Добавить в корзинуПозвонить
Найти в Дзене
Skleroznik life

Демодекоз

Демодекоз (Demodex) или Железница - паразитарное заболевание домашних животных вызываемое клещами рода Demodex. Род клещей состоящий из 65 видов, обычно паразитирующих у основания волосяных фолликулов или внутри. Чаще всего поражают домашних собак, но 2 вида клещей поражают человека. Часто заражение животных не сопровождается проявлением клинической картины, но иногда клещи вызывают развитие различных кожных заболеваний, сопровождающихся зудом, алопециями. Диагностика: Биологический материал для проведения исследования - соскоб с кожи далее его исследуют под микроскопом. Данный метод является самым эффективным. Лечение: Применение акарицидных капель местного действия. Обязательно провести обработку всех животных с которыми контактирует собака, даже при отсутствии клинических признаков. При правильно подобранной терапии, прогноз благоприятный, хотя заболевание трудно поддается лечению. Больше полезной информации на сайте skleroznik.ru

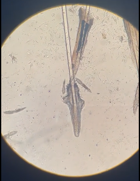
Демодекоз (Demodex) или Железница - паразитарное заболевание домашних животных вызываемое клещами рода Demodex. Род клещей состоящий из 65 видов, обычно паразитирующих у основания волосяных фолликулов или внутри. Чаще всего поражают домашних собак, но 2 вида клещей поражают человека. Часто заражение животных не сопровождается проявлением клинической картины, но иногда клещи вызывают развитие различных кожных заболеваний, сопровождающихся зудом, алопециями.

Диагностика: Биологический материал для проведения исследования - соскоб с кожи далее его исследуют под микроскопом. Данный метод является самым эффективным.

Фото предоставлено дерматологом Хаджи Е.И.
Фото предоставлено дерматологом Хаджи Е.И.

Лечение: Применение акарицидных капель местного действия. Обязательно провести обработку всех животных с которыми контактирует собака, даже при отсутствии клинических признаков. При правильно подобранной терапии, прогноз благоприятный, хотя заболевание трудно поддается лечению.

Больше полезной информации на сайте skleroznik.ru