Найти в Дзене

Удалили молочные зубы. Ну и что? Они же всё равно выпадут!! Конкретный алгоритм принятия важных решений.

По мнению некоторых родителей у молочных зубов нервов нет ( ах, бесчувственные!). Другие считают что у них нет корней! Да и вообще они скоро выпадут за ненадобностью! Поэтому они недостойны лечения и траты денег на них. Ну почти так оно и есть, НО! Корни у них все-таки есть и нервы в них тоже присутствуют! А еще... Молочные зубы критически необходимы для правильного функционирования зубочелюстной системы ребенка в целом и корректного своевременного прорезывания постоянных зубов. То есть ... Молочные зубы могут повреждаться кариесом или травмироваться во время игр, болеть, - в общем доставлять неудобства! Но это не повод на них "забить", потому что все равно выпадут. Это повод обратиться к стоматологу и предотвратить нарушение развития челюстей и прикуса в более взрослом возрасте. Если коротко, то от количества и качества потребляемых углеводов и от правильности и регулярности чистки зубов. Опять вы со своими углеводами! Ну сока пакет за день, ну одну булочку и максимум шокол
Оглавление

По мнению некоторых родителей у молочных зубов нервов нет ( ах, бесчувственные!). Другие считают что у них нет корней! Да и вообще они скоро выпадут за ненадобностью! Поэтому они недостойны лечения и траты денег на них.

Фотограф @MariaPaina
Фотограф @MariaPaina

Ну почти так оно и есть, НО! Корни у них все-таки есть и нервы в них тоже присутствуют! А еще...

Молочные зубы критически необходимы для правильного функционирования зубочелюстной системы ребенка в целом и корректного своевременного прорезывания постоянных зубов.

А в чем проблема?

  • Во-первых они (молоные зубы) удерживают пространство для постоянных зубов и равномерно распределяют нагрузку в зубном ряду.
  • Во-вторых задают направление роста постоянных зубов и самих челюстей.
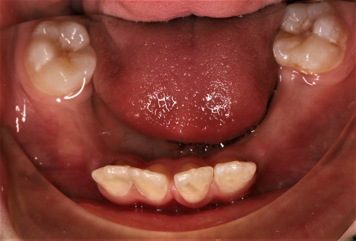
  • В-третьих ребенок должен нормально питаться. И не только "растишкой от Данон", а для этого надо полноценно жевать! Это сложно делать когда нечем! Как на картинке ниже/
Пример ранней потери молочных зубов
Пример ранней потери молочных зубов
  • В-четвертых молочные, равно как и постоянные, зубы участвуют в образовании звуков, то есть в формировании нормальной человеческой речи, что тоже неплохо было бы развивать!

То есть ...

Молочные зубы могут повреждаться кариесом или травмироваться во время игр, болеть, - в общем доставлять неудобства!
Но это не повод на них "забить", потому что все равно выпадут.
Это повод обратиться к стоматологу и предотвратить нарушение развития челюстей и прикуса в более взрослом возрасте.

Деформация прикуса и плоскости смыкания зубов. Пациент из предыдущего примера
Деформация прикуса и плоскости смыкания зубов. Пациент из предыдущего примера

От чего же зависит здоровье и целостность молочных зубов?

Если коротко, то от количества и качества потребляемых углеводов и от правильности и регулярности чистки зубов.

Опять вы со своими углеводами! Ну сока пакет за день, ну одну булочку и максимум шоколадку! Разве это много?

Это катастрофически много! И не только для развития кариеса! А еще и для сахарного диабета, ожирения ну и ряда других интересных заболеваний.

Об этом мы уже писали здесь.

Да ладно. Просто у него эмаль слабая!

Возможно. На это влияет огромное количество факторов!

1) Здоровье мамы и течения беременности. Нарушения минерального обмена, работы щитовидной и паращитовидных желез, выраженные токсикозы и инфекции во время беременности - все это способно ослабить зубы ребенка.

