Найти в Дзене
Блог стоматолога СПб

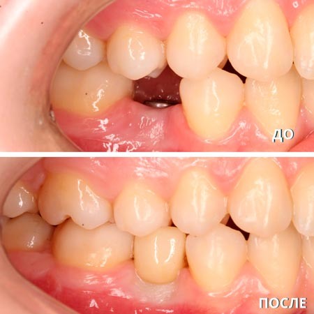
Как выглядит имплант зуба?

Медицина за последнее время шагнула далеко вперед, и сейчас есть масса возможностей сделать свою улыбку идеальной. Один из методов, который позволяет это осуществить — имплантация. Имплантация — это хирургическая операция, в результате которой в костную ткань челюсти устанавливается имплант, а сверху изготавливается коронка. Искусственный зуб имеет такую же конструкцию, как и ваш естественный зуб: имплант — корень, и коронка над десной. Из чего состоит конструкция имплант+коронка? Итак, имплант с коронкой выглядит, как ваш собственный зуб. Поэтому так важна тщательная подготовка и планирование этой операции. Для того, чтобы доктор учел все ваши анатомические и функциональные особенности. Консультация по имплантации в СПб + КТ бесплатно. Запишитесь по ссылке https://vk.cc/cw5Mxn , либо оставьте заявку в форме https://clck.ru/3AED5G Прежде чем мы перейдем к детальному рассмотрению имплантов, давайте разберемся, что же вообще такое имплантация! Как мы уже говорили, имплантация — это опера
Оглавление

Медицина за последнее время шагнула далеко вперед, и сейчас есть масса возможностей сделать свою улыбку идеальной. Один из методов, который позволяет это осуществить — имплантация.

Имплантация — это хирургическая операция, в результате которой в костную ткань челюсти устанавливается имплант, а сверху изготавливается коронка. Искусственный зуб имеет такую же конструкцию, как и ваш естественный зуб: имплант — корень, и коронка над десной.

Из чего состоит конструкция имплант+коронка?

  • Имплант. Это стержень из определенного материала ( это мы рассмотрим чуть ниже), который устанавливается во время операции в кость челюсти. Именно основание импланта обеспечивает устойчивость всей дальнейшей конструкции.
  • Абатмент. Это элемент, который соединяет коронку и имплант. Он передает жевательную нагрузку от коронки или протеза на имплант и костную ткань.
  • Коронка. Это внешняя часть конструкции, которая имитирует естественную коронку зуба. Она изготавливается под цвет и форму ваших зубов.

Итак, имплант с коронкой выглядит, как ваш собственный зуб. Поэтому так важна тщательная подготовка и планирование этой операции. Для того, чтобы доктор учел все ваши анатомические и функциональные особенности.

В итоге, вы увидите лишь коронку в полости рта, которая ничем не будет отличаться от ваших собственных зубов.
В итоге, вы увидите лишь коронку в полости рта, которая ничем не будет отличаться от ваших собственных зубов.
Консультация по имплантации в СПб + КТ бесплатно. Запишитесь по ссылке https://vk.cc/cw5Mxn , либо оставьте заявку в форме https://clck.ru/3AED5G

Что значит имплантация зубов?

Прежде чем мы перейдем к детальному рассмотрению имплантов, давайте разберемся, что же вообще такое имплантация!

Как мы уже говорили, имплантация — это операция по установке импланта. Какие виды имплантации есть?

  • Классическая двухэтапная имплантация — во время такой операции сначала проводится удаление зуба, если это необходимо, после заживления лунки доктор устанавливает имплант, и после полной остеоинтеграции (приживления) импланта, изготавливают коронку или протез.
  • Одномоментная имплантация — совмещение удаления зуба и постановки импланта в одно посещение. Далее есть вариации: ушивание десны и установка протеза лишь после полной остеоинтеграции импланта (приживления). Либо установка временного протеза с немедленной нагрузкой. Это значит, что в течение первых 3-7 дней после операции на имплант устанавливают временную коронку или протез, а по истечении 3-6 месяцев временный протез меняют на постоянный.
  • Операции all-on-4 или all-on-6 используются для беззубых челюстей, либо в случае, когда те зубы, что остались в полости рта, необходимо удалить. Такие методики подразумевают восстановление всех зубов на челюсти с помощью всего лишь 4х или 6 имплантов. На них также устанавливают временный протез, который затем меняют на постоянный.

Но всегда ли можно этот имплант поставить? В каких случаях можно или нельзя? Отсюда вытекает вопрос о показаниях и противопоказаниях к имплантации.

