Найти в Дзене

Внутрипротоковая папиллома

Классическая клиническая картина внутрипротоковой папилломы - обильный выделения из соска соломенного цвета. Смотрите видео в группе ВК по ссылке - https://vk.com/dr.khodorovich?w=wall-176711625_3202 . Здесь показывает подобное не разрешается. На дуктограммах левой молочной железы на границе внутренних квадрантов (близко прилегает к коже) определяется неравномерно заполненный контрастированный магистральный млечный проток, балонно расширенный проток. Начиная с подсосковой зоны на расстоянии 0,9см, бифурация протока, далее "обрыв" протока - контрастный препарат не определяется, вероятнее за счет внутрипротокового компонента размером от 0,13см в трех ветвях. Лечение хирургическое в объёме секторальной резекции. Данный канал носит ознакомительный характер из практики доктора или врачей маммологической клиники ФГБУ РНЦРР. Канал не призывает к оказанию каких-либо услуг или хирургическому вмешательству. ОБЯЗАТЕЛЬНА КОНСУЛЬТАЦИЯ СО СПЕЦИАЛИСТАМИ. Информация взята с сайта РНЦРР и Телеграм-кана

Классическая клиническая картина внутрипротоковой папилломы - обильный выделения из соска соломенного цвета.

Смотрите видео в группе ВК по ссылке - https://vk.com/dr.khodorovich?w=wall-176711625_3202 . Здесь показывает подобное не разрешается.

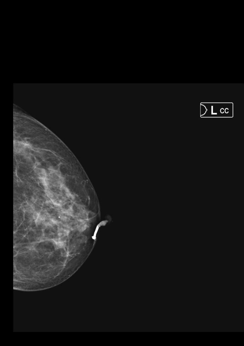
На дуктограммах левой молочной железы на границе внутренних квадрантов (близко прилегает к коже) определяется неравномерно заполненный контрастированный магистральный млечный проток, балонно расширенный проток.

-2

Начиная с подсосковой зоны на расстоянии 0,9см, бифурация протока, далее "обрыв" протока - контрастный препарат не определяется, вероятнее за счет внутрипротокового компонента размером от 0,13см в трех ветвях.

Лечение хирургическое в объёме секторальной резекции.

Данный канал носит ознакомительный характер из практики доктора или врачей маммологической клиники ФГБУ РНЦРР. Канал не призывает к оказанию каких-либо услуг или хирургическому вмешательству.
ОБЯЗАТЕЛЬНА КОНСУЛЬТАЦИЯ СО СПЕЦИАЛИСТАМИ.

Информация взята с сайта РНЦРР и Телеграм-канала Ходорович Ольги Сергеевны .

#маммология #онкология #папиллома #рнцрр #ходорович