2) Рациона питания беременной во многом способствует здоровью ее самой и ребенка. Присутствие в рационе продуктов с кальцием, фосфором и витаминами в значительной степени влияет на формирование костей скелета, зубов малыша. К тому же, они помогают маме оставаться здоровой и не потерять зубы в это драгоценное время.

3) Состояния здоровья самого ребенка после рождения и в первые годы жизни. Отсутствие серьезных заболеваний и приема лекарственных препаратов,

4) Рационального сбалансированного питания малыша и отсутствия выраженных проблем с кишечником.

5) Наличия вредных привычек в виде засыпания с бутылочкой молока во рту, ротового дыхания, при аденоидах, и других

6) Приём различных препаратов (например антибиотиков тетрациклинового ряда)

7) Региона проживания (Зависит количество микроэлементов в питьевой воде)

8) Ну и генетика..

Так вот "слабая эмаль" выглядит во так! Но и её тоже можно попробовать "сделать сильнее", хотя бы визуально.

"Слабая эмаль"
"Слабая эмаль"

Все остальное - нормальная эмаль!

Вопрос! На что из вышеперечисленного проще всего повлиять?

Конечно на качество чистки зубов и рацион питания ребенка! Причём чем "слабее эмаль" тем тщательнее нужно за ней следить!

Но практика показывает, что именно это как раз самое сложное!

То есть молочные зубы детям лечить все же придётся. И чем быстрее тем лучше!

Почему??

Дырочка маленькая, да удаленькая

Даже небольшая дырочка на молочном зубе способна очень быстро прогрессировать, приводя к разрушению твердых тканей зуба и воспалению нерва.

-5

Это происходит вследствие:

1) Особенности строения временных зубов, у которых очень большая полость с нервами, а совсем не как нам кажется.

2) Реактивность организма ( ответная реакция) ребенка гораздо выше,чем у взрослых, поэтому все процессы протекают значительно быстрее.

Чем это опасно?

Длительно существующее воспаление в молочном зубе может приводить проблемам с зубом постоянным:

  • к повреждению зачатка расположенного под молочным зубом,
  • затруднению или полной блокировке его прорезывания,
  • изменению цвета и формы ( местная гипоплазия эмали).
В общем запущенный кариес молочных зубов может привести к повреждению постоянных

Но и это ещё не всё!

Присутствие большого количества микроорганизмов в кариозных зубах и зубных отложениях способствует снижению иммунитета полости рта и всего организма малыша. Отсюда частые простуды аденоиды и прочие прелести жизни.

Ну тогда выдернуть этот молочный и забыть, чтоб не тревожить душу!

Можно и так! НО ТОГДА Вы практически гарантировано подписываете ребёнка на общение с ортодонтом. Но теперь уже по ВАШЕЙ вине. По вине родителей! То есть не потому что прикус был неправильный с рождения. А потому что он стал неправильным из-за ранней потери молочных зубов!

Так что вообще не удалять что ли? Делать то что будем??

Итак по пунктам:

1) Оцениваем наличие зачатка постоянного зуба под молочным. Это можно сделать только по снимку

Зачаток есть - всё хорошо. Зачатка нет - прямой путт к ортодонту

2) Определяем срок до предполагаемого прорезывания постоянного зуба по таблице (приведена в конце статьи)

Если до предполагаемой смены осталось 6-9 месяцев можно зуб удалить и просто ждать. Если больше 9 месяцев надо пытаться сохранить. Если сохранить нельзя, тогда удаляем и ИДЁМ К ОРТОДОНТУ!

3) В зубе "маленькая дырочка" на жевательной поверхности (Вероятно нерв не затронут - ставим пломбу. Маленькая дырочка - точка на жевательной поверхности вполне может стать большой после "снятия эмалевой крыши". Потому, "мальнькая это дырочка" или "БОЛЬШАЯ ДЫРКА" определяется врачом по рентгену и после окончательной обработки кариозной полости бором!

4) В зубе "большая дырка" - вероятно нерв погиб.

Оцениваем риски для зачатка постоянного зуба. Риски есть - молочный зуб удаляем и ИДЁМ К ОРТОДОНТУ!
Рисков нет. Удаляем нерв, закупориваем канал и ставим пломбу. Сверху зуб можно покрыть специальной коронкой для молочных зубов, как на картинке ниже.