Показания к имплантации:

  • Отсутствие одного зуба.
  • Отсутствие нескольких зубов в разных отделах челюсти.
  • Множественное отсутствие зубов или их полное отсутствие (адентия).
  • Сильная убыль (атрофия) костной ткани и невозможность ношения съемных протезов.
  • Заболевания десен, такие как пародонтит и пародонтоз.

Да, в некоторых случаях есть возможность поставить коронки или съемные протезы. Но! Под коронки необходимо обтачивать соседние зубы. Иногда это абсолютно здоровые интактные зубы, зачем же их обтачивать? Съемный протез приносит массу неприятных ощущений от рвотного рефлекса из-за перекрытия неба до выпадения протеза при разговоре или во время приема пищи. Поэтому наилучшим вариантом в таких случаях является именно имплантация.

Доктор уже на первом приеме сможет выявить показания или противопоказания к операции в вашем индивидуальном случае.
Доктор уже на первом приеме сможет выявить показания или противопоказания к операции в вашем индивидуальном случае.
Консультация по имплантации в СПб + КТ бесплатно. Запишитесь по ссылке https://vk.cc/cw5Mxn , либо оставьте заявку в форме https://clck.ru/3AED5G

Противопоказания к имплантации

Противопоказания к имплантации делятся на две группы: абсолютные и относительные. Абсолютные — это те состояния организма, при которых ни в коем случае нельзя ставить имплант. Относительные — те факторы, после устранения которых, возможно провести операцию.

Абсолютные противопоказания:

  • Детский возраст;
  • Нарушение свертываемости крови;
  • Сахарный диабет в декомпенсированной форме;
  • Обострение хронических системных заболеваний: сердечно-сосудистой системы, эндокринной или центральной нервной системы;
  • Заболевания почек и печени в декомпенсированной форме;
  • Злокачественные онкологические заболевания, которые не позволяют провести операцию имплантации;
  • Иммунодефицитные состояния.
  • Состояние после химиотерапии или лучевой терапии.

Относительные противопоказания:

  • Неудовлетворительная гигиена полости рта;
  • Беременность и период лактации;
  • ОРВИ в обострении;
  • Обострение герпетической инфекции;
  • Кариес и его осложнения;
  • Пародонтит, пародонтоз или гингивит;
  • Курение, алкоголизм.

Что представляет собой имплант зуба?

Импланты между собой различаются по размерам, форме и составу.
Импланты между собой различаются по размерам, форме и составу.

Также импланты могут изготавливаться из различных сплавов:

  • Титановый сплав. Применяется такими компаниями, как Neobiotech, Nobel Biocare и Dentium. Такой материал прочный и гипоаллергенный, темного цвета. Поэтому применяется для восстановления жевательных зубов или съемных конструкций.
  • Диоксид циркония. Используется фирмами премиум-сегмента: Nobel Biocare, Straumann. Очень прочный мастерил белого цвета, поэтому может использоваться для передних зубов.
  • Roxolid ( 15% диоксида циркона и 85% титана). Это разработка фирмы Straumann, материал очень прочный, гипоаллергенный, серого цвета. Может использоваться в любом отделе зубного ряда.

Импланты различаются еще и по фирмам. Топовые мировые бренды имплантов постоянно работают над совершенствованием своей продукции, разрабатывают новые формы, методики и проводят многочисленные клинические испытания.

Так, например, швейцарская компания Nobel Biocare запатентовала методику восстановления полного отсутствия зубов «all-on-4». Эта методика позволяет восстановить все зубы на верхней или нижней челюсти всего лишь с помощью 4х имплантов, которые внедряются в кость под определенным углом. Технология имплантации позволяет также, как в одноэтапной имплантации передних зубов, давать непосредственную нагрузку.

Другая швейцарская фирма Straumann, которая изготавливает импланты супер-премиум класса, была основана в 1954 году. Именно эта фирма изготовила первые цилиндрические импланты. А в 1997 года компания Straumann разработала поверхность для своих имплантов SLA®, которая вдвое сокращает время заживления. В 2005 году они усовершенствовали эту поверхность до SKActive. Импланты этой фирмы отличаются пожизненной гарантией и повышенной эстетикой.

Но и более доступные по цене импланты фирмы Dentium не уступают по своим прочностным характеристикам. Они также имеют поверхность SLA, которая ускоряет остеоинтеграцию благодаря микропорам. Также эти импланты имеют удлиненную двойную резьбу, которая минимально травмирует костную ткань при установке.

