Добавить в корзинуПозвонить
Найти в Дзене

Волшебство ортодонтии! Сохраняем ВСЁ! Даже "восьмерки"! 7 лет наблюдения

Людей бросает в дрожь от одной мысли, что можно что-то потерять! Лучше не приобрести, чем потерять свое! А если речь идет про зубы, так и подавно! А ортодонты!? Они совсем не понимают, что творят! Удаляют здоровые зубы направо и налево! Разве так можно? И ради чего? (Об этом здесь) В смысле? А что так не стабильно?? Ну на самом деле Да! Нестабильно! Стабильность перемещения зубов - это проблема ортодонтии №1! Они дружно возвращаются в первоначальную позицию! И даже ретейнеры не всегда спасают! Но почему? Потому что нельзя впихнуть невпихуемое, даже если очень хочется! Но не всегда! Смотрим как это выглядит. Сильно неровные зубы и сильно плохая гигиена! Кошмар! Наверху миллиметров 10 не хватает! Внизу где-то 8 мм! Где столько найти? Опять "Карательная ортодонтия"??? (как выразилась одна из подписчиц в комментариях к прошлой статье!). Сейчас опять зубы все повыдергивают?! Модели там всякие, снимки посчитали! ИИИ??!! Правильно! Поставили брекеты! Начали все это дело ровнять! Каких-то
Оглавление

Людей бросает в дрожь от одной мысли, что можно что-то потерять! Лучше не приобрести, чем потерять свое! А если речь идет про зубы, так и подавно!

А ортодонты!? Они совсем не понимают, что творят! Удаляют здоровые зубы направо и налево! Разве так можно? И ради чего? (Об этом здесь)

И действительно. Ради чего?

  • Ради получения места конечно же!
  • ИИИ стабильности результата!

В смысле? А что так не стабильно??

Ну на самом деле Да! Нестабильно!

Стабильность перемещения зубов - это проблема ортодонтии №1!

Они дружно возвращаются в первоначальную позицию! И даже ретейнеры не всегда спасают! Но почему?

Потому что нельзя впихнуть невпихуемое, даже если очень хочется!

Но не всегда! Смотрим как это выглядит.

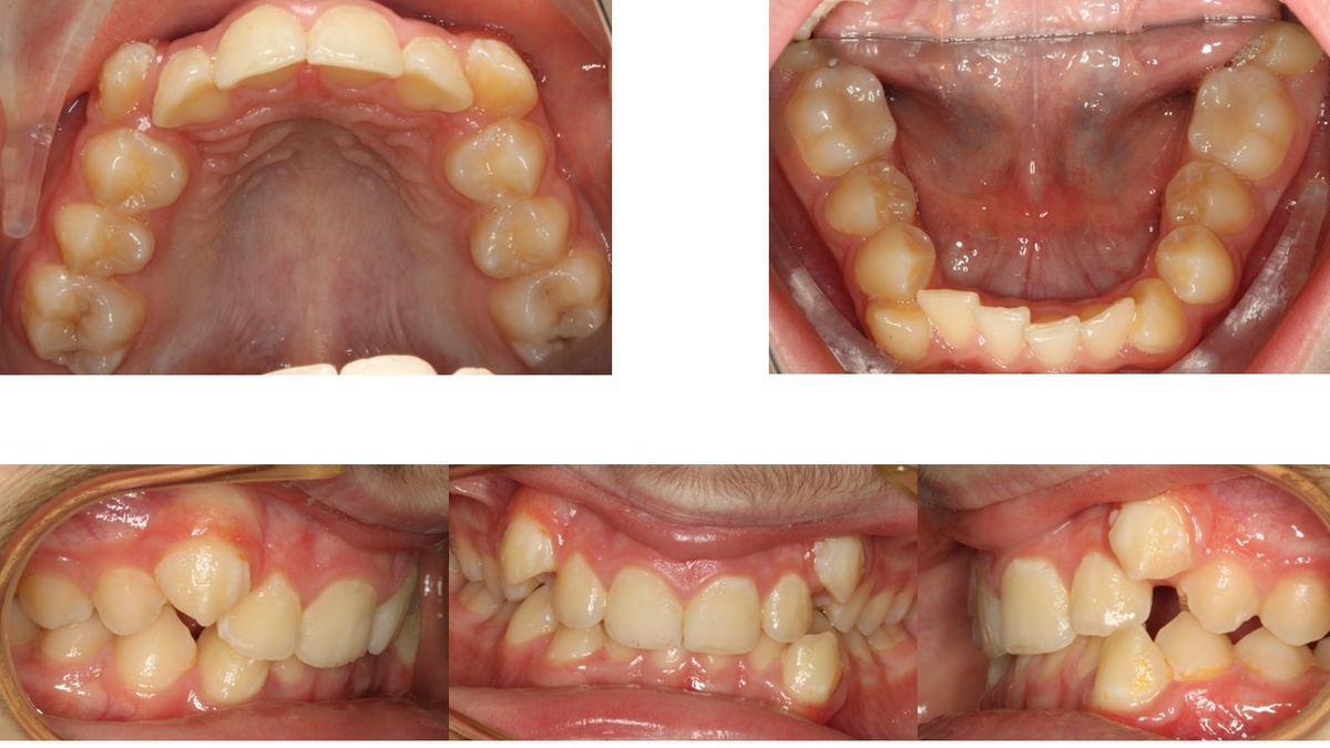
Вот такой пациент обратился к нам 7 лет назад

