Добавить в корзинуПозвонить
Найти в Дзене

Курица не птица - стоматолог не врач?! Зачем на самом деле нужна операция по исправлению прикуса?

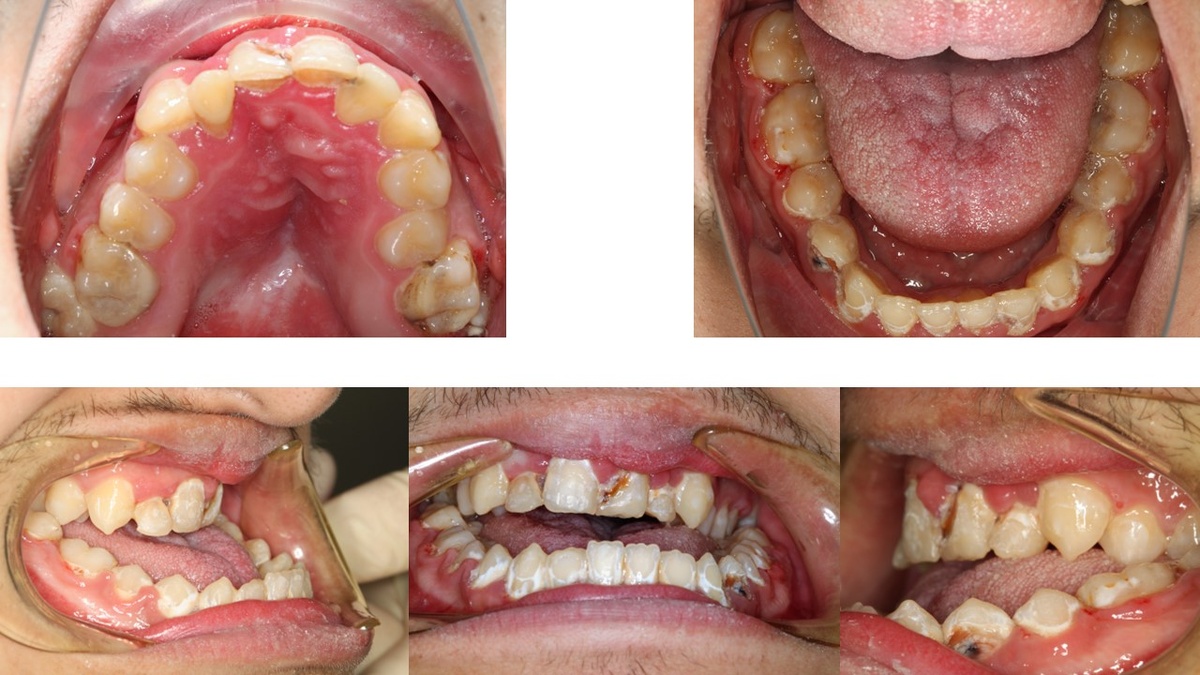
Ну опять мы сбились с темы. Философские измышления врач-пациент-врач... Давайте по делу! С жалобами на ВСЁ! На прикус, на лицо, на улыбку, на зубы. Но не на жизнь! Что согласитесь радует! Он раньше лечился на брекетах, но почему-то не помогло. Зато помогло развитию кариесов прямо тотально на всех зубах! (Здесь и далее привожу размытые фото. При желании можно сделать "свайп" вправо. "Небольшой" экстремальный вариант мезиального прикуса. Почему так случилось? Потому что у пациента врожденная патология, под названием "расщелина твердого неба"! Что это значит? Это значит что с рождения не срослись правая и левая половины верхней челюсти. Дефект закрыли мягкими тканями давным давно. В противном случае он бы просто погиб. Но кости там не было и никогда уже не будет! Закрытие костного дефекта верхней челюсти приводит к рубцовым изменениям слизистой, что и является фактором формирования аномалии прикуса. Можно ли этого избежать?? К сожалению нет! Правильно! Брекеты поставим! Предварите
Оглавление

Ну опять мы сбились с темы. Философские измышления врач-пациент-врач... Давайте по делу!

