Добавить в корзинуПозвонить
Найти в Дзене
Parodoctor

Пока «челюсть не отвалится», мужчина не пойдёт к стоматологу. "Всё на 6", верх выдвинулся - муки выбора правильного протеза

Многие дамы знают, как сложно уговорить мужа сходить к стоматологу - простую пломбу поставить. Будет кряхтеть и отпираться, пока челюсть гнить не начнёт. Да и тут - прополощет рот чем-нибудь ядрёным да выпьет таблеток каких-нибудь. Авось пройдёт. Удивительно, но часто проходит!) Тем сложнее представить, что кто-то решается на имплантацию. На 6 имплантатов разом! Прилетает самостоятельно на операцию, не кричит, не убегает. Значит, человек видит смысл в процедуре. Принимает для себя тот факт, что ради качества жизни можно отодвинуть страхи. Пережить и перетерпеть. У женщин с этим проще - слишком много кровавых и болючих приколов для них придумала природа в норме. Дети там, роди попробуй. Но всё забывается, идут за новыми. Так и с зубами. У мужчин подобной забавы нет по жизни. Аппендицит, может, из потрясений наиболее часто встречающихся. Но то и с дамами приключается. Поэтому, имхо, мужчинам решиться сложнее. Боятся они жёстче, я это вижу часто. Подвиг, как ни крути. Женщины - не обижа

Многие дамы знают, как сложно уговорить мужа сходить к стоматологу - простую пломбу поставить. Будет кряхтеть и отпираться, пока челюсть гнить не начнёт. Да и тут - прополощет рот чем-нибудь ядрёным да выпьет таблеток каких-нибудь.

С просторов сети интернет
С просторов сети интернет

Авось пройдёт. Удивительно, но часто проходит!)

Тем сложнее представить, что кто-то решается на имплантацию. На 6 имплантатов разом! Прилетает самостоятельно на операцию, не кричит, не убегает. Значит, человек видит смысл в процедуре. Принимает для себя тот факт, что ради качества жизни можно отодвинуть страхи. Пережить и перетерпеть.

У женщин с этим проще - слишком много кровавых и болючих приколов для них придумала природа в норме. Дети там, роди попробуй. Но всё забывается, идут за новыми.

Так и с зубами.

У мужчин подобной забавы нет по жизни. Аппендицит, может, из потрясений наиболее часто встречающихся. Но то и с дамами приключается.

Поэтому, имхо, мужчинам решиться сложнее. Боятся они жёстче, я это вижу часто. Подвиг, как ни крути. Женщины - не обижайтесь.

Сдача временного адаптационного протеза "всё на 6", нижняя челюсть

Пациент прилетает на операцию самостоятельно из другого города не впервые - был уже синус-лифтинг, теперь вот тоталили низ.

Первой на связь вышла супруга, так как именно она наткнулась на блог. Ситуация сложная, но мы предложили решение, а смелый мужчина согласился на экзекуции! В первый раз напряжён был сильно, зато теперь всё у него хорошо, а будет только лучше. Стоило лишь решиться разок.

Писала про саму операцию:

Ровно 7 дней прошло, пора расставаться (на некоторое время).

Из промежуточного этапа - примерка постановки на воске, этап не всегда необходимый, по потребности в видению доктора с техником.

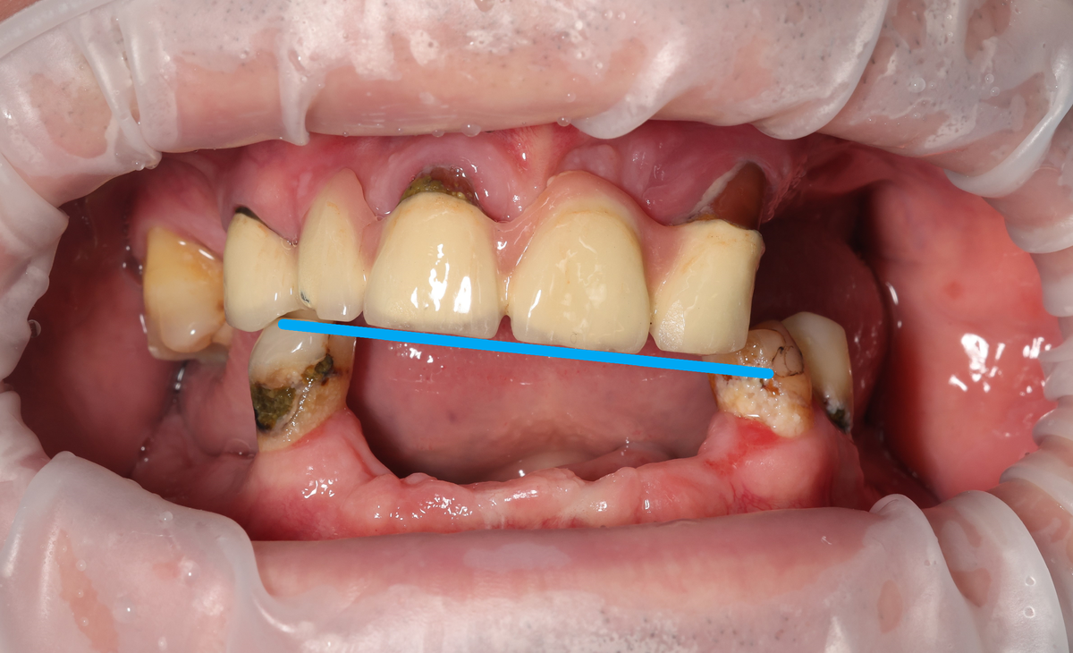
Особенность - зубы верхней челюсти (с коронками) из-за отсутствия зубов на нижней челюсти и пародонтита выползли из кости, покосились забором:

Мост уполз
Мост уполз

И это, скажу я вам, проблема.

Вот примерка воскового протеза:

Клык (зуб 3.3) ни туда, ни сюда. Получалась какая-то несуразица.

Варианта для исправления 2:

  • делать кривой нижний протез;
  • выравнивать (пилить) зубы верхнего моста.

Выбрали точить верхние зубы - потому что их будем удалять через некоторое время, устанавливая такой же тотал, как и снизу. Логично в такой ситуации не клепать неликвидный низ, а сделать его полноценным.

Пациент против не был.

Протез с розовой десной (FP3), так как дефицит кости имеется. Розовой пластмассой мы его нивелируем. И это НОРМАЛЬНО. Рабочая тема, проверенная.

А вот и постановка в полость рта:

Как выглядит десна без протеза через неделю после операции показываю в своём тг канале - вот тут.

Полюбуемся на мужчину:

До и после
До и после

Всё удобно, чётко, симпатично. И всё терпимо! Ещё никто не убегал и не кричал)

Наши тотальные работы можно посмотреть в подборке:

Тотальные работы на имплантатах. | Parodoctor | Дзен

С уважением, Лежачёва Наталия Александровна, главный врач стоматологии Пародент, СПб.