Добавить в корзинуПозвонить
Найти в Дзене
В плюсе

Черная полоса: уволили и сломала ногу

Как в дурацком фильме.
Во вторник на удаленной работе объявили, что с 1 сентября всех сокращают. Работала в редакции сайта много лет, это была очень хорошая подработка. Все банально - год назад сменился владелец, привел нового менеджера с кучей "чудесных идей", владелец вбухал в них солидные деньги, но сайт не то, что взлетел, он стал стремительно падать. В итоге виноватыми оказались мы, исполнители, хотя не раз и не два намекали, что идеи никуда не годятся. А в субботу поехала кататься на велосипеде в парке, неудачно свернула и грохнулась на бок. Плечи и ребра спас руль, а вот нога сильно болела. Я сначала думала отлежаться, но мама посоветовала все же сходить в травм.пункт. Сходила, сделали рентген, диагноз - закрытый перелом основания 5 плюсневой кости правой стопы без смещения. Такой перелом еще называется "перелом Джонса". Тут же наложили гипс и сказали не наступать на ногу. О своем опыте посещения травм.пункта расскажу в следующий раз. Там есть свою нюансы. Одно радует, многие к

Как в дурацком фильме.
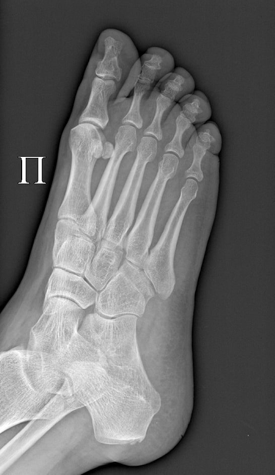
Во вторник на удаленной работе объявили, что с 1 сентября всех сокращают. Работала в редакции сайта много лет, это была очень хорошая подработка. Все банально - год назад сменился владелец, привел нового менеджера с кучей "чудесных идей", владелец вбухал в них солидные деньги, но сайт не то, что взлетел, он стал стремительно падать. В итоге виноватыми оказались мы, исполнители, хотя не раз и не два намекали, что идеи никуда не годятся.

А в субботу поехала кататься на велосипеде в парке, неудачно свернула и грохнулась на бок. Плечи и ребра спас руль, а вот нога сильно болела. Я сначала думала отлежаться, но мама посоветовала все же сходить в травм.пункт. Сходила, сделали рентген, диагноз - закрытый перелом основания 5 плюсневой кости правой стопы без смещения. Такой перелом еще называется "перелом Джонса". Тут же наложили гипс и сказали не наступать на ногу. О своем опыте посещения травм.пункта расскажу в следующий раз. Там есть свою нюансы.

-2

Одно радует, многие книги о личном успехе начинаются с таких вот историй - сначала всё рушится, но потом открывается дверь для новых возможностей. Буду верить! И искать новую подработку.