравится), они тотально исследуются врачом. Потому что если там обнаружатся опухолевые клетки, это будет значить, что часть опухоли осталась в организме пациента. Обычно это сильно влияет на прогноз, а значит и на тактику лечения. Вы же еще не забыли, что пациент все еще жив и ждет результатов исследования? В общем, в своем заключении, патологоанатом пишет тип опухоли, стадию, степень злокачественности, статус краев резекции и дополнительные данные, в зависимости от материала. Опираясь на эти данные, онколог выбирает тактику лечения пациента. От чего зависит дальнейшая судьба пациента. И когда доброжелатели пишут «ну вы-то уж точно никому не навредите» ты думаешь, ага, а если я неправильно стадию опухоли поставлю и пациента не так лечить будут? А если я вообще опухоль пропущу? Или на какой-то процесс подумаю, что это рак? Знаете ли вы как это страшно поставить не тот диагноз?

По началу многие мои друзья и знакомые, конечно, были поражены, и точно также пытались навесить ярлыки, а некоторые даже старались отговорить меня от этой затеи. Но теперь-то они знают, как и читатели моего канала, чем на самом деле занимается врач-патологоанатом. За каждым моим заключением стоит живой пациент, который ждет мой вердикт. Он переживает, волнуется, боится, скорей всего он думает о самом страшном и сердце его замирает. Возможно, он уже начал подводить итоги. Но скорей всего его жизнь просто останавливается до момента получения результатов гистологии. Если рака нет, игра продолжается. А если рак обнаружили – это уже совсем другая история…

Про вскрытия поговорим в другой раз.

Спасибо, что дочитали, надеюсь вам понравилось. Если вы хотите поддержать проект Pathologeek.ru - здесь вы можете перевести любую сумму на его развитие и на новенький микроскоп для его автора, или просто поставьте лайк и поделитесь статьей с друзьями!

Мой сайт и телеграм-канал.