Снимок предоставлен врачом терапевтом Синкиной З.В.
Снимок предоставлен врачом терапевтом Синкиной З.В.

Так понятно. А что делать, если надо лечить много зубов, а ребёнок и один не даёт тронуть ни в какую??

Если адаптация ребенка в кабинете стоматолога сложна, а лечить надо много, и Вы боитесь, что психологическая травма у него останется на всю жизнь,то существует специальной анестезиологическое пособие (легкий сон или даже наркоз). Это поможет избежать серьезных переживаний малыша, не оставит негативных впечатлений в памяти и позволит качественно пролечить все проблемные зубы за один раз, как на картинке ниже.

Фото предоставлено врачом терапевтом Синкиной З.В.
Фото предоставлено врачом терапевтом Синкиной З.В.

Ну допустим. Молочные зубы надо лечить. А если уже поздно?

Когда у малыша появляется гнойничок на десне или «флюс» - это говорит о серьезном воспалении ( по врачебному-периодонтит). Часто его находят случайно, потому что у детей часто он протекает безболезненно (в отличие от взрослых, которые на стенку лезут). Но иногда этот процес может сопровождаться капризами, усиленным слюноотделением, повышением температуры, ухудшением аппетита, отеком на лице ,ну…и вызовом скорой помощи. Тогда вопрос возможности сохранения зуба практически не стоит.

НАДО УДАЛЯТЬ! ИИИ ИДТИ К ОРТОДОНТУ!

Раннее удаление молочного зуба, когда до его смены осталось более 1 года может привести к нарушению прорезывания и местоположения зачатка постоянного, развитию неправильного прикуса, неравномерной нагрузке на челюстные кости.

Чтобы этого не произошло целесообразно поставить специальную распорку, которая будет удерживать пространство для постоянного зуба. То как она будет выглядеть определяет ортодонт.

-8

Ну или просто ждать, а по-русски "ЗАБИТЬ". В этом случае можно потерять время и усложнить жизнь своему ребёнку а потом бежать за брекетами и элайнерами, сокрушаясь вопросом: "Почему так дорого то??".

Но и это не ещё не всё. Зубы могут перераспределиться в свобобное пространство и тогда риск того, что придётся удалять зубы постоянные для исправления прикуса повышается в разы!

Так. Понятно!

1 год до смены молочного зуба на постоянный? А как это понять?

Для этого приводим красивую картинку с усредненными сроками смены молочных зубов. Надеемся она поможет Вам с принятием правильных решений. В международной стоматологической "нумерологии" первая цифра означает квадрант по часовой стрелке. Вторая цифра - номер зуба от центра. (Сроки приведены усреднённые, для удобства запоминания). Право/лево отмечены правильно), как у пациента!

-9

Итого:

  • Регулярные осмотры зубов ребенка дома и у стоматолога позволяют избежать серьезных проблем с молочными и постоянными зубами.
  • Лечение молочных зубов и их замещение при необходимости - совсем не миф, а реальность, снижающая риск развития деформаций костей лица и постоянного прикуса.
  • Современная стоматология умеет лечить молочные зубы качественно, красиво, без боли и истерик малыша.
  • Правильное питание и чистка зубов - простой залог здоровья, которое не купишь ни за какие деньги.

А какой опыт есть у Вас? Делитесь под постом и задавайте вопросы.

Пишите Ваши комментарии.Мы обязательно ответим каждому. Так же ставьте лайки 👍, нам будет приятно, что вы оценили нашу статью. Подписывайтесь на наш канал, здесь будет много интересного.

Наши сайты: AMDybov.ru Orthochild.ru Gnathica.ru Gorstomcentr.ru

Тел: +74995770307; Whatsapp, Telegram: +79771113611

Москва ул. Генерала Ермолова 10/6 "ГорСтомЦентр"

Автор статьи: врач-стоматолог терапевт Дыбова Екатерина Валерьевна