Найти в Дзене
Домашняя лаборатория

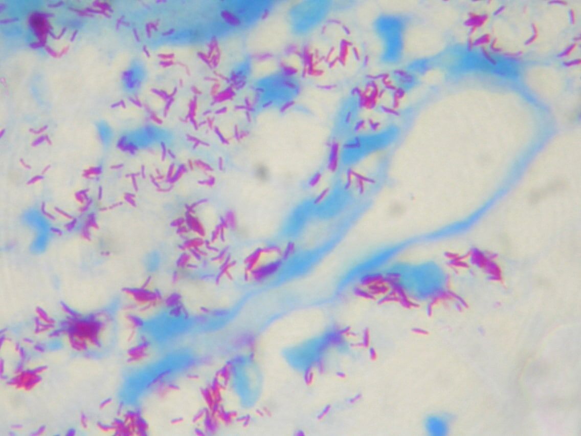
Выявление кислотоустойчивых микобактерий

Метод микроскопии позволяет дать заключение лишь о наличии или отсутствии в препарате кислотоустойчивых микроорганизмов, что объясняется существованием в природе большого числа микроскопически неотличимых от микобактерий туберкулеза нетуберкулезных кислотоустойчивых бактерий. Кислотоустойчивость при микроскопическом исследовании в сочетании с морфологическим показателем (палочковидные формы) способствует выявлению микобактерий, не доказывая, однако, что речь идет о микобактериях туберкулеза. При микроскопическом исследовании препаратов морфологически очень трудно отличить кислотоустойчивые сапрофитные микобактерии от туберкулезных. Вероятность того, что выявленные кислотоустойчивые микобактерии являются микобактериями туберкулеза, зависит также от полученного для исследования материала и от способа его получения. Например, при исследовании мочи вероятность, что обнаруженные КУМ являются сапрофитными микобактериями, значительно выше, чем при исследовании мокроты. Следует также отметить,

Метод микроскопии позволяет дать заключение лишь о наличии или отсутствии в препарате кислотоустойчивых микроорганизмов, что объясняется существованием в природе большого числа микроскопически неотличимых от микобактерий туберкулеза нетуберкулезных кислотоустойчивых бактерий.

Кислотоустойчивость при микроскопическом исследовании в сочетании с морфологическим показателем (палочковидные формы) способствует выявлению микобактерий, не доказывая, однако, что речь идет о микобактериях туберкулеза. При микроскопическом исследовании препаратов морфологически очень трудно отличить кислотоустойчивые сапрофитные микобактерии от туберкулезных.

Вероятность того, что выявленные кислотоустойчивые микобактерии являются микобактериями туберкулеза, зависит также от полученного для исследования материала и от способа его получения. Например, при исследовании мочи вероятность, что обнаруженные КУМ являются сапрофитными микобактериями, значительно выше, чем при исследовании мокроты.

Следует также отметить, что кислотоустойчивость микобактерий не является фиксированным и обязательным свойством клетки и что в начальной фазе своего развития культура микобактерий может содержать некислотоустойчивые формы.