Доктор сам подберет необходимый вид импланта, исходя из ваших анатомических особенностей.
Доктор сам подберет необходимый вид импланта, исходя из ваших анатомических особенностей.
Консультация по имплантации в СПб + КТ бесплатно. Запишитесь по ссылке https://vk.cc/cw5Mxn , либо оставьте заявку в форме https://clck.ru/3AED5G

Что представляет собой имплант зуба и абатмент?

Следующей деталью конструкции на импланте является абатмент. Абатмент также может быть изготовлен из различных материалов:

  • Титановый сплав. Также как и сам имплант используется в жевательном отделе зубного ряда.
  • Диоксид циркония. Прочный, внешне схож с керамикой или зубной эмалью, рекомендован для протезирования передних зубов.
  • Композитные материалы. Чаще всего используются в сочетании с другими материалами. Титановая основа обеспечивает высокую прочность, керамическая или циркониевая поверхность делает абатмент светлым, чтобы он не просвечивал через материал коронки.
  • Пластик. Используется для временного протезирования, прочность и срок службы ограничены.

Крепится абатмент к коронке при помощи стоматологического цемента, тогда конструкция носит несъемный характер. Либо коронка и имплант соединяются через винт. Тогда в коронке делается специальное отверстие, которое затем шлифуется и становится незаметным.

Абатмент будет совершенно незаметен при улыбке и разговоре.
Абатмент будет совершенно незаметен при улыбке и разговоре.
Консультация по имплантации в СПб + КТ бесплатно. Запишитесь по ссылке https://vk.cc/cw5Mxn , либо оставьте заявку в форме https://clck.ru/3AED5G

Материалы для коронки зубов

Коронки — это видимая часть конструкции на импланте.

Коронки различаются по материалам, из которых их изготавливают:

  • Металлокерамика.Такая коронка будет иметь в основании металл (часто это кобальт-хромовый сплав, но возможно и изготовление из золота, серебра или платины), а сверху будет покрыта керамической массой. Такие коронки вам прослужат около 10-15 лет. Эстетические свойства металлокерамики чуть выше среднего, поэтому лучше ее использовать в жевательном отделе зубного ряда.
  • Диоксид циркония.Это один из самых прочных материалов, который не подвержен сколам и обладает потрясающими эстетическими свойствами. Оптические качества диоксида циркония практически такие же, как у естественных зубов. Существенный плюс этого материала в том, что на нем практически не образуется биопленка, то есть мягкий зубной налет. Коронки из диоксида циркония будут служить вам более 18 — 20 лет.
  • Прессованная керамика.Этот материал обладает максимально естественными эстетическими характеристиками. Он достаточно прочный, поэтому не подвержен сколам в жевательном отделе. Такие коронки будут сохранять целостность вашего зубного ряда около 20 лет. Однако, цена прессованной керамики достаточно высокая.

Ответы на распространенные вопросы.

  • Как выглядит имплант зуба внутри?Если взять строение импланта, то у него есть внешняя и внутренняя часть. Внутренняя часть устанавливается в кость и ее не видно. Внешняя — это коронка, которая имитирует собственную коронку зуба. Внутренняя часть, то есть имплант, выглядит как шурупчик, который имеет цилиндрическую форму и резьбу. Есть также и более плоские модели — пластинчатые импланты, но они используются лишь для передних зубов.
  • Какие импланты лучше?Точно сказать, что есть импланты лучше или хуже нельзя. Есть просто различие в цене, качестве и гарантиях. Например, фирмы имплантов Nobel Biocare и Straumann постоянно совершенствуются, занимаются клиническими исследованиями и имеют пожизненную гарантию. Поэтому эти импланты премиум-сегмента. Но и импланты Dentium и Neobiotech также хорошо приживаются и отлично выполняют свои функции в жевании.
  • Импланты вредят здоровью?Импланты изготавливаются из биосовместимых материалов, они гипоаллергенны, поэтому не могут принести вред здоровью. Есть определенные риски для здоровья во время операции, так как это все же хирургическое вмешательство. Но в клинике Super Smile все риски сведены к минимуму.

Будьте уверены в результате, который вы получите в клинике Super Smile! Наша команда состоит из высококвалифицированных специалистов, которые любят и знают свое дело. Каждый врач клиники установил более шести тысяч
имплантов. А наши ведущие хирурги-имплантологи удостоены наград от портала НаПоправку и ПроДокторов: входят в ТОП-10 хирургов города. Нашими партнерами являются ведущие представители рынка стоматологического оборудования и материалов, поэтому будьте уверены в качестве нашей работы.

Пройдите мой авторский тест и узнайте, какой метод восстановления зубов подойдет вам. Жмите по ссылке https://clck.ru/3AWnFh

Ваш стоматолог-имплантолог Евгений Мартьянов.