Найти в Дзене

Удаление матки при миоме

Удаление матки эндоскопическим доступом с сохранением яичников молодой женщине Вид органа глазами хирурга Сосудистые пучки матки выделены Пересечены с помощью электроэнергии Влагалище ушито. Пациентка активизирована в день операции. Операция длится около 2х часов под общим наркозом. Через 2 часа после операции можно вставать и ходить.

Удаление матки эндоскопическим доступом с сохранением яичников молодой женщине

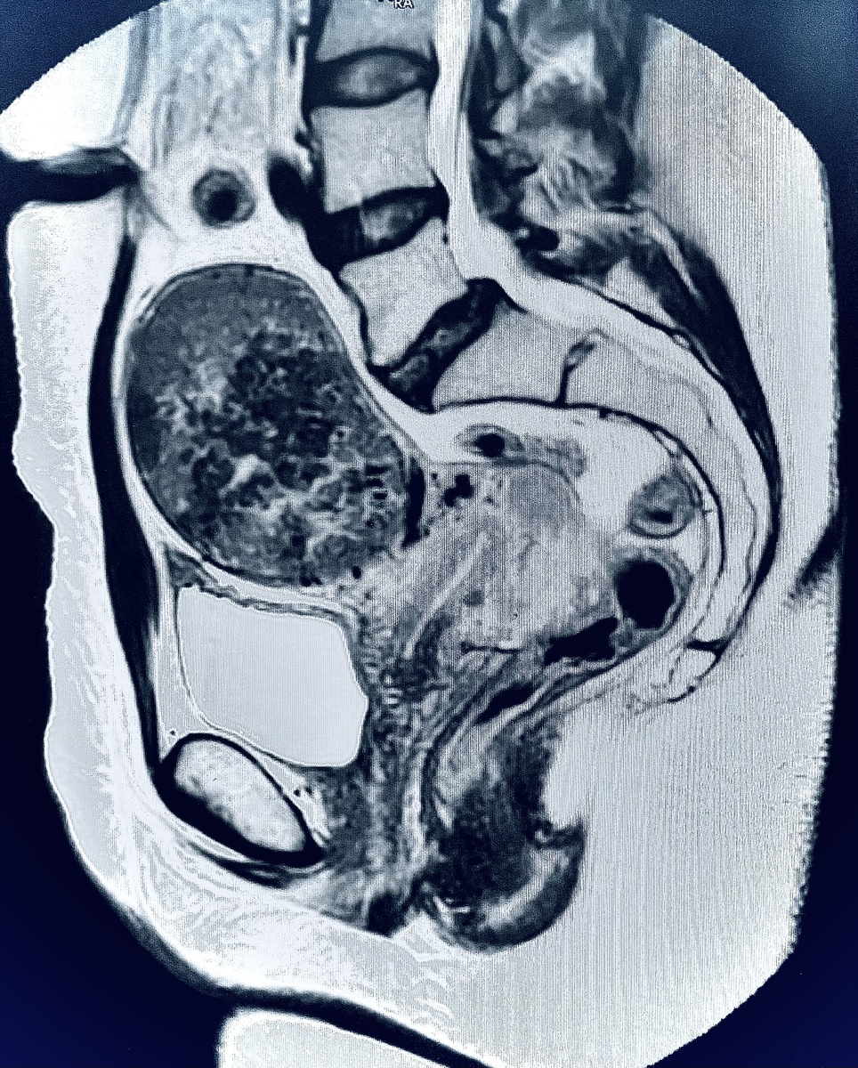
МРТ органов малого таза
МРТ органов малого таза

-2

Вид органа глазами хирурга

-3

-4

Сосудистые пучки матки выделены

Маточные артерии и вены
Маточные артерии и вены

-6

Пересечены с помощью электроэнергии

-7

-8

Влагалище ушито. Пациентка активизирована в день операции.

-9

-10

Операция длится около 2х часов под общим наркозом. Через 2 часа после операции можно вставать и ходить.

Вячеслав Молодкин