Добавить в корзинуПозвонить
Найти в Дзене

Врачи Центра Илизарова провели уникальную операцию по лечению перипротезного перелома плеча

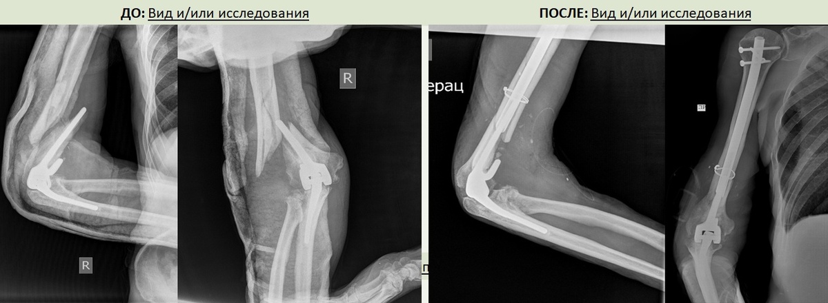
В Клинику реконструктивной хирургии повреждений конечностей и таза НМИЦ травматологии и ортопедии имени Илизарова Минздрава поступил возрастной пациент с перипротезным переломом плеча.
10 лет назад мужчине вследствие артроза была проведена операция тотальной замены локтевого сустава.
При падении пациент сломал плечевую кость в области эндопротеза. Травма отягощалась повреждением лучевого нерва, который был защемлен между отломками костей плеча. Движений и чувствительности в руке не было.
За лечение пациента взялась мультидисциплинарная бригада травматологов-ортопедов и нейрохирургов. Перед врачами стояла крайне сложная комплексная задача: освободить поврежденный нерв от компрессии, восстановить чувствительность в руке, провести репозицию костных отломков, надежно их зафиксировать и сохранить установленный протез локтевого сустава.
Существующие методы – чрескостный остеосинтез по Илизарову и накостный остеосинтез не позволили бы достичь поставленных задач. А учитывая, что поврежденн
рентгенограмма ДО и ПОСЛЕ
рентгенограмма ДО и ПОСЛЕ

В Клинику реконструктивной хирургии повреждений конечностей и таза НМИЦ травматологии и ортопедии имени Илизарова Минздрава поступил возрастной пациент с перипротезным переломом плеча.

10 лет назад мужчине вследствие артроза была проведена операция тотальной замены локтевого сустава.

При падении пациент сломал плечевую кость в области эндопротеза. Травма отягощалась повреждением лучевого нерва, который был защемлен между отломками костей плеча. Движений и чувствительности в руке не было.

За лечение пациента взялась мультидисциплинарная бригада травматологов-ортопедов и нейрохирургов. Перед врачами стояла крайне сложная комплексная задача: освободить поврежденный нерв от компрессии, восстановить чувствительность в руке, провести репозицию костных отломков, надежно их зафиксировать и сохранить установленный протез локтевого сустава.

Существующие методы – чрескостный остеосинтез по Илизарову и накостный остеосинтез не позволили бы достичь поставленных задач. А учитывая, что поврежденный сегмент крайне сложный, с точки зрения интраоперационных рисков: близко сосуды и нервы, вариант применения погружного остеосинтеза тоже рассматривался с большим опасением.

Руководителя Клиники реконструктивной хирургии повреждений конечностей и таза, д.м.н. Алексея Гриня идейно вдохновила методика ученого из Екатеринбурга Игоря Пивня, который предложил использовать для лечения перипротезных переломов бедра интрамедуллярные блокированные стержни.

На плече эта методика нигде в России не применялась, и этому есть объяснение: слишком маленький диапазон возможностей подготовки костного канала для такого остеосинтеза. Врачи Центра Илизарова стали пионерами в этой области.

Перед уникальным хирургическим вмешательством была проведена большая подготовительная работа: многочисленные замеры с помощью полипротекционной рентгенографии и компьютерной томографии, чтобы изготовить индивидуальный имплантат и медицинский инструментарий для новой в клинической практике операции.

- Стояла очень сложная задача – связать протез со штифтом. Протез имеет свои размеры, одна его часть устанавливается на костный цемент в канал плечевой кости и, как правило, соответствует диаметру костного канала. Для того, чтобы выполнить интрамедуллярный остеосинтез, нам нужен был штифт, который своим внутренним диаметром был несколько больше, чем конец ножки протеза, а внешним – меньше, чем внешняя граница кости. Мы не имеем права разрушить кость, но при этом очень хочется так скрепить отломки, чтобы не требовалась внешняя иммобилизация, никаких больших доступов и пластин, - рассказал д.м.н. Алексей Гринь.

Мультидисциплинарная команда травматологов-ортопедов и нейрохирургов
Мультидисциплинарная команда травматологов-ортопедов и нейрохирургов

Первыми в хирургический бой пошли нейрохирурги. Заведующая отделением №15 Центра Илизарова, к.м.н. Иванна Мещерягина, освободила поврежденный нерв и установила к нему электрод для будущей электростимуляции.

Второй этап операции выполняли травматологи-ортопеды: руководитель Клиники, д.м.н. Алексей Гринь совместно с заведующим травматолого-ортопедическим отделением №2, к.м.н. Евгением Дарвиным. Ими был установлен штифт, скрепляющий кость и эндопротез локтевого сустава.

Операция прошла успешно, пациент проходит реабилитацию без внешней иммобилизации, безбоязненно сгибая руку в локтевом суставе.