Добавить в корзинуПозвонить
Найти в Дзене
Medical Pie

Семейный аденоматоз толстой кишки

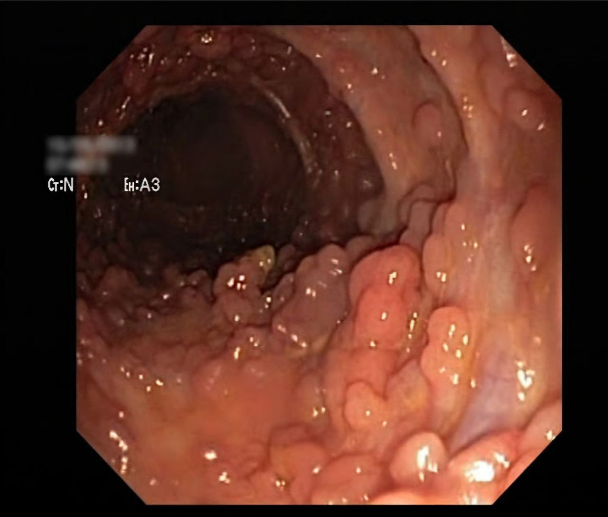
Семейный аденоматоз толстой кишки является наследственным заболеванием, характеризующимся развитием в толстой кишке, а также различных отделах желудочно-кишечного тракта, множества полипов с чрезвычайно высоким риском их злокачественной трансформации.
По данным ГНЦ колопроктологии до 70% первично обратившихся в поликлинику больных семейным аденоматозом толстой кишки, уже имели рак толстой кишки. Это обстоятельство, в свою очередь, существенно ухудшает прогноз для последующей жизни оперированных больных т.к. основной причиной в 60-70% летальных исходов в отдаленные сроки после хирургического вмешательства является генерализация злокачественного процесса, несмотря на удаление первичной опухоли толстой кишки. Кроме того, у 70 % госпитализированных в стационар больных выявляются глубокие нарушения гомеостаза, приводящие к необходимости проведения не только интенсивной и продолжительной предоперационной подготовки, но и существенно влияющие на частоту послеоперационных осложнений, котора

Семейный аденоматоз толстой кишки является наследственным заболеванием, характеризующимся развитием в толстой кишке, а также различных отделах желудочно-кишечного тракта, множества полипов с чрезвычайно высоким риском их злокачественной трансформации.

По данным ГНЦ колопроктологии до 70% первично обратившихся в поликлинику больных семейным аденоматозом толстой кишки, уже имели рак толстой кишки. Это обстоятельство, в свою очередь, существенно ухудшает прогноз для последующей жизни оперированных больных т.к. основной причиной в 60-70% летальных исходов в отдаленные сроки после хирургического вмешательства является генерализация злокачественного процесса, несмотря на удаление первичной опухоли толстой кишки. Кроме того, у 70 % госпитализированных в стационар больных выявляются глубокие нарушения гомеостаза, приводящие к необходимости проведения не только интенсивной и продолжительной предоперационной подготовки, но и существенно влияющие на частоту послеоперационных осложнений, которая при этом достигает 40 -50%. В связи с этим, с целью улучшения результатов лечения семейного аденоматоза толстой кишки нами разрабатывается комплекс мероприятий, направленных на раннюю диагностику этого заболевания.

Генетическое тестирование больных и членов их семей преследует две основные задачи. К первой относится скриннинг среди кровных родственников больного семейным аденоматозом с целью активного выявления на доклинических стадиях всех унаследовавших мутацию индивидов, либо определения здоровых людей, не нуждающихся в пожизненном мониторинге. В настоящее время во многих странах данная процедура является рутинной и входит в комплекс обязательных обследований при семейном аденоматозе.

-2



Клинический полиморфизм проявлений аденоматоза толстой кишки выдвигает перед генетическими исследованиями вторую задачу, решение которой помогает хирургам в определении индивидуальной лечебной тактики в отношении каждого конкретного больного.

Именно эта задача вызывает все больший интерес, порождая многочисленные споры и противоречивые взгляды.

Поэтому установление четких и объективных клинико-генетических зависимостей является значительным подспорьем в определении оптимальных сроков хирургического вмешательства до развития рака толстой кишки и возникновения глубоких метаболических нарушений, так как известно, что основной причиной гибели больных в отдаленные сроки после операции является генерализация ракового процесса, даже после удаления первичной опухоли.

В настоящее время единственным методом лечения семейного аденоматоза толстой кишки является хирургическое вмешательство. До выделения клинических форм аденоматоза считалось, что хирургическое лечение следует предпринимать сразу после установления диагноза, вне зависимости от характера поражения толстой кишки. Однако наличие клинического полиморфизма, проявляющегося в различных сроках появления полипов и интенсивности поражения ими толстой кишки, возрастных периодов возникновения рака, поставило на повестку дня вопрос о сроках и объеме операции при каждом из вариантов развития заболевания.

Если при классическом и тяжелом варианте развития заболевания к хирургическому вмешательству следует прибегать в возрасте до 30-40 лет, так как риск развития рака толстой кишки к этому моменту крайне высок, то в отношении ослабленной формы аденоматоза допускается более консервативный подход в тактике лечения, и выполнение операций, порой направленных на удаление всех отделов толстой кишки и приводящих к инвалидизации больных молодого трудоспособного возраста, возможно в более старшем возрасте после 50 лет.

Таким образом, выявление клинико-генетических зависимостей при семейном аденоматозе позволяет с большой долей вероятности предположить развитие той или иной клинической формы семейного аденоматоза и, следовательно, определить оптимальные сроки хирургического вмешательства у каждого конкретного больного, что способствует выработке индивидуальной лечебной тактики.