Молодой человек обратился к нам с жалобами....

С жалобами на ВСЁ!

На прикус, на лицо, на улыбку, на зубы. Но не на жизнь! Что согласитесь радует! Он раньше лечился на брекетах, но почему-то не помогло. Зато помогло развитию кариесов прямо тотально на всех зубах! (Здесь и далее привожу размытые фото. При желании можно сделать "свайп" вправо.

"Небольшой" экстремальный вариант мезиального прикуса.

Почему так случилось?

Потому что у пациента врожденная патология, под названием "расщелина твердого неба"!

-3

Что это значит? Это значит что с рождения не срослись правая и левая половины верхней челюсти. Дефект закрыли мягкими тканями давным давно. В противном случае он бы просто погиб. Но кости там не было и никогда уже не будет!

-4

Закрытие костного дефекта верхней челюсти приводит к рубцовым изменениям слизистой, что и является фактором формирования аномалии прикуса.

Можно ли этого избежать?? К сожалению нет!

Дефект костной ткани на верхней челюсти
Дефект костной ткани на верхней челюсти

Что будем делать?

Правильно! Брекеты поставим! Предварительно правда все кариесы в количестве штук 20 полечим. Ну и спланируем лечение в целом. Будет не лишним.

Конечно же в рамках подготовки под челюстно-лицевую хирургию.

И когда пациент будет готов мы эту челюстно-лицевую хирургию проведем!

-10

Прикус стал получше. Ну и лицо конечно тоже поменялось.

Немного поработали (как выразился один из подписчиков "отфотошопили") и сняли брекеты

Прикус после лечения
Прикус после лечения

Пациент побрился, что безусловно сказалось на эстетике конечного результата

-12

Ниже представлена динамика до и после лечения

-13

А почему недолечили то??

Здесь 2 аспекта. Объективный и субъективный.

Объективный аспект

Чтобы восполнить костный дефект необходимо проводить трехмерную реконструкцию костной ткани и последующую имплантацию. Технически в этой ситуации это крайне затруднительно, а точнее практически невозможно.

Другой вариант: изготовление съемного протеза. Что согласитесь так себе идея в 20 лет.

Ну или альтернатива это сделать мостовидный протез с опорой на зубы рядом с дефектом. Тоже так себе вариант так как необходимо "точить здоровые зубы". Пока мы об этом всем размышляли пациент уехал к себе на родину и более не вернулся. Почему?

Субъективный аспект

Закончились деньги. Да операция была проведена по квоте. Да мы поставили брекеты почти по себестоимости. Но ведь надо еще летать и здесь (в Москве) жить.

Результат приемлем и пациента он устроил. Могли бы мы его довести до конца? Безусловно!

-15

Резюме.

Недавно в ответ на статью о конфликтах врачей и пациентов

получил интересный комментарий: что стоматолог не вправе рассуждать о взаимоотношениях врача и пациента так как он в принципе недоврач. А если ортодонт, так и вообще крахобор меркантильный.

Может Вы и правы! Но я лично так не думаю.

Все зависит от конкретной ситуации. Конкретно здесь мы применили не только свои знания, не только спланировали и реализовали совместные действия врачей различной профильной направленности. Мы еще и неслабо рискнули (а точнее рискнул хирург), так как прямых рекомендаций по лечению таких экстремальных вариантов скелетных деформаций найти ооочень затруднительно.

Ну а то что не довели случай до конца?... Это факт. Но не наша в том вина.

Напишите пожалуйста Ваши мысли в комментариях и будьте здоровы!

Мы обязательно ответим каждому. Так же ставьте лайки 👍, нам будет приятно, что вы оценили нашу статью. Подписывайтесь на наш канал, здесь будет много интересного.

Наши сайты: AMDybov.ru Orthochild.ru Gnathica.ru Gorstomcentr.ru

Тел: +74995770307; Whatsapp, Telegram: +79771113611

Москва ул. Генерала Ермолова 10/6 "ГорСтомЦентр"

Автор статьи: доктор медицинских наук, доцент Дыбов Андрей Михайлович.