Добавить в корзинуПозвонить
Найти в Дзене
Light Dental Group

Кариес. Что за зверь такой, где обитает, чем питается и откуда вообще появляется?

Сегодня мы задали, казалось бы банальный вопрос терапевту клиники Light Dental Group - Васильевой Юлии Кирилловне. Но насколько вопрос банальный, настолько же он и больной для многих людей мира, потому что с данной проблемой к нам обращаются ежедневно. - Юлия Кирилловна, что такое кариес и почему он так распространён? - Когда мы говорим про кариес, то представляем себе бактериальную инфекцию, следствием которой является разрушение зуба, если не обратиться за своевременной помощью. - Но сколько у нас времени, чтобы успеть остановить это? - Чем быстрее, тем лучше, как и с любым заболеванием! Потому что существует много факторов влияющих на скорость разрушения и количество поражённых зубов. И не будем забывать о том, что кариес заходит на территорию не только одного зуба. - Когда мы говорим про кариес - это всегда про неправильную гигиену полости рта? - Да, гигиена имеет существенное значение, но не только она. На процесс кариозного разрушения влияет наш рацион питания, если в рационе мн

Сегодня мы задали, казалось бы банальный вопрос терапевту клиники Light Dental Group - Васильевой Юлии Кирилловне. Но насколько вопрос банальный, настолько же он и больной для многих людей мира, потому что с данной проблемой к нам обращаются ежедневно.

Васильева Юлия Кирилловна - врач стоматолог-терапевт клиники Light Dental Group
Васильева Юлия Кирилловна - врач стоматолог-терапевт клиники Light Dental Group

- Юлия Кирилловна, что такое кариес и почему он так распространён?

- Когда мы говорим про кариес, то представляем себе бактериальную инфекцию, следствием которой является разрушение зуба, если не обратиться за своевременной помощью.

Кариес до лечения
Кариес до лечения

- Но сколько у нас времени, чтобы успеть остановить это?

- Чем быстрее, тем лучше, как и с любым заболеванием! Потому что существует много факторов влияющих на скорость разрушения и количество поражённых зубов. И не будем забывать о том, что кариес заходит на территорию не только одного зуба.

- Когда мы говорим про кариес - это всегда про неправильную гигиену полости рта?

- Да, гигиена имеет существенное значение, но не только она. На процесс кариозного разрушения влияет наш рацион питания, если в рационе много простых углеводов и сахаров, то это повышает риск развития. Также стресс, заболевания желудочно-кишечного тракта, щитовидной железы и наличие бактериальной плёнки (налёта) на зубах повышают риск развития кариеса. Именно поэтому мы подходим к лечению проблемы комплексно.

- А всегда ли кариес даёт о себе знать?

- К сожалению нет, начало заболевания может протекать бессимптомно. Зуб начинает беспокоить, когда уже требуется серьёзное лечение.

- Что же нам делать, как предотвратить серьёзные последствия?

- Тут всё просто! Осмотр и профессиональная гигиена раз в 6 месяцев (в некоторых случаях чаще) снижают риск возникновения кариеса.

- И всё-таки, есть ли симптомы говорящие нам о том, что пора обратиться к стоматологу?

- Да, конечно! О наличии кариеса может говорить дискомфорт при приёме кислой, сладкой, холодной пищи или напитков, кровоточивость десны, застревание еды и зубной нити в промежутках между зубов, тёмное или ярко белое пятно на зубе, неровность или скол его кусочка. В таких случаях я советую, как можно скорее записаться на лечение.

- Но лечить зубы так страшно, многие из нас испытывают дискомфорт от одной только мысли об этом.

- Понимаю, но от того, что мы будем игнорировать проблему, она не исчезнет. Постараюсь сейчас немного уменьшить ваш уровень беспокойства на этот счёт. Современные тенденции в стоматологии направлены на профилактику кариеса зубов, управление факторами риска развития кариеса, обнаружения кариозных поражений на ранних стадиях и, как следствие, минимально инвазивное лечение. Чем раньше обратиться к доктору, тем больше шансов, что ваше лечение пройдет легче и дешевле.

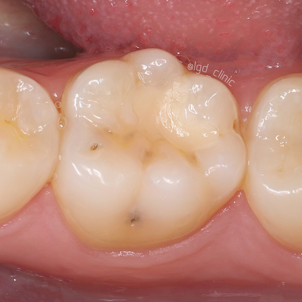
Результат лечения кариеса
Результат лечения кариеса

- Часто ли к вам обращаются пациенты на ранних стадиях развития кариеса?

- Вопрос сложный. Конечно, мы начинаем бить тревогу, когда уже что-то приносит нам физический дискомфорт, но я всегда доношу до своих пациентов информацию о том, как важно своевременно начать лечение, а сделать это нам помогут только плановые осмотры. Я счастлива, что мои пациенты прислушиваются к советам, и мы встречаемся, как минимум раз в 6 месяцев.

- Спасибо большое, что ответили на наши вопросы! После разговора захотелось записаться на осмотр и не дать кариесу завладеть моими зубами.

- Всегда пожалуйста, буду рада видеть вас в стенах своего кабинета! ❤️

Васильева Юлия Кирилловна - стоматолог-терапевт клиники Light Dental Group
Васильева Юлия Кирилловна - стоматолог-терапевт клиники Light Dental Group

Записаться на консультацию в клинику Light Dental Group можно по ссылке: https://clck.ru/3Bs7fi