Сильно неровные зубы и сильно плохая гигиена!

-2

Кошмар!

Наверху миллиметров 10 не хватает!

Внизу где-то 8 мм!

Где столько найти? Опять "Карательная ортодонтия"??? (как выразилась одна из подписчиц в комментариях к прошлой статье!). Сейчас опять зубы все повыдергивают?!

Ну мы ребята правильные, мы сначала сделали диагностику!

Модели там всякие, снимки посчитали!

ИИИ??!! Правильно! Поставили брекеты!

-3

Начали все это дело ровнять!

ИИИ, О чудо!

До и после ортодонтии
До и после ортодонтии

Каких-то 1,5 года и все зубы ровные! Вот что значит современная медицина! Наконец-то! Победа!!!))

-5

И улыбается теперь классно! И зубы чистить начал!

А профиль? Профиль улучшился!) Точно Вам говорю!))

-6

А как же стабильность?

Прошло 5 лет после снятия системы! Идеально!

5 лет динамического наблюдения!
5 лет динамического наблюдения!

-8

Красавец мужчина!

И стабильно! И быстро! И без удалений! Ну круто же! Сразу бы так!

Так! Где нашли место?? Признавайтесь!

  • Может расширяли?? НЕТ!
  • Ну ему зубы точно не удаляли!
  • ААА! Шлифовали зубы по бокам?? (стриппинг называется!) Тоже НЕТ!
  • Может назад зубы отодвигали (дистализировали)?? НЕТ!
  • И что даже "восьмерки" ему НЕ удаляли??! НЕТ! Не удаляли!
  • Так как же тогда?? Волшебные брекеты? НЕТ! Обычные!
-9

В чем тогда подвох??

Да нет никакого подвоха! Все честно! Ему просто повезло!)

В смысле повезло??! На 8 мм дефицита пространства повезло!

Да! Все верно! Повезло на 8 мм дефицита пространства! Благоприятные исходные диагностические данные!

Тогда почему всех нельзя так лечить?? Вдруг им тоже должно повезти?

-10

Это зависит от диагностики!

  • Нет волшебных брекетов!
  • Нет волшебных аппаратов!
  • Нет волшебных методик!
  • Нет волшебных клиник и докторов!
Есть знания врача, опыт и немного удачи! Там где можно зубы спасти, там их спасают! Где требуется удалить - там удаляют!

Не стоит вводить людей в заблуждение и искать волшебство, там где его НЕТ!

Хотя порой и сам начинаешь в него верить!)))

Пожалуйста, напишите, что вы думаете об этом в комментариях.

Мы обязательно ответим каждому. Так же ставьте лайки 👍, нам будет приятно, что вы оценили нашу статью. Подписывайтесь на наш канал, здесь будет много интересного.

Наши сайты: AMDybov.ru Orthochild.ru Gnathica.ru Gorstomcentr.ru

Тел: +74995770307; Whatsapp, Telegram: +79771113611

Москва ул. Генерала Ермолова 10/6 "ГорСтомЦентр"

Автор статьи: доктор медицинских наук, доцент Дыбов Андрей Михайлович.