Добавить в корзинуПозвонить
Найти в Дзене
Канал блондинки Юси

Дыра в моей голове. Жизнь После инсульта.

Заметила: самые здоровые люди - это люди изрядно болезные. Ибо чем сильнее старуха с косой наступает на пятки, тем здоровее становится наш образ жизни. Кто бы сказал мне еще месяца три назад (или нет, в разгар событий даже, поэтому - два), что я в обязательном порядке буду нахаживать по четыре-пять километров в день «ради спорта» - я бы ему в лицо рассмеялась. Еще бы: вечно задолбанная, невыспавшаяся, думающая, где бы заработать (и сейчас, впрочем, думаю постоянно) и беспрестанно работающая, максимум, что я могла позволить себе - это бутылку Брюта поздним вечером. А что, сахара ж, углеводов нет, чем не здоровый образ жизни? Ко всему этому, само собой вкусняшки (к слову, практически безуглеводные) И дичайший стресс - постоянные переговоры с людьми, какие-то проблемы, и все это по нарастающей. Теперь зато я питаюсь полезно, ложусь спать около десяти вечера, просыпаюсь в полседьмого утра, чтобы уже в семь топать по дорожке на озеро - разумеется в компании Юси. Она этому ужасно рада и мне

Заметила: самые здоровые люди - это люди изрядно болезные. Ибо чем сильнее старуха с косой наступает на пятки, тем здоровее становится наш образ жизни. Кто бы сказал мне еще месяца три назад (или нет, в разгар событий даже, поэтому - два), что я в обязательном порядке буду нахаживать по четыре-пять километров в день «ради спорта» - я бы ему в лицо рассмеялась.

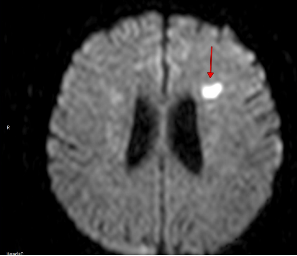
Дыра в моей голове. Остальные в другом полушарии. Повезло, что некрупная
Дыра в моей голове. Остальные в другом полушарии. Повезло, что некрупная

Еще бы: вечно задолбанная, невыспавшаяся, думающая, где бы заработать (и сейчас, впрочем, думаю постоянно) и беспрестанно работающая, максимум, что я могла позволить себе - это бутылку Брюта поздним вечером. А что, сахара ж, углеводов нет, чем не здоровый образ жизни? Ко всему этому, само собой вкусняшки (к слову, практически безуглеводные) И дичайший стресс - постоянные переговоры с людьми, какие-то проблемы, и все это по нарастающей.

Теперь зато я питаюсь полезно, ложусь спать около десяти вечера, просыпаюсь в полседьмого утра, чтобы уже в семь топать по дорожке на озеро - разумеется в компании Юси. Она этому ужасно рада и мне не скучно. К тому же, по совместительству, и своей инициативе, собака моя подрабатывает утяжелителем - представьте, 20 килограммов живого веса, которые периодически зависают у разнообразных кустиков и проверяют дружественные метки-СМСки.

Таких как я, представьте на нашей дорожке -- воз и маленькая тележка!!! Вот бабуля лет восьмидесяти, еле ползет, опираясь на палочки для скандинавской ходьбы, вот - мужчина под 60, он всегда ходит под неведомые лекции из телефона, вот - приветливая тетенька с дружелюбным джек Расселом. Многие из них тоже были на грани. И теперь ходят, тренируются, чтобы за грань эту не провалиться. "Сердце зашкаливало, раньше меня и на десять минут не хватало, чтобы идти, - рассказывает пожилая женщина, - А теперь вот - живем! Тебе-то хорошо, ты молодая, здоровая - береги здоровье-то"

Я и мой "утяжелитель".
Я и мой "утяжелитель".

Я согласно киваю, и решаю не объяснять собеседнице, что мне 48 и я чуть больше двух месяцев назад блукала в речи, не могла связать пары слов - короче, перенесла инсульт. И, судя по МРТ, даже не один.

Поэтому все, что я могу - это с завистью глядеть вслед стройной девушке, которая легко бежит мимо нас, вдоль озера. Вот когда надо было о здоровье-то думать, а сейчас я все-таки маленько запоздала. И дырки в моей голове, на снимках МРТ - тому подтверждение. Впрочем, все, что я могу теперь сделать - это принять существующее положение, как данность, регулярно измерять давление, пить препараты, ну и в качестве эксперимента заменить с т а т и н ы ходьбой.

Красота )
Красота )

Это вкратце. Расписывать про с т а т и н ы здесь ничего не могу, потому что на Дзене медицинская тематика не приветствуется. Поэтому: кому интересно, добро пожаловать на мой телеграм-канал https://t.me/blonda_uyta, там я немного раскрываю тему, ну и результаты эксперимента постараюсь выложить тут и там. И желаю всем крепкого здоровья! Следите за ним, пожалуйста!

Всем добра! Забегайте к нам на огонек) Если не жалко, ставьте 👍 ( как говорит Юта:"хорошие отзывы маму радуют, после них она не жмотится, дает вкусняшки" 💖)

А чтобы ничего не пропустить подписывайтесь на канал. Нам приятно вас здесь видеть☺